电话:
+86 (0512) 65829739
传真:
+86 (010) 6788 5057
电子邮件:
orders@antibodies-online.cn

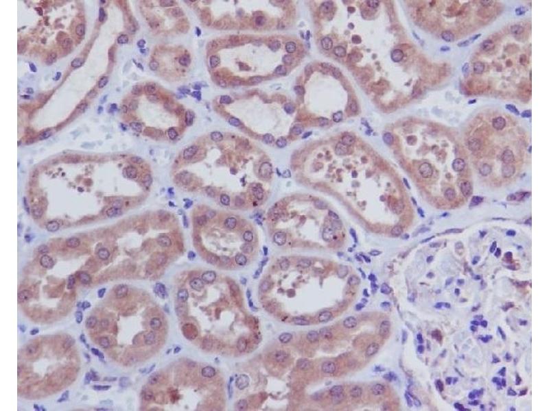
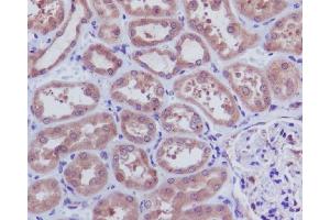
Recombinant Caspase 3 p12 抗体

The 兔 单克隆 anti-Caspase 3 p12 antibody is suitable to detect Caspase 3 p12 in samples from 人, 小鼠 和 大鼠. It has been validated for WB, IF, IHC, ICC 和 IP.
产品编号 ABIN7606912
发货至: 中国
Contact our Customer Service for availability and price in your country. Contact Info

Our Local Distributor

中国
北京 101111
No. 88 KeChuang 6th Street
Beijing Economic Technological Development Area
Room 801-803
4A Biotech Co.,Ltd.
Tel +86 (0512) 65829739 传真 +86 (010) 6788 5057

Quick Overview for Recombinant Caspase 3 p12 抗体 (ABIN7606912)

抗原

Caspase 3 p12

抗体类型

Recombinant Antibody

适用

人, 小鼠, 大鼠

宿主

  • 13

克隆类型

  • 10
  • 3
单克隆

标记

  • 4
  • 1
  • 1
  • 1
  • 1
  • 1
  • 1
  • 1
  • 1
  • 1
非结合性

应用范围

  • 13
  • 12
  • 10
  • 9
  • 2
  • 2
  • 1
  • 1
Western Blotting (WB), Immunofluorescence (IF), Immunohistochemistry (IHC), Immunocytochemistry (ICC), Immunoprecipitation (IP)

质量等级

KD Validated
  • 原理

    Caspase-3 p12 Rabbit mAb

    特异性

    Caspase-3 p12 Antibody detects endogenous levels of Caspase-3 p12

    纯化方法

    Affinity-chromatography

    免疫原

    A synthesized peptide derived from human Caspase-3 p12

    亚型

    IgG
  • 应用备注

    WB 1:500~1:1000 IHC 1:100~1:500 ICC/IF 1:50~1:200

    限制

    仅限研究用
  • 缓冲液

    phosphate buffered saline , pH 7.4, 150 mM NaCl, 0.02 % sodium azide and 50 % glycerol.

    储存液

    Sodium azide

    注意事项

    This product contains Sodium azide: a POISONOUS AND HAZARDOUS SUBSTANCE which should be handled by trained staff only.

    储存条件

    4 °C,-20 °C

    储存方法

    Store at +4°C short term. Store at -20°C long term. Avoid freeze / thaw cycle.
  • 抗原

    Caspase 3 p12

    别名

    Caspase-3 p12

    背景

    Apopain, CASP-3, CASP3, Caspase-3 subunit p12, CPP-32, Cysteine protease CPP32, Protein Yama, SCA-1, SREBP cleavage activity 1,

    分子量

    12,29,32kDa

    UniProt

    P42574
You are here: