电话:
+86 (0512) 65829739
传真:
+86 (010) 6788 5057
电子邮件:
orders@antibodies-online.cn

Recombinant Acyl Co-A Dehydrogenase (AIDB) (chain short) 抗体

The 兔 单克隆 anti-Acyl Co-A Dehydrogenase antibody (Clone 23GB1365) (ABIN7797493) specifically detects Acyl Co-A Dehydrogenase in FACS, ICC, IF (p) 和 WB. The antibody is reactive with 人 samples.
产品编号 ABIN7797493
发货至: 中国
Contact our Customer Service for availability and price in your country. Contact Info

Our Local Distributor

中国
北京 101111
No. 88 KeChuang 6th Street
Beijing Economic Technological Development Area
Room 801-803
4A Biotech Co.,Ltd.
Tel +86 (0512) 65829739 传真 +86 (010) 6788 5057

Quick Overview for Recombinant Acyl Co-A Dehydrogenase (AIDB) (chain short) 抗体 (ABIN7797493)

抗原

Acyl Co-A Dehydrogenase (AIDB)

抗体类型

Recombinant Antibody

适用

宿主

克隆类型

单克隆

应用范围

Flow Cytometry (FACS), Immunocytochemistry (ICC), Immunofluorescence (Paraffin-embedded Sections) (IF (p)), Western Blotting (WB)

质量等级

KD Validated

克隆位点

23GB1365
  • 抗原表位

    chain short

    Expression System

    HEK-293 Cells

    原理

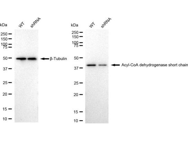
    KD-Validated Acyl-CoA dehydrogenase short chain Recombinant Rabbit mAb

    交叉反应

    小鼠, 大鼠

    纯化方法

    Affinity Purified

    免疫原

    A synthesized peptide derived from human ACADS / SCAD

    亚型

    IgG
  • 应用备注

    Western Blotting (WB): 1:1,000-1:5,000, Flow Cytometry (FCM): 1:200-1:2,000, Immunocytochemistry (ICC): 1:100-1:1,000, Immunohistochemistry-Paraffin (IHC-P): 1:100-1:200

    说明

    We assess the antibodies’ specificity and selectivity using knockdown techniques. Our validation approach is straightforward: if an antibody identifies a signal in wild-type (WT) cells, but this signal is absent or noticeably reduced in gene-silenced (KD) cells, we consider the antibody to be highly specific.

    限制

    仅限研究用
  • 状态

    Liquid

    缓冲液

    PBS (pH 7.4) containing 50% glycerol and 0.02% sodium azide.

    储存液

    Sodium azide

    注意事项

    This product contains Sodium azide: a POISONOUS AND HAZARDOUS SUBSTANCE which should be handled by trained staff only.

    储存条件

    -20 °C

    储存方法

    Store at -20 °C for one year.

    有效期

    12 months
  • 抗原

    Acyl Co-A Dehydrogenase (AIDB)

    别名

    Acyl-CoA dehydrogenase

    分子量

    44 kDa

    基因ID

    35

    UniProt

    P16219
You are here: