MBP/MBL 抗体 (AA 31-130)
Our Local Distributor
北京 101111
Quick Overview for MBP/MBL 抗体 (AA 31-130) (ABIN731663)
抗原
See all MBP/MBL 抗体适用
宿主
克隆类型
标记
应用范围
-
-
抗原表位
- AA 31-130
-
交叉反应
- 人, 大鼠
-
预测反应
- Mouse,Rabbit
-
纯化方法
- Purified by Protein A.
-
免疫原
- KLH conjugated synthetic peptide derived from human Mannose-binding protein C
-
亚型
- IgG
-
-
-
-
应用备注
-
ELISA 1:500-1000
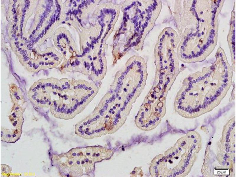
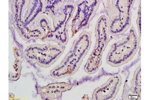
IHC-P 1:200-400
IHC-F 1:100-500
IF()
ICC 1:100-500 -
限制
- 仅限研究用
-
-
-
状态
- Liquid
-
浓度
- 1 μg/μL
-
缓冲液
- 0.01M TBS( pH 7.4) with 1 % BSA, 0.02 % Proclin300 and 50 % Glycerol.
-
储存液
- ProClin
-
注意事项
- This product contains ProClin: a POISONOUS AND HAZARDOUS SUBSTANCE, which should be handled by trained staff only.
-
储存条件
- 4 °C,-20 °C
-
储存方法
- Shipped at 4°C. Store at -20°C for one year. Avoid repeated freeze/thaw cycles.
-
有效期
- 12 months
-
-
- MBP/MBL (Mannan Binding Protein/Mannan Binding Lectin (MBP/MBL))
-
别名
- Mannan Binding Lectin
-
背景
-
Synonyms: MBL, MBP, MBP1, MBPD, MBL2D, MBP-C, COLEC1, HSMBPC, Mannose-binding protein C, Collectin-1, Mannan-binding protein, Mannose-binding lectin, MBL2
Background: Calcium-dependent lectin involved in innate immune defense. Binds mannose, fucose and N-acetylglucosamine on different microorganisms and activates the lectin complement pathway. Binds to late apoptotic cells, as well as to apoptotic blebs and to necrotic cells, but not to early apoptotic cells, facilitating their uptake by macrophages. May bind DNA.
-
基因ID
- 4153
-
UniProt
- P11226
抗原
-