电话:
+86 (0512) 65829739
传真:
+86 (010) 6788 5057
电子邮件:
orders@antibodies-online.cn

Recombinant Histone H1 抗体

The 兔 单克隆 anti-Histone H1 antibody (Clone 23GB1965) (ABIN7798825) specifically detects Histone H1 in WB. The antibody is reactive with 人 samples.
产品编号 ABIN7798825
发货至: 中国
Contact our Customer Service for availability and price in your country. Contact Info

Our Local Distributor

中国
北京 101111
No. 88 KeChuang 6th Street
Beijing Economic Technological Development Area
Room 801-803
4A Biotech Co.,Ltd.
Tel +86 (0512) 65829739 传真 +86 (010) 6788 5057

Quick Overview for Recombinant Histone H1 抗体 (ABIN7798825)

抗原

See all Histone H1 (H1F0) 抗体
Histone H1 (H1F0) (H1 Histone Family, Member 0 (H1F0))

抗体类型

Recombinant Antibody

适用

  • 71
  • 43
  • 41
  • 2
  • 2
  • 2
  • 1
  • 1
  • 1
  • 1
  • 1

宿主

  • 65
  • 6

克隆类型

  • 36
  • 35
单克隆

标记

  • 39
  • 4
  • 4
  • 4
  • 4
  • 4
  • 4
  • 4
  • 2
  • 2
This Histone H1 antibody is un-conjugated

应用范围

  • 43
  • 34
  • 24
  • 21
  • 17
  • 7
  • 4
  • 4
  • 2
  • 1
  • 1
Western Blotting (WB)

质量等级

KD Validated

克隆位点

23GB1965
  • Expression System

    HEK-293 Cells

    原理

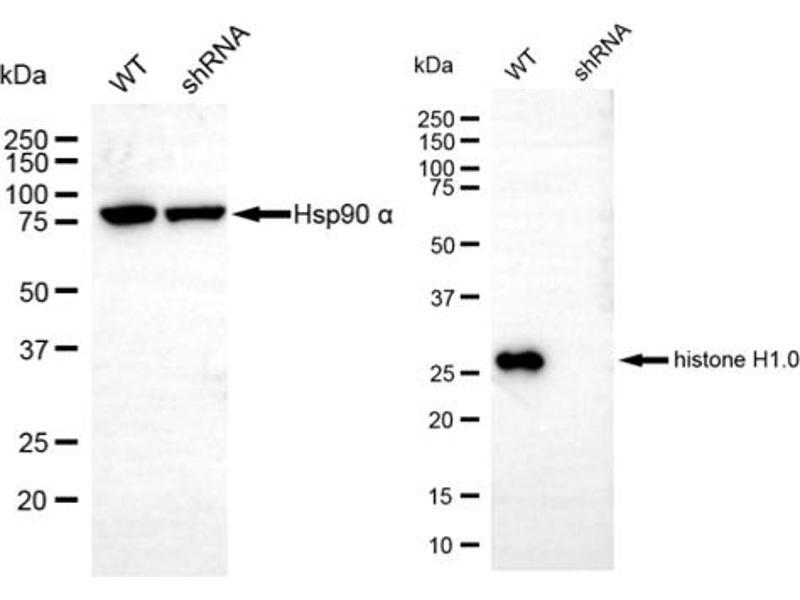
    KD-Validated Histone H1.0 Recombinant Rabbit mAb

    交叉反应

    小鼠, 大鼠

    纯化方法

    Affinity Purified

    免疫原

    A synthesized peptide derived from human Histone H1.0

    亚型

    IgG
  • 应用备注

    Western Blotting (WB): 1:1,000-1:5,000

    说明

    We assess the antibodies’ specificity and selectivity using knockdown techniques. Our validation approach is straightforward: if an antibody identifies a signal in wild-type (WT) cells, but this signal is absent or noticeably reduced in gene-silenced (KD) cells, we consider the antibody to be highly specific.

    限制

    仅限研究用
  • 状态

    Liquid

    缓冲液

    PBS (pH 7.4) containing 50% glycerol and 0.02% sodium azide.

    储存液

    Sodium azide

    注意事项

    This product contains Sodium azide: a POISONOUS AND HAZARDOUS SUBSTANCE which should be handled by trained staff only.

    储存条件

    -20 °C

    储存方法

    Store at -20 °C for one year.

    有效期

    12 months
  • 抗原

    Histone H1 (H1F0) (H1 Histone Family, Member 0 (H1F0))

    别名

    Histone H1.0

    分子量

    21 kDa

    基因ID

    3005

    UniProt

    P07305
You are here: