电话:
+86 (0512) 65829739
传真:
+86 (010) 6788 5057
电子邮件:
orders@antibodies-online.cn

Recombinant CD166 抗体

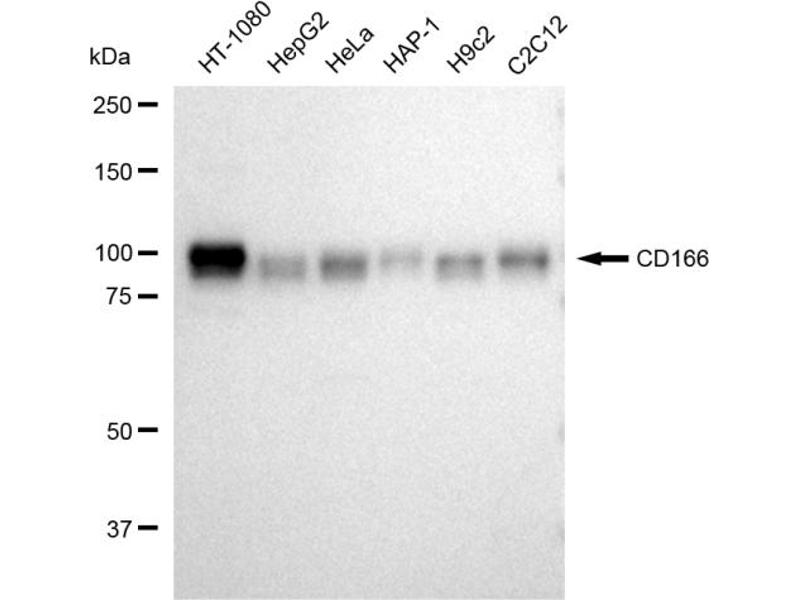
This 兔 单克隆 antibody specifically detects CD166 in WB 和 FACS. It exhibits reactivity toward 人.
产品编号 ABIN7797476
发货至: 中国
Contact our Customer Service for availability and price in your country. Contact Info

Our Local Distributor

中国
北京 101111
No. 88 KeChuang 6th Street
Beijing Economic Technological Development Area
Room 801-803
4A Biotech Co.,Ltd.
Tel +86 (0512) 65829739 传真 +86 (010) 6788 5057

Quick Overview for Recombinant CD166 抗体 (ABIN7797476)

抗原

See all CD166 (ALCAM) 抗体
CD166 (ALCAM) (Activated Leukocyte Cell Adhesion Molecule (ALCAM))

抗体类型

Recombinant Antibody

适用

  • 125
  • 43
  • 37
  • 20
  • 3
  • 1
  • 1
  • 1

宿主

  • 86
  • 53
  • 4
  • 3
  • 3

克隆类型

  • 77
  • 68
  • 2
单克隆

标记

  • 72
  • 18
  • 12
  • 4
  • 4
  • 3
  • 3
  • 3
  • 3
  • 3
  • 3
  • 2
  • 1
  • 1
  • 1
  • 1
  • 1
  • 1
  • 1
  • 1
  • 1
  • 1
  • 1
  • 1
  • 1
  • 1
  • 1
  • 1
  • 1
This CD166 antibody is un-conjugated

应用范围

  • 95
  • 56
  • 52
  • 38
  • 31
  • 20
  • 19
  • 13
  • 13
  • 7
  • 6
  • 6
  • 2
  • 2
  • 1
  • 1
  • 1
  • 1
Western Blotting (WB), Flow Cytometry (FACS)

质量等级

KD Validated

克隆位点

23GB3405
You are here: