电话:
+86 (0512) 65829739
传真:
+86 (010) 6788 5057
电子邮件:
orders@antibodies-online.cn

PLGF 抗体 (AA 166-221)

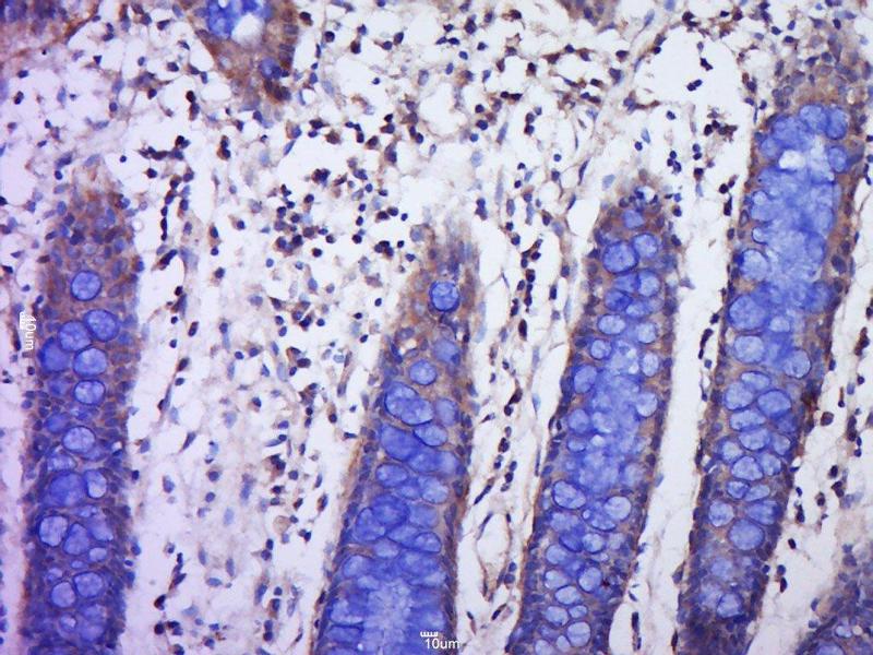
The 兔 多克隆 anti-PLGF antibody is suitable to detect PLGF in samples from 人. It has been validated for WB, ELISA, IHC (p), IF (cc), IF (p) 和 IHC (fro).
产品编号 ABIN727235
发货至: 中国
Contact our Customer Service for availability and price in your country. Contact Info

Our Local Distributor

中国
北京 101111
No. 88 KeChuang 6th Street
Beijing Economic Technological Development Area
Room 801-803
4A Biotech Co.,Ltd.
Tel +86 (0512) 65829739 传真 +86 (010) 6788 5057

Quick Overview for PLGF 抗体 (AA 166-221) (ABIN727235)

抗原

See all PLGF (PGF) 抗体
PLGF (PGF) (Placenta Growth Factor (PGF))

适用

  • 110
  • 33
  • 32
  • 1
  • 1

宿主

  • 99
  • 33
  • 3
  • 2
  • 1
  • 1

克隆类型

  • 90
  • 49
多克隆

标记

  • 65
  • 18
  • 6
  • 5
  • 2
  • 2
  • 2
  • 2
  • 2
  • 2
  • 2
  • 2
  • 2
  • 2
  • 2
  • 2
  • 2
  • 2
  • 2
  • 2
  • 2
  • 1
  • 1
  • 1
  • 1
  • 1
  • 1
  • 1
  • 1
  • 1
  • 1
  • 1
This PLGF antibody is un-conjugated

应用范围

  • 89
  • 53
  • 27
  • 13
  • 13
  • 12
  • 9
  • 9
  • 7
  • 5
  • 4
  • 3
  • 3
  • 3
  • 2
  • 2
  • 1
  • 1
Western Blotting (WB), ELISA, Immunohistochemistry (Paraffin-embedded Sections) (IHC (p)), Immunofluorescence (Cultured Cells) (IF (cc)), Immunofluorescence (Paraffin-embedded Sections) (IF (p)), Immunohistochemistry (Frozen Sections) (IHC (fro))
  • 抗原表位

    • 14
    • 12
    • 8
    • 6
    • 6
    • 4
    • 4
    • 3
    • 3
    • 3
    • 2
    • 2
    • 2
    • 2
    • 1
    • 1
    • 1
    • 1
    • 1
    • 1
    • 1
    • 1
    AA 166-221

    交叉反应

    纯化方法

    Purified by Protein A.

    免疫原

    KLH conjugated synthetic peptide derived from human PLGF

    亚型

    IgG
  • 应用备注

    WB 1:300-5000
    ELISA 1:500-1000
    IHC-P 1:200-400
    IHC-F 1:100-500
    IF(IHC-P) 1:50-200
    IF(IHC-F) 1:50-200
    IF(ICC) 1:50-200

    限制

    仅限研究用
  • 状态

    Liquid

    浓度

    1 μg/μL

    缓冲液

    0.01M TBS( pH 7.4) with 1 % BSA, 0.02 % Proclin300 and 50 % Glycerol.

    储存液

    ProClin

    注意事项

    This product contains ProClin: a POISONOUS AND HAZARDOUS SUBSTANCE, which should be handled by trained staff only.

    储存条件

    4 °C,-20 °C

    储存方法

    Shipped at 4°C. Store at -20°C for one year. Avoid repeated freeze/thaw cycles.

    有效期

    12 months
  • 抗原

    PLGF (PGF) (Placenta Growth Factor (PGF))

    别名

    PLGF

    背景

    Synonyms: PGFL, PLGF, PlGF-2, D12S1900, SHGC-10760, Placenta growth factor, PGF

    Background: Growth factor active in angiogenesis and endothelial cell growth, stimulating their proliferation and migration. It binds to the receptor FLT1/VEGFR-1. Isoform PlGF-2 binds NRP1/neuropilin-1 and NRP2/neuropilin-2 in a heparin-dependent manner. Also promotes cell tumor growth.

    基因ID

    5228

    UniProt

    P49763

    途径

    VEGFR1 Specific Signals
You are here: