电话:
+86 (0512) 65829739
传真:
+86 (010) 6788 5057
电子邮件:
orders@antibodies-online.cn

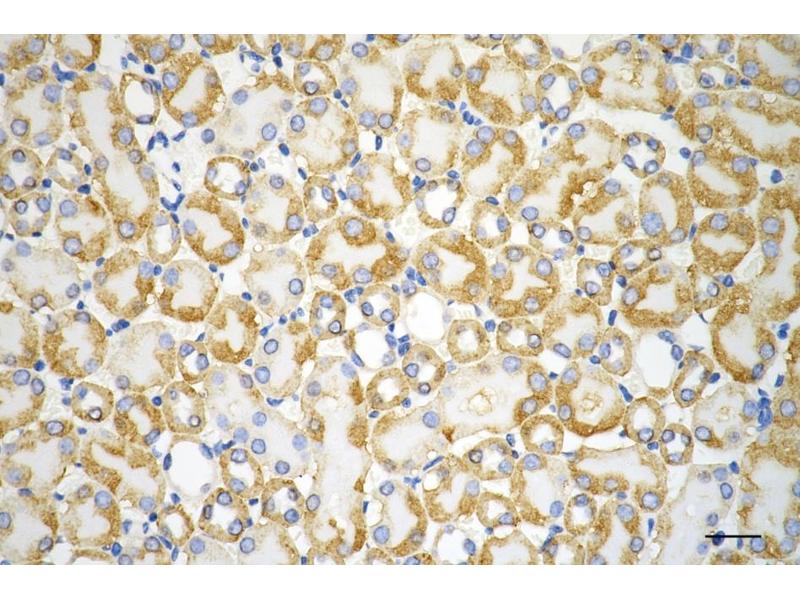
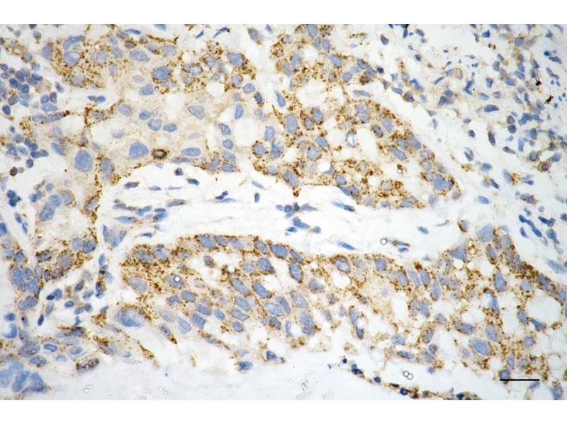
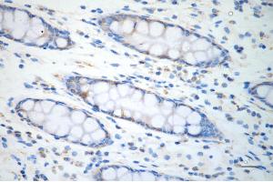
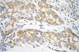
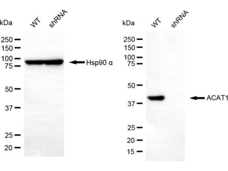
ACAT1 抗体

The 兔 多克隆 anti-ACAT1 antibody is suitable to detect ACAT1 in samples from 人. It has been validated for WB 和 IF (p).
产品编号 ABIN7797438
发货至: 中国
Contact our Customer Service for availability and price in your country. Contact Info

Our Local Distributor

中国
北京 101111
No. 88 KeChuang 6th Street
Beijing Economic Technological Development Area
Room 801-803
4A Biotech Co.,Ltd.
Tel +86 (0512) 65829739 传真 +86 (010) 6788 5057

Quick Overview for ACAT1 抗体 (ABIN7797438)

抗原

See all ACAT1 抗体
ACAT1 (Acetyl-CoA Acetyltransferase 1 (ACAT1))

适用

  • 84
  • 46
  • 40
  • 4
  • 4
  • 4
  • 4
  • 3
  • 3
  • 3
  • 2
  • 2
  • 2
  • 2
  • 1
  • 1

宿主

  • 75
  • 7
  • 4

克隆类型

  • 62
  • 24
多克隆

标记

  • 50
  • 6
  • 3
  • 2
  • 2
  • 2
  • 2
  • 2
  • 2
  • 2
  • 1
  • 1
  • 1
  • 1
  • 1
  • 1
  • 1
  • 1
  • 1
  • 1
  • 1
  • 1
  • 1
This ACAT1 antibody is un-conjugated

应用范围

  • 56
  • 39
  • 30
  • 21
  • 16
  • 14
  • 13
  • 11
  • 9
  • 4
  • 3
  • 2
Western Blotting (WB), Immunofluorescence (Paraffin-embedded Sections) (IF (p))

质量等级

KD Validated
You are here: