电话:
+86 (0512) 65829739
传真:
+86 (010) 6788 5057
电子邮件:
orders@antibodies-online.cn

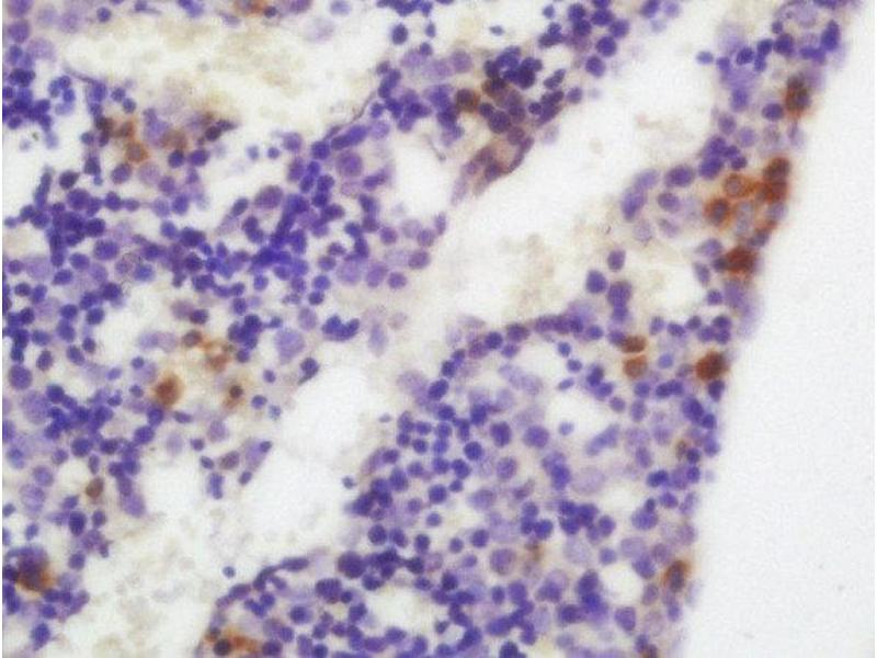
XBP1 抗体 (AA 51-150)

There is 1 publication for this product available. The 兔 多克隆 anti-XBP1 antibody is suitable to detect XBP1 in samples from 人 和 小鼠. It has been validated for WB, ELISA, FACS, IHC (p), IF (cc), IF (p) 和 IHC (fro).
产品编号 ABIN732728
发货至: 中国
Contact our Customer Service for availability and price in your country. Contact Info

Our Local Distributor

中国
北京 101111
No. 88 KeChuang 6th Street
Beijing Economic Technological Development Area
Room 801-803
4A Biotech Co.,Ltd.
Tel +86 (0512) 65829739 传真 +86 (010) 6788 5057

Quick Overview for XBP1 抗体 (AA 51-150) (ABIN732728)

抗原

See all XBP1 抗体
XBP1 (X-Box Binding Protein 1 (XBP1))

适用

  • 82
  • 39
  • 11
  • 6
  • 6
  • 4
  • 3
  • 3
  • 2
  • 2
人, 小鼠

宿主

  • 78
  • 12
  • 1

克隆类型

  • 66
  • 25
多克隆

标记

  • 48
  • 5
  • 4
  • 4
  • 3
  • 2
  • 2
  • 2
  • 2
  • 2
  • 2
  • 2
  • 1
  • 1
  • 1
  • 1
  • 1
  • 1
  • 1
  • 1
  • 1
  • 1
  • 1
  • 1
  • 1
This XBP1 antibody is un-conjugated

应用范围

  • 77
  • 35
  • 35
  • 28
  • 23
  • 18
  • 12
  • 12
  • 8
  • 6
  • 4
  • 3
  • 2
  • 1
Western Blotting (WB), ELISA, Flow Cytometry (FACS), Immunohistochemistry (Paraffin-embedded Sections) (IHC (p)), Immunofluorescence (Cultured Cells) (IF (cc)), Immunofluorescence (Paraffin-embedded Sections) (IF (p)), Immunohistochemistry (Frozen Sections) (IHC (fro))
  • 抗原表位

    • 15
    • 11
    • 8
    • 7
    • 5
    • 5
    • 4
    • 3
    • 3
    • 2
    • 2
    • 2
    • 1
    • 1
    • 1
    • 1
    • 1
    • 1
    AA 51-150

    特异性

    XBP-1 antibody will recognize both isoforms, may also interact with chicken

    交叉反应

    人, 小鼠

    预测反应

    Rat,Cow,Chicken

    纯化方法

    Purified by Protein A.

    免疫原

    KLH conjugated synthetic peptide derived from human XBP-1

    亚型

    IgG
  • 应用备注

    WB 1:300-5000
    ELISA 1:500-1000
    FCM 1:20-100
    IHC-P 1:200-400
    IHC-F 1:100-500
    IF(IHC-P) 1:50-200
    IF(IHC-F) 1:50-200
    IF(ICC) 1:50-200

    限制

    仅限研究用
  • 状态

    Liquid

    浓度

    1 μg/μL

    缓冲液

    0.01M TBS( pH 7.4) with 1 % BSA, 0.02 % Proclin300 and 50 % Glycerol.

    储存液

    ProClin

    注意事项

    This product contains ProClin: a POISONOUS AND HAZARDOUS SUBSTANCE, which should be handled by trained staff only.

    储存条件

    4 °C,-20 °C

    储存方法

    Shipped at 4°C. Store at -20°C for one year. Avoid repeated freeze/thaw cycles.

    有效期

    12 months
  • Li, Han, Shi: "IRE1?-XBP1 Pathway Is Activated Upon Induction of Single-Prolonged Stress in Rat Neurons of the Medial Prefrontal Cortex." in: Journal of molecular neuroscience : MN, (2015) (PubMed).

  • 抗原

    XBP1 (X-Box Binding Protein 1 (XBP1))

    别名

    XBP1

    背景

    Synonyms: XBP2, TREB5, XBP-1, X-box-binding protein 1, Tax-responsive element-binding protein 5, XBP1

    Background: Transcription factor essential for hepatocyte growth, the differentiation of plasma cells, the immunoglobulin secretion, and the unfolded protein response (UPR). Acts during endoplasmic reticulum stress (ER) by activating unfolded protein response (UPR) target genes via direct binding to the UPR element (UPRE). Binds DNA preferably to the CRE-like element 5'-GATGACGTG[TG]N(3)[AT]T-3', and also to some TPA response elements (TRE). Binds to the HLA DR-alpha promoter. Binds to the Tax-responsive element (TRE) of HTLV-I.

    基因ID

    7494

    UniProt

    P17861

    途径

    ER-Nucleus Signaling, Unfolded Protein Response
You are here: