电话:
+86 (0512) 65829739
传真:
+86 (010) 6788 5057
电子邮件:
orders@antibodies-online.cn

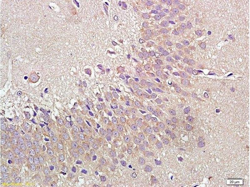
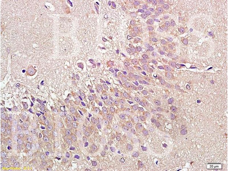
NPY1R 抗体 (AA 301-382)

The 兔 多克隆 anti-NPY1R antibody (ABIN737211) specifically detects NPY1R in WB, ELISA, IHC (p), IF (cc), IF (p) 和 IHC (fro). The antibody is reactive with 小鼠 和 大鼠 samples.
产品编号 ABIN737211
发货至: 中国
Contact our Customer Service for availability and price in your country. Contact Info

Our Local Distributor

中国
北京 101111
No. 88 KeChuang 6th Street
Beijing Economic Technological Development Area
Room 801-803
4A Biotech Co.,Ltd.
Tel +86 (0512) 65829739 传真 +86 (010) 6788 5057

Quick Overview for NPY1R 抗体 (AA 301-382) (ABIN737211)

抗原

See all NPY1R 抗体
NPY1R (Neuropeptide Y Receptor Y1 (NPY1R))

适用

  • 47
  • 25
  • 21
  • 4
  • 4
  • 3
  • 3
  • 3
  • 2
  • 2
  • 2
  • 1
  • 1
  • 1
  • 1
  • 1
  • 1
  • 1
小鼠, 大鼠

宿主

  • 45
  • 7
  • 1
  • 1

克隆类型

  • 49
  • 5
多克隆

标记

  • 35
  • 3
  • 3
  • 2
  • 2
  • 1
  • 1
  • 1
  • 1
  • 1
  • 1
  • 1
  • 1
  • 1
This NPY1R antibody is un-conjugated

应用范围

  • 36
  • 23
  • 11
  • 8
  • 7
  • 5
  • 4
  • 2
  • 1
  • 1
Western Blotting (WB), ELISA, Immunohistochemistry (Paraffin-embedded Sections) (IHC (p)), Immunofluorescence (Cultured Cells) (IF (cc)), Immunofluorescence (Paraffin-embedded Sections) (IF (p)), Immunohistochemistry (Frozen Sections) (IHC (fro))
  • 抗原表位

    • 7
    • 7
    • 4
    • 2
    • 2
    • 2
    • 2
    • 2
    • 2
    • 1
    • 1
    • 1
    • 1
    • 1
    • 1
    • 1
    • 1
    • 1
    • 1
    • 1
    • 1
    • 1
    • 1
    AA 301-382

    交叉反应

    小鼠, 大鼠

    预测反应

    Human,Dog,Pig,Rabbit

    纯化方法

    Purified by Protein A.

    免疫原

    KLH conjugated synthetic peptide derived from human NPY1R

    亚型

    IgG
  • 应用备注

    WB 1:300-5000
    ELISA 1:500-1000
    IHC-P 1:200-400
    IHC-F 1:100-500
    IF(IHC-P) 1:50-200
    IF(IHC-F) 1:50-200
    IF(ICC) 1:50-200

    限制

    仅限研究用
  • 状态

    Liquid

    浓度

    1 μg/μL

    缓冲液

    0.01M TBS( pH 7.4) with 1 % BSA, 0.02 % Proclin300 and 50 % Glycerol.

    储存液

    ProClin

    注意事项

    This product contains ProClin: a POISONOUS AND HAZARDOUS SUBSTANCE, which should be handled by trained staff only.

    储存条件

    4 °C,-20 °C

    储存方法

    Shipped at 4°C. Store at -20°C for one year. Avoid repeated freeze/thaw cycles.

    有效期

    12 months
  • 抗原

    NPY1R (Neuropeptide Y Receptor Y1 (NPY1R))

    别名

    NPY1R

    背景

    Synonyms: NPYR, NPY1-R, Neuropeptide Y receptor type 1, NPY1R, NPYY1

    Background: Receptor for neuropeptide Y and peptide YY. The rank order of affinity of this receptor for pancreatic polypeptides is NPY > [Pro-34] PYY, PYY and [Leu-31, Pro-34] NPY > NPY (2-36) > [Ile-31, Gln-34] PP and PYY (3-36) > PP > NPY free acid.

    基因ID

    4886

    UniProt

    P25929

    途径

    Negative Regulation of Hormone Secretion, Feeding Behaviour
You are here: