电话:
+86 (0512) 65829739
传真:
+86 (010) 6788 5057
电子邮件:
orders@antibodies-online.cn

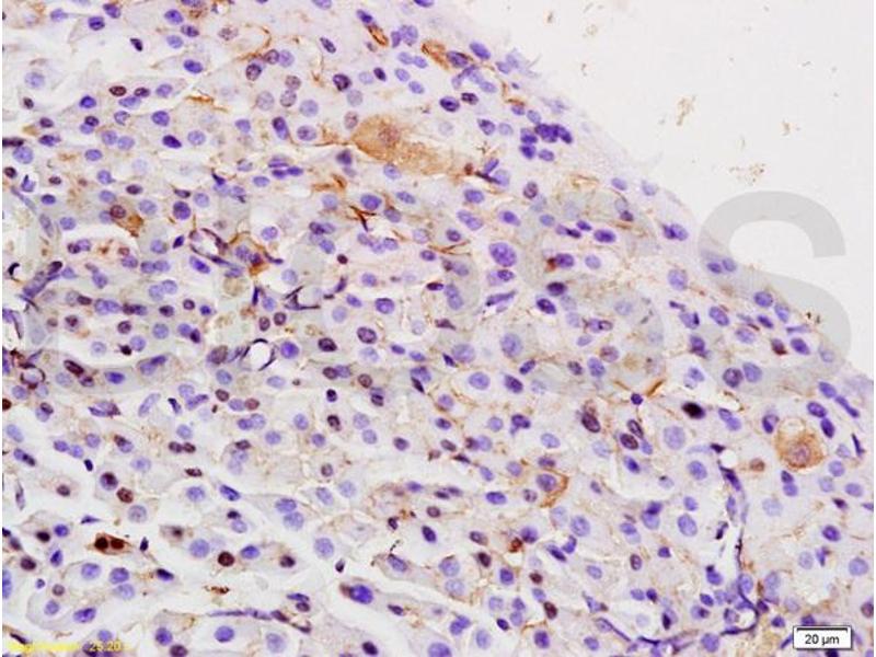
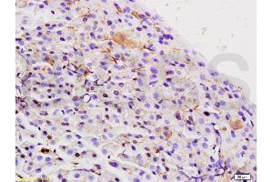
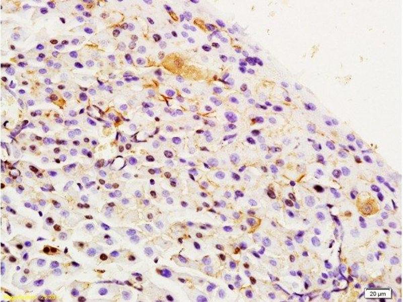
Integrin Alpha3, Beta1 (AA 976-1025) 抗体

Cited in 1 publication. The 兔 多克隆 anti-Integrin Alpha3, Beta1 antibody (ABIN737031) specifically detects Integrin Alpha3, Beta1 in WB, FACS, IF (cc), IF (p), ELISA, IHC (fro) 和 IHC (p). The antibody is reactive with 人, 小鼠 和 大鼠 samples.
产品编号 ABIN737031
发货至: 中国
Contact our Customer Service for availability and price in your country. Contact Info

Our Local Distributor

中国
北京 101111
No. 88 KeChuang 6th Street
Beijing Economic Technological Development Area
Room 801-803
4A Biotech Co.,Ltd.
Tel +86 (0512) 65829739 传真 +86 (010) 6788 5057

Quick Overview for Integrin Alpha3, Beta1 (AA 976-1025) 抗体 (ABIN737031)

抗原

Integrin Alpha3, Beta1

适用

人, 小鼠, 大鼠

宿主

  • 15
  • 1

克隆类型

  • 15
  • 1
多克隆

标记

  • 1
  • 1
  • 1
  • 1
  • 1
  • 1
  • 1
  • 1
  • 1
  • 1
  • 1
  • 1
  • 1
  • 1
  • 1
  • 1
非结合性

应用范围

  • 15
  • 14
  • 12
  • 12
  • 3
  • 2
  • 2
  • 1
  • 1
  • 1
  • 1
Western Blotting (WB), Flow Cytometry (FACS), Immunofluorescence (Cultured Cells) (IF (cc)), Immunofluorescence (Paraffin-embedded Sections) (IF (p)), ELISA, Immunohistochemistry (Frozen Sections) (IHC (fro)), Immunohistochemistry (Paraffin-embedded Sections) (IHC (p))
  • 抗原表位

    AA 976-1025

    交叉反应

    人, 小鼠, 大鼠

    预测反应

    Dog,Cow,Sheep,Pig,Horse

    纯化方法

    Purified by Protein A.

    免疫原

    Mixed KLH conjugated synthetic peptide derived from human Integrin Alpha 3(976-1025/1051) + Beta 1(35-47/798)

    亚型

    IgG
  • 应用备注

    WB 1:300-5000
    ELISA 1:500-1000
    FCM 1:20-100
    IHC-P 1:200-400
    IHC-F 1:100-500
    IF(IHC-P) 1:50-200
    IF(IHC-F) 1:50-200
    IF(ICC) 1:50-200

    限制

    仅限研究用
  • 状态

    Liquid

    浓度

    1 μg/μL

    缓冲液

    0.01M TBS( pH 7.4) with 1 % BSA, 0.02 % Proclin300 and 50 % Glycerol.

    储存液

    ProClin

    注意事项

    This product contains ProClin: a POISONOUS AND HAZARDOUS SUBSTANCE, which should be handled by trained staff only.

    储存条件

    4 °C,-20 °C

    储存方法

    Shipped at 4°C. Store at -20°C for one year. Avoid repeated freeze/thaw cycles.

    有效期

    12 months
  • Wang, Zhang, Song, Wang, Guo, Zhang, Li, Han, Miao, Li: "PAK1 regulates RUFY3-mediated gastric cancer cell migration and invasion." in: Cell death & disease, Vol. 6, pp. e1682, (2015) (PubMed).

  • 抗原

    Integrin Alpha3, Beta1

    别名

    Integrin Alpha 3 + Beta 1

    背景

    Synonyms: Integrin Alpha 3 / Beta 1, Integrin VLA 4 beta subunit, Alpha 3 subunit of VLA 3 receptor, CD29, CD49C, Fibronectin receptor, Fibronectin receptor beta subunit, Galactoprotein B3, GAPB3, VL3A, VLA 3 alpha chain, VLA3a.

    Background: alpha3beta1 integrin is a laminin receptor with apparently diverse functions. In epithelial cells it acts as a receptor for the basement membrane, whereas in neuronal and possibly tumor cells it mediates migration. Interactions of alpha3beta1 integrin with tetraspanin proteins may provide clues to how it transduces signals that affect cell behavior.

    基因ID

    3675, 3688

    UniProt

    P26006, P05556
You are here: