电话:
+86 (0512) 65829739
传真:
+86 (010) 6788 5057
电子邮件:
orders@antibodies-online.cn

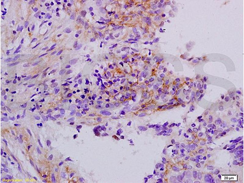
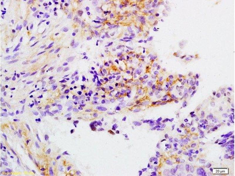
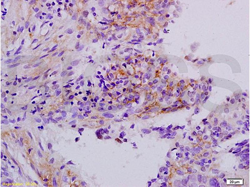
APOH 抗体 (AA 281-345)

The 兔 多克隆 anti-APOH antibody is suitable to detect APOH in samples from 人, 小鼠 和 大鼠. It has been validated for WB, ELISA, IHC (p), IF (p), IF (cc) 和 IHC (fro).
产品编号 ABIN731483
发货至: 中国
Contact our Customer Service for availability and price in your country. Contact Info

Our Local Distributor

中国
北京 101111
No. 88 KeChuang 6th Street
Beijing Economic Technological Development Area
Room 801-803
4A Biotech Co.,Ltd.
Tel +86 (0512) 65829739 传真 +86 (010) 6788 5057

Quick Overview for APOH 抗体 (AA 281-345) (ABIN731483)

抗原

See all APOH 抗体
APOH (Apolipoprotein H (Beta-2-Glycoprotein I) (APOH))

适用

  • 85
  • 42
  • 36
  • 10
  • 7
  • 6
  • 4
  • 2
  • 2
  • 2
  • 1
  • 1
人, 小鼠, 大鼠

宿主

  • 76
  • 20
  • 9
  • 1

克隆类型

  • 79
  • 27
多克隆

标记

  • 51
  • 16
  • 9
  • 5
  • 2
  • 2
  • 2
  • 2
  • 2
  • 2
  • 1
  • 1
  • 1
  • 1
  • 1
  • 1
  • 1
  • 1
  • 1
  • 1
  • 1
  • 1
  • 1
This APOH antibody is un-conjugated

应用范围

  • 84
  • 34
  • 30
  • 27
  • 24
  • 16
  • 12
  • 12
  • 8
  • 6
  • 5
  • 3
  • 3
  • 3
  • 3
  • 2
  • 1
  • 1
  • 1
Western Blotting (WB), ELISA, Immunohistochemistry (Paraffin-embedded Sections) (IHC (p)), Immunofluorescence (Paraffin-embedded Sections) (IF (p)), Immunofluorescence (Cultured Cells) (IF (cc)), Immunohistochemistry (Frozen Sections) (IHC (fro))
You are here: