电话:
+86 (0512) 65829739
传真:
+86 (010) 6788 5057
电子邮件:
orders@antibodies-online.cn

Recombinant Asparagine Synthetase 抗体

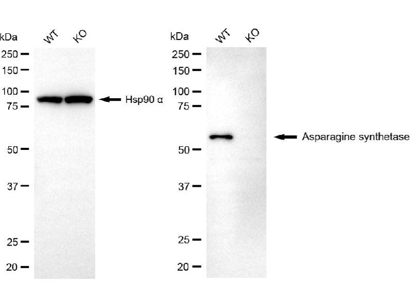
This 兔 单克隆 antibody specifically detects Asparagine Synthetase in WB 和 FACS. It exhibits reactivity toward 人.
产品编号 ABIN7797662
发货至: 中国
Contact our Customer Service for availability and price in your country. Contact Info

Our Local Distributor

中国
北京 101111
No. 88 KeChuang 6th Street
Beijing Economic Technological Development Area
Room 801-803
4A Biotech Co.,Ltd.
Tel +86 (0512) 65829739 传真 +86 (010) 6788 5057

Quick Overview for Recombinant Asparagine Synthetase 抗体 (ABIN7797662)

抗原

See all Asparagine Synthetase (ASNS) 抗体
Asparagine Synthetase (ASNS)

抗体类型

Recombinant Antibody

适用

  • 62
  • 59
  • 51
  • 2
  • 2
  • 2
  • 1
  • 1
  • 1
  • 1

宿主

  • 73
  • 5

克隆类型

  • 48
  • 30
单克隆

标记

  • 30
  • 6
  • 4
  • 3
  • 3
  • 3
  • 3
  • 3
  • 3
  • 3
  • 2
  • 2
  • 1
  • 1
  • 1
  • 1
  • 1
  • 1
  • 1
  • 1
  • 1
  • 1
  • 1
  • 1
  • 1
This Asparagine Synthetase antibody is un-conjugated

应用范围

  • 49
  • 28
  • 23
  • 22
  • 20
  • 14
  • 13
  • 7
  • 5
  • 4
  • 1
Western Blotting (WB), Flow Cytometry (FACS)

质量等级

KO Validated

克隆位点

25GB4205
You are here: