电话:
+86 (0512) 65829739
传真:
+86 (010) 6788 5057
电子邮件:
orders@antibodies-online.cn

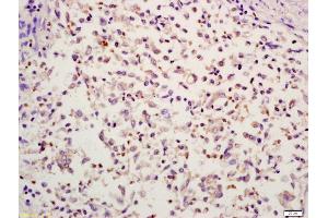
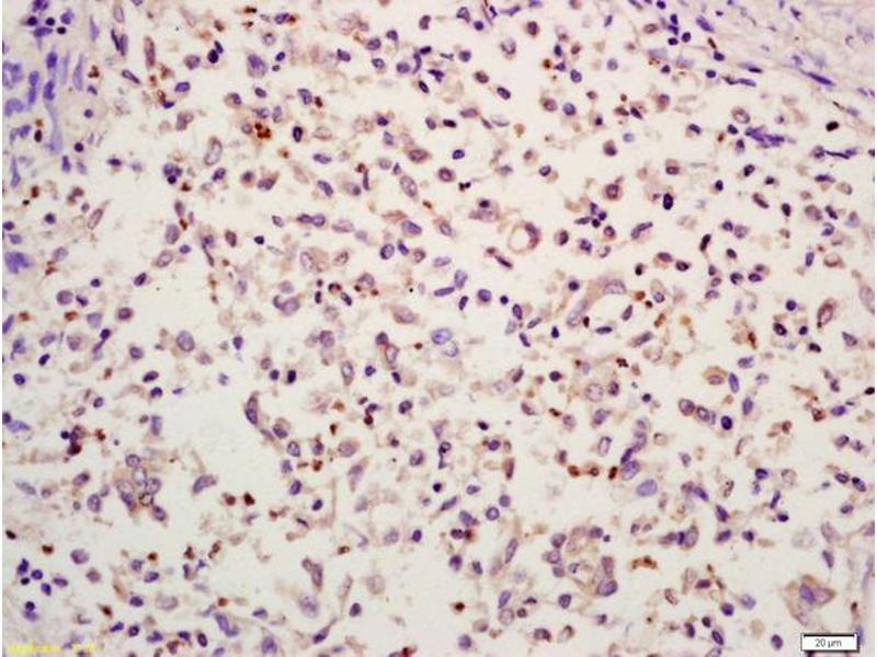
HMGB4 抗体 (AA 31-130)

The 兔 多克隆 anti-HMGB4 antibody is suitable to detect HMGB4 in samples from 人, 大鼠 和 小鼠. It has been validated for WB, ELISA, IF (cc), IF (p), IHC (fro) 和 IHC (p).
产品编号 ABIN734918
发货至: 中国
Contact our Customer Service for availability and price in your country. Contact Info

Our Local Distributor

中国
北京 101111
No. 88 KeChuang 6th Street
Beijing Economic Technological Development Area
Room 801-803
4A Biotech Co.,Ltd.
Tel +86 (0512) 65829739 传真 +86 (010) 6788 5057

Quick Overview for HMGB4 抗体 (AA 31-130) (ABIN734918)

抗原

See all HMGB4 抗体
HMGB4 (High Mobility Group Box 4 (HMGB4))

适用

  • 56
  • 24
  • 23
  • 2
  • 1
  • 1
  • 1
  • 1
  • 1
人, 大鼠, 小鼠

宿主

  • 55
  • 1

克隆类型

  • 55
  • 1
多克隆

标记

  • 23
  • 4
  • 3
  • 3
  • 2
  • 2
  • 1
  • 1
  • 1
  • 1
  • 1
  • 1
  • 1
  • 1
  • 1
  • 1
  • 1
  • 1
  • 1
  • 1
  • 1
  • 1
  • 1
  • 1
  • 1
This HMGB4 antibody is un-conjugated

应用范围

  • 39
  • 16
  • 12
  • 12
  • 6
  • 6
  • 3
  • 2
  • 2
  • 1
  • 1
Western Blotting (WB), ELISA, Immunofluorescence (Cultured Cells) (IF (cc)), Immunofluorescence (Paraffin-embedded Sections) (IF (p)), Immunohistochemistry (Frozen Sections) (IHC (fro)), Immunohistochemistry (Paraffin-embedded Sections) (IHC (p))
  • 抗原表位

    • 14
    • 9
    • 8
    • 5
    • 3
    • 2
    • 1
    • 1
    • 1
    • 1
    • 1
    • 1
    AA 31-130

    交叉反应

    人, 小鼠, 大鼠

    预测反应

    Dog,Cow,Pig

    纯化方法

    Purified by Protein A.

    免疫原

    KLH conjugated synthetic peptide derived from human HMGB4

    亚型

    IgG
  • 应用备注

    WB 1:300-5000
    ELISA 1:500-1000
    IHC-P 1:200-400
    IHC-F 1:100-500
    IF(IHC-P) 1:50-200
    IF(IHC-F) 1:50-200
    IF(ICC) 1:50-200

    限制

    仅限研究用
  • 状态

    Liquid

    浓度

    1 μg/μL

    缓冲液

    0.01M TBS( pH 7.4) with 1 % BSA, 0.02 % Proclin300 and 50 % Glycerol.

    储存液

    ProClin

    注意事项

    This product contains ProClin: a POISONOUS AND HAZARDOUS SUBSTANCE, which should be handled by trained staff only.

    储存条件

    4 °C,-20 °C

    储存方法

    Shipped at 4°C. Store at -20°C for one year. Avoid repeated freeze/thaw cycles.

    有效期

    12 months
  • 抗原

    HMGB4 (High Mobility Group Box 4 (HMGB4))

    别名

    HMGB4

    背景

    Synonyms: dJ1007G16.5, High mobility group protein B4, HMGB4

    Background: High Mobility Group (HMG) proteins, a group of chromosomal proteins common to all eukaryotes, bind DNA in a non-sequence-specific fashion to promote chromatin function and gene regulation, helping with transcription, replication, recombination, and DNA repair. HMGB4 is HMG2-like, isoform 2, high-mobility group box 4. This gene can be found on Chromosome 1. HMGB4 contains two HMG-box regions, and is found in a variety of eukaryotic chromosomal proteins. HMGB proteins are phosphorylated to various extents. The existence of differentially modified forms increases the number of distinct HMGB protein variants in plant chromatin that may be adapted to certain functions.

    基因ID

    127540

    UniProt

    Q8WW32
You are here: