电话:
+86 (0512) 65829739
传真:
+86 (010) 6788 5057
电子邮件:
orders@antibodies-online.cn

EIF3D 抗体

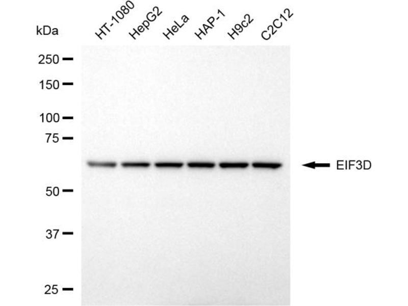
The 小鼠 单克隆 anti-EIF3D antibody is suitable to detect EIF3D in samples from 人. It has been validated for WB.
产品编号 ABIN7798524
发货至: 中国
Contact our Customer Service for availability and price in your country. Contact Info

Our Local Distributor

中国
北京 101111
No. 88 KeChuang 6th Street
Beijing Economic Technological Development Area
Room 801-803
4A Biotech Co.,Ltd.
Tel +86 (0512) 65829739 传真 +86 (010) 6788 5057

Quick Overview for EIF3D 抗体 (ABIN7798524)

抗原

See all EIF3D 抗体
EIF3D (Eukaryotic Translation Initiation Factor 3, Subunit D (EIF3D))

适用

  • 37
  • 23
  • 11
  • 6
  • 5
  • 5
  • 5
  • 4
  • 4
  • 4
  • 3
  • 3
  • 2
  • 1
  • 1
  • 1
  • 1

宿主

  • 35
  • 2
小鼠

克隆类型

  • 35
  • 2
单克隆

标记

  • 27
  • 2
  • 1
  • 1
  • 1
  • 1
  • 1
  • 1
  • 1
  • 1
This EIF3D antibody is un-conjugated

应用范围

  • 25
  • 11
  • 11
  • 6
  • 3
  • 3
  • 2
  • 1
Western Blotting (WB)

克隆位点

24GB8285
You are here: