电话:
+86 (0512) 65829739
传真:
+86 (010) 6788 5057
电子邮件:
orders@antibodies-online.cn

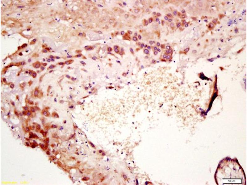
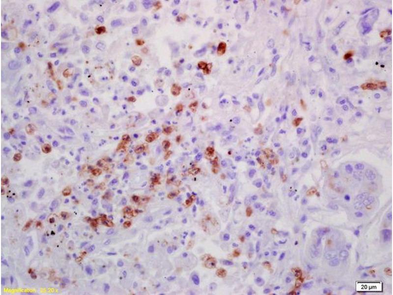
IL-7 抗体 (AA 51-154)

The 兔 多克隆 anti-IL-7 antibody is suitable to detect IL-7 in samples from 大鼠. It has been validated for WB, ELISA, IF (p), IF (cc), IHC (p) 和 IHC (fro).
产品编号 ABIN734783
发货至: 中国
Contact our Customer Service for availability and price in your country. Contact Info

Our Local Distributor

中国
北京 101111
No. 88 KeChuang 6th Street
Beijing Economic Technological Development Area
Room 801-803
4A Biotech Co.,Ltd.
Tel +86 (0512) 65829739 传真 +86 (010) 6788 5057

Quick Overview for IL-7 抗体 (AA 51-154) (ABIN734783)

抗原

See all IL-7 (IL7) 抗体
IL-7 (IL7) (Interleukin 7 (IL7))

适用

  • 55
  • 33
  • 30
  • 4
  • 1
  • 1
  • 1
  • 1
  • 1
  • 1
大鼠

宿主

  • 73
  • 16
  • 9
  • 3
  • 1

克隆类型

  • 78
  • 24
多克隆

标记

  • 60
  • 14
  • 4
  • 3
  • 3
  • 1
  • 1
  • 1
  • 1
  • 1
  • 1
  • 1
  • 1
  • 1
  • 1
  • 1
  • 1
  • 1
  • 1
  • 1
  • 1
  • 1
  • 1
This IL-7 antibody is un-conjugated

应用范围

  • 83
  • 42
  • 27
  • 18
  • 16
  • 12
  • 12
  • 12
  • 8
  • 5
  • 3
  • 3
  • 3
  • 3
  • 2
  • 2
  • 2
  • 2
  • 1
  • 1
Western Blotting (WB), ELISA, Immunofluorescence (Paraffin-embedded Sections) (IF (p)), Immunofluorescence (Cultured Cells) (IF (cc)), Immunohistochemistry (Paraffin-embedded Sections) (IHC (p)), Immunohistochemistry (Frozen Sections) (IHC (fro))
  • 抗原表位

    • 14
    • 8
    • 6
    • 4
    • 2
    • 2
    • 2
    • 1
    • 1
    • 1
    • 1
    AA 51-154

    特异性

    Belongs to the IL-7/IL-9 family.

    交叉反应

    大鼠

    预测反应

    Mouse

    纯化方法

    Purified by Protein A.

    免疫原

    KLH conjugated synthetic peptide derived from mouse IL-7

    亚型

    IgG
  • 应用备注

    WB 1:300-5000
    ELISA 1:500-1000
    IHC-P 1:200-400
    IHC-F 1:100-500
    IF(IHC-P) 1:50-200
    IF(IHC-F) 1:50-200
    IF(ICC) 1:50-200

    限制

    仅限研究用
  • 状态

    Liquid

    浓度

    1 μg/μL

    缓冲液

    0.01M TBS( pH 7.4) with 1 % BSA, 0.02 % Proclin300 and 50 % Glycerol.

    储存液

    ProClin

    注意事项

    This product contains ProClin: a POISONOUS AND HAZARDOUS SUBSTANCE, which should be handled by trained staff only.

    储存条件

    4 °C,-20 °C

    储存方法

    Shipped at 4°C. Store at -20°C for one year. Avoid repeated freeze/thaw cycles.

    有效期

    12 months
  • 抗原

    IL-7 (IL7) (Interleukin 7 (IL7))

    别名

    IL-7

    背景

    Synonyms: Il-7, hlb368, A630026I06Rik, Interleukin-7, Il7

    Background: Hematopoietic growth factor capable of stimulating the proliferation of lymphoid progenitors. It is important for proliferation during certain stages of B-cell maturation.

    基因ID

    16196

    UniProt

    P10168

    途径

    JAK/STAT Signaling
You are here: