电话:
+86 (0512) 65829739
传真:
+86 (010) 6788 5057
电子邮件:
orders@antibodies-online.cn

Recombinant Caveolin 2 抗体

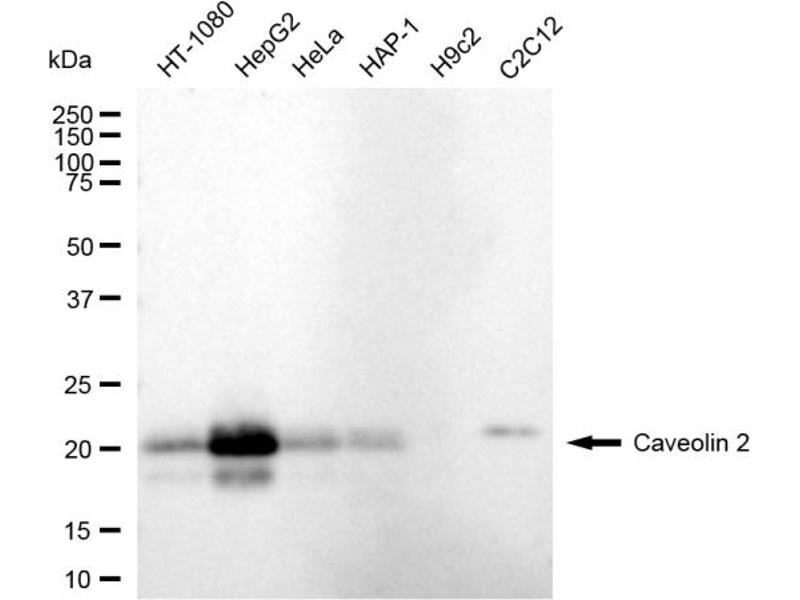
The 兔 单克隆 anti-Caveolin 2 antibody (Clone 23GB5020) (ABIN7797946) specifically detects Caveolin 2 in WB, ICC 和 FACS. The antibody is reactive with 人 samples.
产品编号 ABIN7797946
发货至: 中国
Contact our Customer Service for availability and price in your country. Contact Info

Our Local Distributor

中国
北京 101111
No. 88 KeChuang 6th Street
Beijing Economic Technological Development Area
Room 801-803
4A Biotech Co.,Ltd.
Tel +86 (0512) 65829739 传真 +86 (010) 6788 5057

Quick Overview for Recombinant Caveolin 2 抗体 (ABIN7797946)

抗原

See all Caveolin 2 (CAV2) 抗体
Caveolin 2 (CAV2)

抗体类型

Recombinant Antibody

适用

  • 85
  • 43
  • 42
  • 6
  • 6
  • 4
  • 4
  • 4
  • 4
  • 4
  • 3
  • 1
  • 1
  • 1
  • 1
  • 1
  • 1
  • 1

宿主

  • 90
  • 9
  • 2
  • 1

克隆类型

  • 73
  • 29
单克隆

标记

  • 40
  • 7
  • 4
  • 4
  • 4
  • 4
  • 4
  • 4
  • 4
  • 3
  • 2
  • 2
  • 2
  • 2
  • 2
  • 2
  • 2
  • 2
  • 2
  • 2
  • 2
  • 1
  • 1
This Caveolin 2 antibody is un-conjugated

应用范围

  • 64
  • 27
  • 26
  • 20
  • 16
  • 16
  • 13
  • 13
  • 13
  • 6
  • 4
  • 1
  • 1
  • 1
Western Blotting (WB), Immunocytochemistry (ICC), Flow Cytometry (FACS)

克隆位点

23GB5020
  • Expression System

    HEK-293 Cells

    原理

    Caveolin-2 Recombinant Rabbit mAb

    交叉反应

    小鼠

    纯化方法

    Affinity Purified

    免疫原

    A synthesized peptide derived from human Caveolin-2

    亚型

    IgG
  • 应用备注

    Western Blotting (WB): 1:1,000-1:5,000, Flow Cytometry (FCM): 1:200-1:2,000, Immunocytochemistry (ICC): 1:100-1:1,000

    限制

    仅限研究用
  • 状态

    Liquid

    缓冲液

    PBS (pH 7.4) containing 50% glycerol and 0.02% sodium azide.

    储存液

    Sodium azide

    注意事项

    This product contains Sodium azide: a POISONOUS AND HAZARDOUS SUBSTANCE which should be handled by trained staff only.

    储存条件

    -20 °C

    储存方法

    Store at -20 °C for one year.

    有效期

    12 months
  • 抗原

    Caveolin 2 (CAV2)

    别名

    Caveolin-2

    分子量

    18 kDa

    基因ID

    858

    UniProt

    P51636

    途径

    Regulation of G-Protein Coupled Receptor Protein Signaling, Skeletal Muscle Fiber Development
You are here: