电话:
+86 (0512) 65829739
传真:
+86 (010) 6788 5057
电子邮件:
orders@antibodies-online.cn

Recombinant Dynamitin 抗体

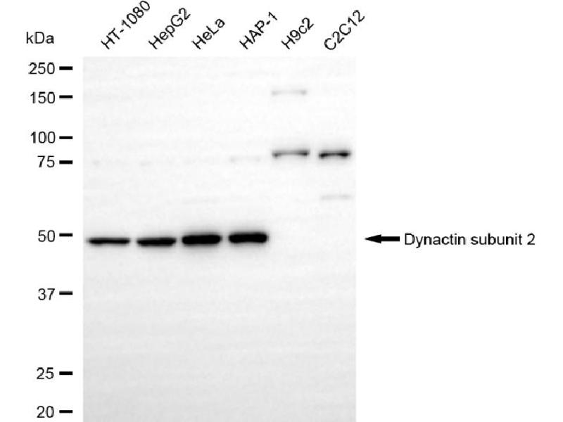
The 兔 单克隆 anti-Dynamitin antibody (Clone 25GB1965) (ABIN7798396) specifically detects Dynamitin in WB 和 FACS. The antibody is reactive with 人 samples.
产品编号 ABIN7798396
发货至: 中国
Contact our Customer Service for availability and price in your country. Contact Info

Our Local Distributor

中国
北京 101111
No. 88 KeChuang 6th Street
Beijing Economic Technological Development Area
Room 801-803
4A Biotech Co.,Ltd.
Tel +86 (0512) 65829739 传真 +86 (010) 6788 5057

Quick Overview for Recombinant Dynamitin 抗体 (ABIN7798396)

抗原

See all Dynamitin (DCTN2) 抗体
Dynamitin (DCTN2) (Dynactin 2 (p50) (DCTN2))

抗体类型

Recombinant Antibody

适用

  • 45
  • 37
  • 18
  • 4
  • 3
  • 3
  • 3
  • 2
  • 2
  • 2
  • 2
  • 1
  • 1
  • 1

宿主

  • 53
  • 5
  • 3

克隆类型

  • 58
  • 3
单克隆

标记

  • 36
  • 3
  • 3
  • 2
  • 1
  • 1
  • 1
  • 1
  • 1
  • 1
  • 1
  • 1
  • 1
  • 1
  • 1
  • 1
  • 1
  • 1
  • 1
  • 1
  • 1
This Dynamitin antibody is un-conjugated

应用范围

  • 48
  • 19
  • 13
  • 13
  • 12
  • 8
  • 7
  • 7
  • 6
  • 3
  • 1
  • 1
  • 1
  • 1
Western Blotting (WB), Flow Cytometry (FACS)

克隆位点

25GB1965
You are here: