电话:
+86 (0512) 65829739
传真:
+86 (010) 6788 5057
电子邮件:
orders@antibodies-online.cn

BCL2L13 抗体

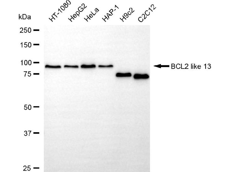
The 小鼠 单克隆 anti-BCL2L13 antibody is suitable to detect BCL2L13 in samples from 人. It has been validated for WB.
产品编号 ABIN7797753
发货至: 中国
Contact our Customer Service for availability and price in your country. Contact Info

Our Local Distributor

中国
北京 101111
No. 88 KeChuang 6th Street
Beijing Economic Technological Development Area
Room 801-803
4A Biotech Co.,Ltd.
Tel +86 (0512) 65829739 传真 +86 (010) 6788 5057

Quick Overview for BCL2L13 抗体 (ABIN7797753)

抗原

See all BCL2L13 抗体
BCL2L13 (BCL2-Like 13 (Apoptosis Facilitator) (BCL2L13))

适用

  • 24
  • 12
  • 4

宿主

  • 21
  • 4
小鼠

克隆类型

  • 21
  • 4
单克隆

标记

  • 18
  • 1
  • 1
  • 1
  • 1
  • 1
  • 1
  • 1
This BCL2L13 antibody is un-conjugated

应用范围

  • 16
  • 8
  • 3
  • 3
  • 3
  • 3
  • 2
  • 1
  • 1
  • 1
  • 1
Western Blotting (WB)

克隆位点

25GB8080
You are here: