电话:
+86 (0512) 65829739
传真:
+86 (010) 6788 5057
电子邮件:
orders@antibodies-online.cn

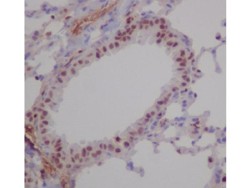
Recombinant RUNX1,RUNX2,RUNX3 抗体

The 兔 单克隆 anti-RUNX1,RUNX2,RUNX3 antibody (ABIN7606766) specifically detects RUNX1,RUNX2,RUNX3 in WB, IHC, ICC, IF, FACS 和 IP. The antibody is reactive with 人, 小鼠 和 大鼠 samples.
产品编号 ABIN7606766
发货至: 中国
Contact our Customer Service for availability and price in your country. Contact Info

Our Local Distributor

中国
北京 101111
No. 88 KeChuang 6th Street
Beijing Economic Technological Development Area
Room 801-803
4A Biotech Co.,Ltd.
Tel +86 (0512) 65829739 传真 +86 (010) 6788 5057

Quick Overview for Recombinant RUNX1,RUNX2,RUNX3 抗体 (ABIN7606766)

抗原

RUNX1,RUNX2,RUNX3

抗体类型

Recombinant Antibody

适用

人, 小鼠, 大鼠

宿主

  • 11

克隆类型

  • 11
单克隆

标记

  • 2
  • 1
  • 1
  • 1
  • 1
  • 1
  • 1
  • 1
  • 1
  • 1
非结合性

应用范围

  • 11
  • 10
  • 9
  • 9
  • 2
  • 1
  • 1
Western Blotting (WB), Immunohistochemistry (IHC), Immunocytochemistry (ICC), Immunofluorescence (IF), Flow Cytometry (FACS), Immunoprecipitation (IP)

质量等级

KD Validated
  • 原理

    RUNX1/RUNX2/RUNX3 Rabbit mAb

    特异性

    RUNX1/RUNX2/RUNX3 Antibody detects endogenous levels of total RUNX1/RUNX2/RUNX3

    纯化方法

    Affinity-chromatography

    免疫原

    A synthesized peptide derived from human RUNX1/RUNX2/RUNX3

    亚型

    IgG
  • 应用备注

    WB:1:500~1:2000 IHC:1:50~1:200 ICC/IF:1:50~1:200 IP:1:50

    限制

    仅限研究用
  • 缓冲液

    phosphate buffered saline , pH 7.4, 150 mM NaCl, 0.02 % sodium azide and 50 % glycerol.

    储存液

    Sodium azide

    注意事项

    This product contains Sodium azide: a POISONOUS AND HAZARDOUS SUBSTANCE which should be handled by trained staff only.

    储存条件

    4 °C,-20 °C

    储存方法

    Store at +4°C short term. Store at -20°C long term. Avoid freeze / thaw cycle.
  • 抗原

    RUNX1,RUNX2,RUNX3

    别名

    RUNX1/RUNX2/RUNX3

    背景

    RUNX1, AML1, RUNX2, OSF2, RUNX3, CBFA3,

    分子量

    51kDa

    UniProt

    Q01196
You are here: