电话:
+86 (0512) 65829739
传真:
+86 (010) 6788 5057
电子邮件:
orders@antibodies-online.cn

MSH alpha (AA 138-150) 抗体

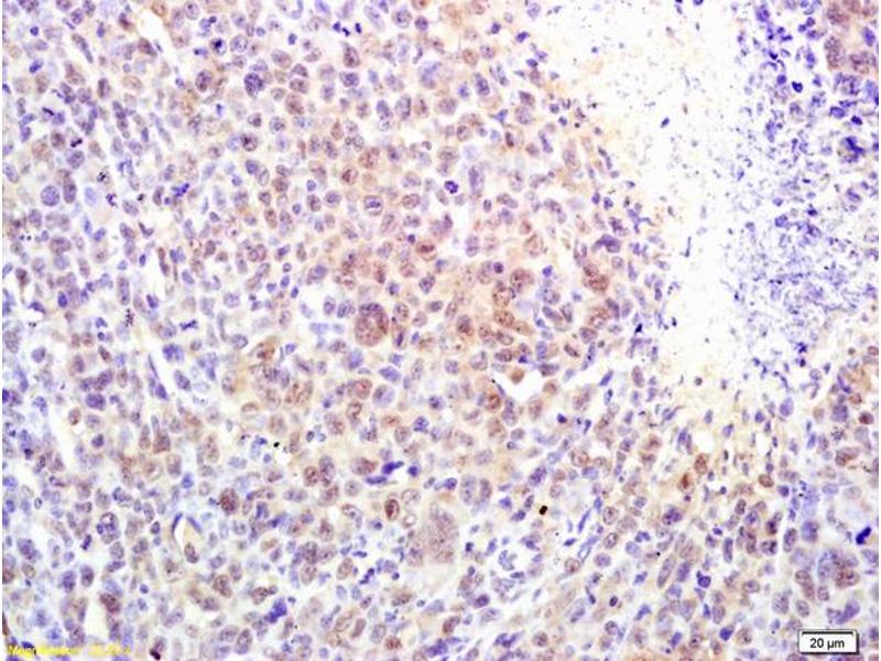
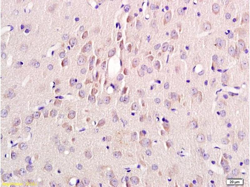
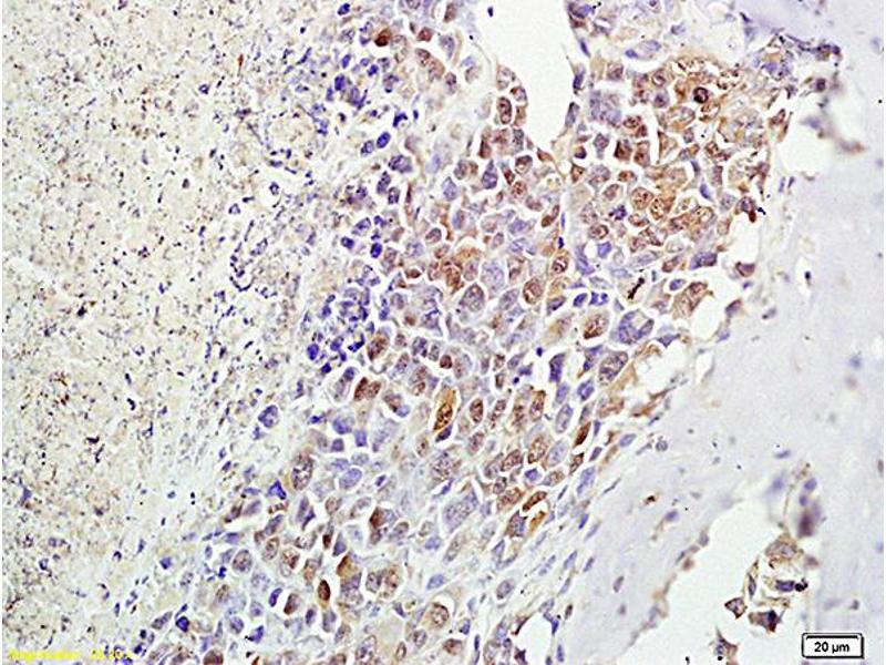
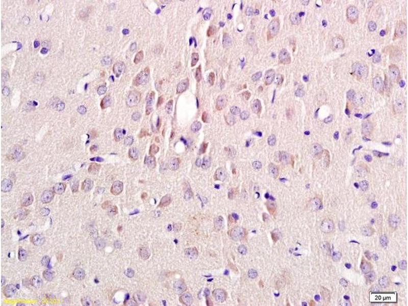
There is 1 publication for this product available. The 兔 多克隆 anti-MSH alpha antibody is suitable to detect MSH alpha in samples from 人, 大鼠 和 小鼠. It has been validated for WB, ELISA 和 IHC (p).
产品编号 ABIN735323
发货至: 中国
Contact our Customer Service for availability and price in your country. Contact Info

Our Local Distributor

中国
北京 101111
No. 88 KeChuang 6th Street
Beijing Economic Technological Development Area
Room 801-803
4A Biotech Co.,Ltd.
Tel +86 (0512) 65829739 传真 +86 (010) 6788 5057

Quick Overview for MSH alpha (AA 138-150) 抗体 (ABIN735323)

抗原

MSH alpha

适用

  • 18
  • 16
  • 15
  • 2
  • 1
  • 1
  • 1
人, 大鼠, 小鼠

宿主

  • 19

克隆类型

  • 19
多克隆

标记

  • 4
  • 2
  • 1
  • 1
  • 1
  • 1
  • 1
  • 1
  • 1
  • 1
  • 1
  • 1
  • 1
  • 1
  • 1
非结合性

应用范围

  • 16
  • 5
  • 2
  • 2
  • 1
  • 1
  • 1
  • 1
  • 1
  • 1
Western Blotting (WB), ELISA, Immunohistochemistry (Paraffin-embedded Sections) (IHC (p))
  • 抗原表位

    AA 138-150

    交叉反应

    人, 小鼠, 大鼠

    预测反应

    Rabbit

    纯化方法

    Purified by Protein A.

    免疫原

    KLH conjugated synthetic peptide of human Alpha-MSH

    亚型

    IgG
  • 应用备注

    WB 1:300-5000
    ELISA 1:500-1000
    IHC-P 1:200-400

    限制

    仅限研究用
  • 状态

    Liquid

    浓度

    1 μg/μL

    缓冲液

    0.01M TBS( pH 7.4) with 1 % BSA, 0.02 % Proclin300 and 50 % Glycerol.

    储存液

    ProClin

    注意事项

    This product contains ProClin: a POISONOUS AND HAZARDOUS SUBSTANCE, which should be handled by trained staff only.

    储存条件

    4 °C,-20 °C

    储存方法

    Shipped at 4°C. Store at -20°C for one year. Avoid repeated freeze/thaw cycles.

    有效期

    12 months
  • Jussila, Huotari-Orava, Ylianttila, Partonen, Snellman: "Narrow-band ultraviolet B radiation induces the expression of β-endorphin in human skin in vivo." in: Journal of photochemistry and photobiology. B, Biology, Vol. 155, pp. 104-8, (2016) (PubMed).

  • 抗原

    MSH alpha

    别名

    alpha MSH

    背景

    Synonyms: LPH, MSH, NPP, POC, ACTH, CLIP, Pro-opiomelanocortin, POMC, Corticotropin-lipotropin

    Background: ACTH stimulates the adrenal glands to release cortisol. MSH (melanocyte-stimulating hormone) increases the pigmentation of skin by increasing melanin production in melanocytes. Beta-endorphin and Met-enkephalin are endogenous opiates.

    基因ID

    5443

    UniProt

    P01189

    途径

    Metabolism of Steroid Hormones and Vitamin D, Peptide Hormone Metabolism, Hormone Activity
You are here: