电话:
+86 (0512) 65829739
传真:
+86 (010) 6788 5057
电子邮件:
orders@antibodies-online.cn

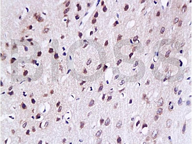
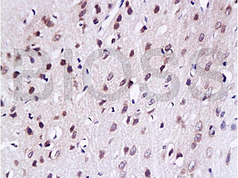
RPSA/Laminin Receptor 抗体 (AA 101-200)

This 兔 多克隆 antibody specifically detects RPSA/Laminin Receptor in WB, ELISA, FACS, IHC (p), IHC (fro), IF (cc) 和 IF (p). It exhibits reactivity toward 人, 小鼠 和 大鼠.It has been mentioned in 1 publication
产品编号 ABIN729583
发货至: 中国
Contact our Customer Service for availability and price in your country. Contact Info

Our Local Distributor

中国
北京 101111
No. 88 KeChuang 6th Street
Beijing Economic Technological Development Area
Room 801-803
4A Biotech Co.,Ltd.
Tel +86 (0512) 65829739 传真 +86 (010) 6788 5057

Quick Overview for RPSA/Laminin Receptor 抗体 (AA 101-200) (ABIN729583)

抗原

See all RPSA/Laminin Receptor (RPSA) 抗体
RPSA/Laminin Receptor (RPSA) (Ribosomal Protein SA (RPSA))

适用

  • 86
  • 44
  • 29
  • 7
  • 6
  • 5
  • 5
  • 4
  • 4
  • 4
  • 4
  • 4
  • 3
  • 3
  • 2
  • 2
  • 1
人, 小鼠, 大鼠

宿主

  • 68
  • 22

克隆类型

  • 45
  • 44
多克隆

标记

  • 46
  • 7
  • 4
  • 4
  • 4
  • 4
  • 4
  • 4
  • 2
  • 2
  • 1
  • 1
  • 1
  • 1
  • 1
  • 1
  • 1
  • 1
  • 1
This RPSA/Laminin Receptor antibody is un-conjugated

应用范围

  • 52
  • 29
  • 26
  • 23
  • 20
  • 18
  • 16
  • 13
  • 3
  • 2
  • 2
  • 1
  • 1
  • 1
  • 1
  • 1
Western Blotting (WB), ELISA, Flow Cytometry (FACS), Immunohistochemistry (Paraffin-embedded Sections) (IHC (p)), Immunohistochemistry (Frozen Sections) (IHC (fro)), Immunofluorescence (Cultured Cells) (IF (cc)), Immunofluorescence (Paraffin-embedded Sections) (IF (p))
  • 抗原表位

    • 6
    • 3
    • 2
    • 2
    • 2
    • 2
    • 2
    • 1
    • 1
    • 1
    • 1
    • 1
    • 1
    • 1
    • 1
    • 1
    AA 101-200

    交叉反应

    人, 小鼠, 大鼠

    预测反应

    Dog

    纯化方法

    Purified by Protein A.

    免疫原

    KLH conjugated synthetic peptide derived from human LAMR1

    亚型

    IgG
  • 应用备注

    WB 1:300-5000
    ELISA 1:500-1000
    FCM 1:20-100
    IHC-P 1:200-400
    IHC-F 1:100-500
    IF(IHC-P) 1:50-200
    IF(IHC-F) 1:50-200
    IF(ICC) 1:50-200

    限制

    仅限研究用
  • 状态

    Liquid

    浓度

    1 μg/μL

    缓冲液

    0.01M TBS( pH 7.4) with 1 % BSA, 0.02 % Proclin300 and 50 % Glycerol.

    储存液

    ProClin

    注意事项

    This product contains ProClin: a POISONOUS AND HAZARDOUS SUBSTANCE, which should be handled by trained staff only.

    储存条件

    4 °C,-20 °C

    储存方法

    Shipped at 4°C. Store at -20°C for one year. Avoid repeated freeze/thaw cycles.

    有效期

    12 months
  • Umbaugh, Diaz-Quiñones, Neto, Shearer, Figueiredo: "A dock derived compound against laminin receptor (37 LR) exhibits anti-cancer properties in a prostate cancer cell line model." in: Oncotarget, Vol. 9, Issue 5, pp. 5958-5978, (2018) (PubMed).

  • 抗原

    RPSA/Laminin Receptor (RPSA) (Ribosomal Protein SA (RPSA))

    别名

    LAMR1

    背景

    Synonyms: 40S ribosomal protein SA, 37 kDa laminin receptor precursor, 37LRP, 37/67 kDa laminin receptor, LRP/LR, 67 kDa laminin receptor, 67LR, Colon carcinoma laminin-binding protein, Laminin receptor 1, LamR, Laminin-binding protein precursor p40, LBP/p40, Multidrug resistance-associated protein MGr1-Ag, NEM/1CHD4, RPSA, LAMBR, LAMR1

    Background: Required for the assembly and/or stability of the 40S ribosomal subunit. Required for the processing of the 20S rRNA-precursor to mature 18S rRNA in a late step of the maturation of 40S ribosomal subunits. Also functions as a cell surface receptor for laminin. Plays a role in cell adhesion to the basement membrane and in the consequent activation of signaling transduction pathways. May play a role in cell fate determination and tissue morphogenesis. Acts as a PPP1R16B-dependent substrate of PPP1CA. Also acts as a receptor for several other ligands, including the pathogenic prion protein, viruses, and bacteria.

    基因ID

    3921

    UniProt

    P08865

    途径

    Ribonucleoprotein Complex Subunit Organization, Ribosome Assembly
You are here: