电话:
+86 (0512) 65829739
传真:
+86 (010) 6788 5057
电子邮件:
orders@antibodies-online.cn

Recombinant CD19 抗体

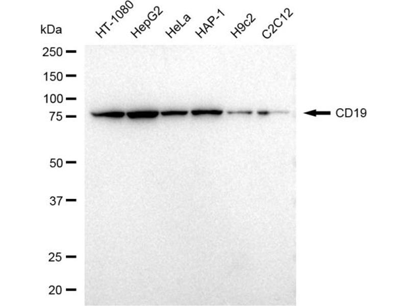
The 兔 单克隆 anti-CD19 antibody is suitable to detect CD19 in samples from 人. It has been validated for FACS, WB 和 IF (p).
产品编号 ABIN7797954
发货至: 中国
Contact our Customer Service for availability and price in your country. Contact Info

Our Local Distributor

中国
北京 101111
No. 88 KeChuang 6th Street
Beijing Economic Technological Development Area
Room 801-803
4A Biotech Co.,Ltd.
Tel +86 (0512) 65829739 传真 +86 (010) 6788 5057

Quick Overview for Recombinant CD19 抗体 (ABIN7797954)

抗原

See all CD19 抗体
CD19 (CD19 Molecule (CD19))

抗体类型

Recombinant Antibody

适用

  • 441
  • 195
  • 55
  • 33
  • 19
  • 13
  • 6
  • 5
  • 3
  • 3
  • 3
  • 2
  • 2
  • 2
  • 2
  • 2
  • 2
  • 2

宿主

  • 270
  • 156
  • 74
  • 46
  • 4
  • 1
  • 1

克隆类型

  • 423
  • 116
  • 7
单克隆

标记

  • 196
  • 32
  • 31
  • 29
  • 26
  • 16
  • 9
  • 9
  • 7
  • 7
  • 6
  • 6
  • 5
  • 5
  • 5
  • 5
  • 5
  • 5
  • 5
  • 4
  • 4
  • 4
  • 4
  • 4
  • 4
  • 4
  • 4
  • 4
  • 4
  • 4
  • 4
  • 4
  • 4
  • 4
  • 4
  • 4
  • 3
  • 3
  • 3
  • 3
  • 3
  • 3
  • 3
  • 3
  • 3
  • 2
  • 2
  • 2
  • 2
  • 2
  • 2
This CD19 antibody is un-conjugated

应用范围

  • 361
  • 150
  • 96
  • 86
  • 76
  • 62
  • 40
  • 26
  • 19
  • 15
  • 14
  • 14
  • 12
  • 5
  • 5
  • 4
  • 3
  • 3
  • 3
  • 3
  • 3
  • 3
  • 2
  • 2
  • 2
  • 1
  • 1
  • 1
  • 1
  • 1
  • 1
  • 1
Flow Cytometry (FACS), Western Blotting (WB), Immunofluorescence (Paraffin-embedded Sections) (IF (p))

克隆位点

23GB2375
  • Expression System

    HEK-293 Cells

    原理

    CD19 Recombinant Rabbit mAb

    交叉反应

    小鼠, 大鼠

    纯化方法

    Affinity Purified

    免疫原

    A synthesized peptide derived from human CD19

    亚型

    IgG
  • 应用备注

    Western Blotting (WB): 1:1,000-1:5,000, Flow Cytometry (FCM): 1:200-1:2,000, Immunohistochemistry-Paraffin (IHC-P): 1:100-1:200

    限制

    仅限研究用
  • 状态

    Liquid

    缓冲液

    PBS (pH 7.4) containing 50% glycerol and 0.02% sodium azide.

    储存液

    Sodium azide

    注意事项

    This product contains Sodium azide: a POISONOUS AND HAZARDOUS SUBSTANCE which should be handled by trained staff only.

    储存条件

    -20 °C

    储存方法

    Store at -20 °C for one year.

    有效期

    12 months
  • 抗原

    CD19 (CD19 Molecule (CD19))

    别名

    CD19

    分子量

    61 kDa

    基因ID

    930

    UniProt

    P15391

    途径

    Fc-epsilon Receptor Signaling Pathway, EGFR Signaling Pathway, Neurotrophin Signaling Pathway
You are here: