电话:
+86 (0512) 65829739
传真:
+86 (010) 6788 5057
电子邮件:
orders@antibodies-online.cn

Recombinant NPR3 抗体

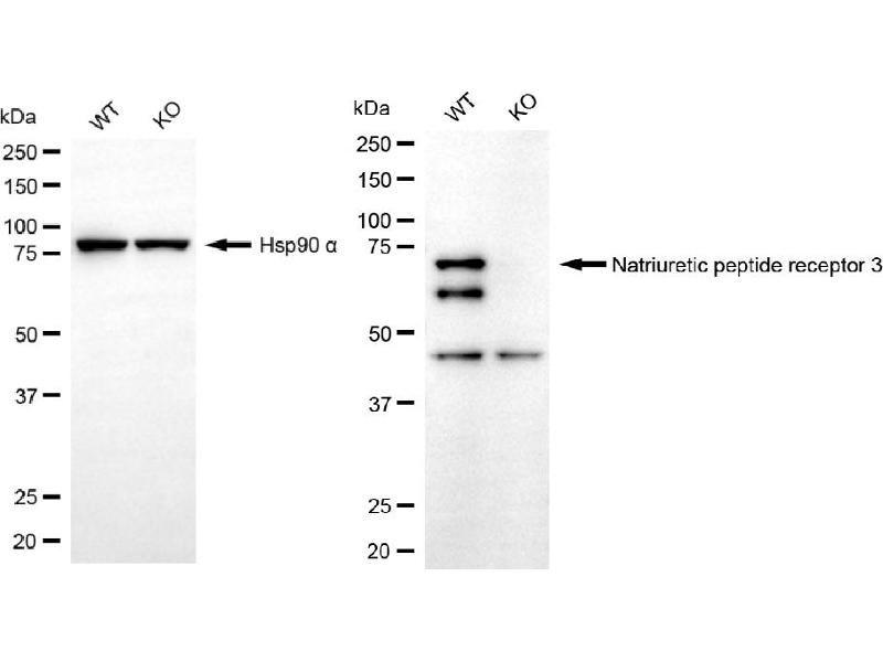
The 兔 单克隆 anti-NPR3 antibody is suitable to detect NPR3 in samples from 人. It has been validated for WB 和 FACS.
产品编号 ABIN7797702
发货至: 中国
Contact our Customer Service for availability and price in your country. Contact Info

Our Local Distributor

中国
北京 101111
No. 88 KeChuang 6th Street
Beijing Economic Technological Development Area
Room 801-803
4A Biotech Co.,Ltd.
Tel +86 (0512) 65829739 传真 +86 (010) 6788 5057

Quick Overview for Recombinant NPR3 抗体 (ABIN7797702)

抗原

See all NPR3 抗体
NPR3 (Atrial Natriuretic Peptide Receptor 3 (NPR3))

抗体类型

Recombinant Antibody

适用

  • 57
  • 27
  • 20
  • 6
  • 4
  • 2
  • 2
  • 2
  • 1
  • 1

宿主

  • 53
  • 10
  • 1
  • 1

克隆类型

  • 54
  • 11
单克隆

标记

  • 33
  • 7
  • 5
  • 4
  • 1
  • 1
  • 1
  • 1
  • 1
  • 1
  • 1
  • 1
  • 1
  • 1
  • 1
  • 1
  • 1
  • 1
  • 1
  • 1
This NPR3 antibody is un-conjugated

应用范围

  • 52
  • 26
  • 19
  • 13
  • 13
  • 13
  • 7
  • 6
  • 6
  • 4
  • 3
  • 3
  • 2
  • 1
Western Blotting (WB), Flow Cytometry (FACS)

质量等级

KO Validated

克隆位点

25GB3040
You are here: