alpha Adducin 抗体
Our Local Distributor
北京 101111
Quick Overview for alpha Adducin 抗体 (ABIN7797513)
抗原
See all alpha Adducin (ADD1) 抗体适用
宿主
克隆类型
标记
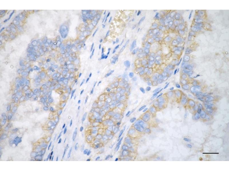
应用范围
质量等级
-
-
原理
- KD-Validated ADD1 Mouse Oligoclonal Antibody
-
交叉反应
- 大鼠
-
纯化方法
- Affinity Purified
-
免疫原
- Recombinant protein of human ADD1
-
亚型
- IgG
-
-
-
-
应用备注
- Western Blotting (WB): 1:500-1:2,500, Flow Cytometry (FCM): 1:200-1:2,000, Immunohistochemistry-Paraffin (IHC-P): 1:100-1:200
-
说明
-
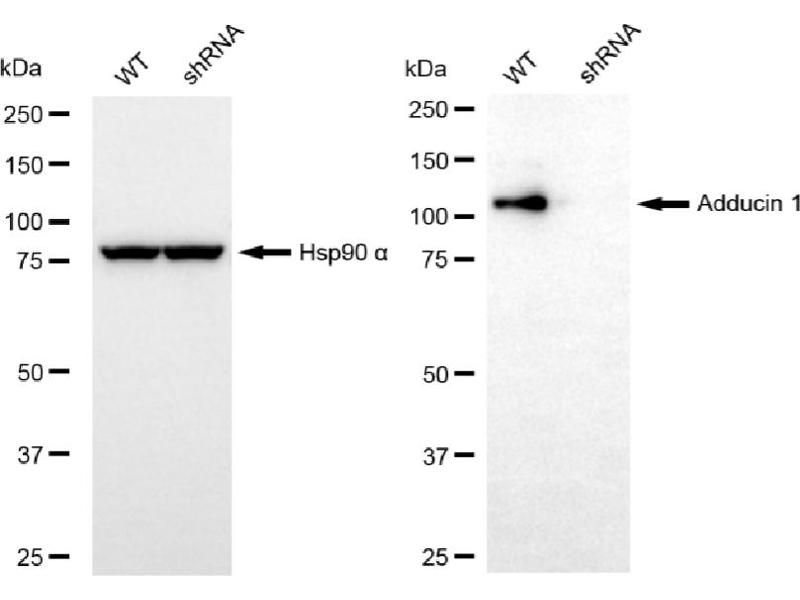
We assess the antibodies’ specificity and selectivity using knockdown techniques. Our validation approach is straightforward: if an antibody identifies a signal in wild-type (WT) cells, but this signal is absent or noticeably reduced in gene-silenced (KD) cells, we consider the antibody to be highly specific.
-
限制
- 仅限研究用
-
-
-
状态
- Liquid
-
缓冲液
- PBS (pH 7.4) containing 50% glycerol and 0.02% sodium azide.
-
储存液
- Sodium azide
-
注意事项
- This product contains Sodium azide: a POISONOUS AND HAZARDOUS SUBSTANCE which should be handled by trained staff only.
-
储存条件
- -20 °C
-
储存方法
- Store at -20 °C for one year.
-
有效期
- 12 months
-
-
- alpha Adducin (ADD1) (Adducin 1 (Alpha) (ADD1))
-
别名
- ADD1
-
分子量
- 81 kDa
-
基因ID
- 118
-
UniProt
- P35611
-
途径
- Negative Regulation of Hormone Secretion, Regulation of Actin Filament Polymerization, Regulation of Lipid Metabolism by PPARalpha, ER-Nucleus Signaling
抗原
-