电话:
+86 (0512) 65829739
传真:
+86 (010) 6788 5057
电子邮件:
orders@antibodies-online.cn

DPCD 抗体

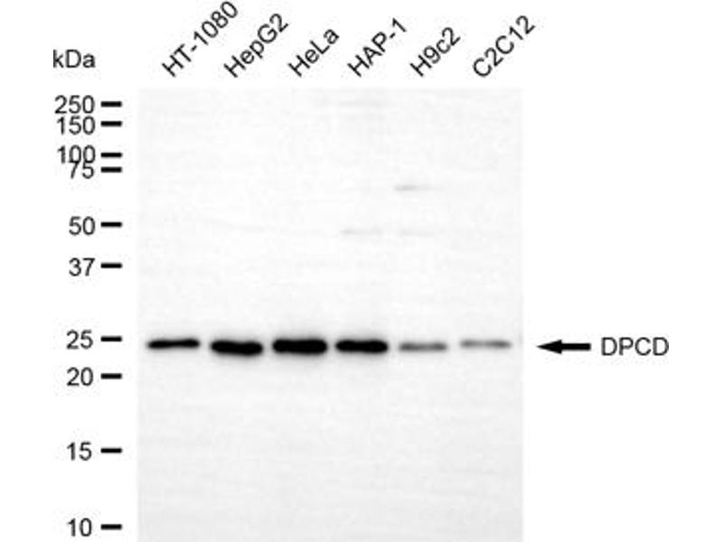
This 小鼠 单克隆 antibody specifically detects DPCD in WB 和 FACS. It exhibits reactivity toward 人.
产品编号 ABIN7798304
发货至: 中国
Contact our Customer Service for availability and price in your country. Contact Info

Our Local Distributor

中国
北京 101111
No. 88 KeChuang 6th Street
Beijing Economic Technological Development Area
Room 801-803
4A Biotech Co.,Ltd.
Tel +86 (0512) 65829739 传真 +86 (010) 6788 5057

Quick Overview for DPCD 抗体 (ABIN7798304)

抗原

See all DPCD 抗体
DPCD (Deleted in Primary Ciliary Dyskinesia Homolog (DPCD))

适用

  • 20
  • 16
  • 6
  • 4
  • 4
  • 4
  • 3
  • 2
  • 2
  • 2
  • 2
  • 1

宿主

  • 18
  • 2
小鼠

克隆类型

  • 18
  • 2
单克隆

标记

  • 15
  • 1
  • 1
  • 1
  • 1
  • 1
This DPCD antibody is un-conjugated

应用范围

  • 19
  • 9
  • 4
  • 2
  • 2
  • 1
Western Blotting (WB), Flow Cytometry (FACS)

克隆位点

25GB8075
You are here: