电话:
+86 (0512) 65829739
传真:
+86 (010) 6788 5057
电子邮件:
orders@antibodies-online.cn

RPL11 抗体 (AA 7-178)

This 兔 多克隆 antibody specifically detects RPL11 in WB, ELISA, IF, IHC, FACS 和 ICC. It exhibits reactivity toward 人, 小鼠 和 大鼠.
产品编号 ABIN7602315
发货至: 中国
Contact our Customer Service for availability and price in your country. Contact Info

Our Local Distributor

中国
北京 101111
No. 88 KeChuang 6th Street
Beijing Economic Technological Development Area
Room 801-803
4A Biotech Co.,Ltd.
Tel +86 (0512) 65829739 传真 +86 (010) 6788 5057

Quick Overview for RPL11 抗体 (AA 7-178) (ABIN7602315)

抗原

See all RPL11 抗体
RPL11 (Ribosomal Protein L11 (RPL11))

适用

  • 47
  • 32
  • 30
  • 4
  • 3
  • 2
  • 2
  • 2
  • 2
  • 1
  • 1
  • 1
  • 1
  • 1
人, 小鼠, 大鼠

宿主

  • 58
  • 4

克隆类型

  • 59
  • 3
多克隆

标记

  • 28
  • 6
  • 4
  • 4
  • 2
  • 1
  • 1
  • 1
  • 1
  • 1
  • 1
  • 1
  • 1
  • 1
  • 1
  • 1
  • 1
  • 1
  • 1
  • 1
  • 1
  • 1
  • 1
This RPL11 antibody is un-conjugated

应用范围

  • 49
  • 28
  • 13
  • 13
  • 8
  • 8
  • 7
  • 4
  • 4
  • 3
  • 1
  • 1
Western Blotting (WB), ELISA, Immunofluorescence (IF), Immunohistochemistry (IHC), Flow Cytometry (FACS), Immunocytochemistry (ICC)
  • 抗原表位

    • 15
    • 9
    • 8
    • 6
    • 5
    • 2
    • 2
    • 1
    • 1
    • 1
    • 1
    AA 7-178

    原理

    Anti-RPL11 Antibody

    交叉反应 (详细)

    No cross-reactivity with other proteins.

    产品特性

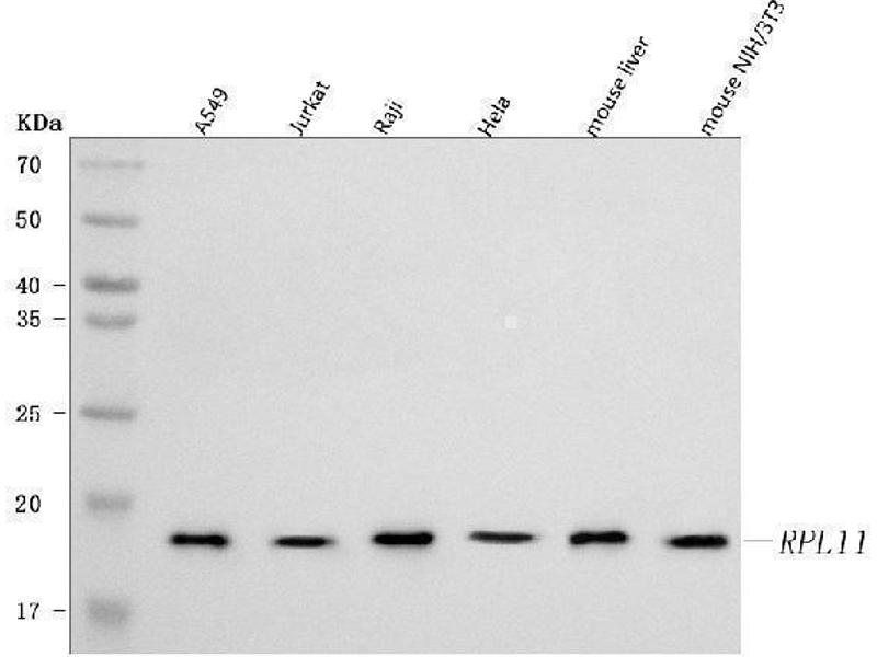
    Anti-RPL11 Antibody (ABIN7602315). Tested in ELISA, Flow Cytometry, IF, IHC, ICC, WB applications. This antibody reacts with Human, Mouse, Rat. This is a premium antibody that guarantees superior quality, high affinity, and strong signals with minimal background in Western blot applications.

    纯化方法

    Immunogen affinity purified.

    免疫原

    E.coli-derived human RPL11 recombinant protein (Position: E7-K178).

    亚型

    IgG
  • 应用备注

    Western blot, 0.25-0.5 μg/mL, Human, Mouse
    Immunohistochemistry(Paraffin-embedded Section), 2-5 μg/mL, Human, Mouse, Rat
    Immunocytochemistry/Immunofluorescence, 5 μg/mL, Human
    Flow Cytometry (Fixed), 1-3 μg/1x106 cells, Human
    ELISA, 0.1-0.5 μg/mL, -

    限制

    仅限研究用
  • 状态

    Lyophilized

    溶解方式

    Adding 0.2 mL of distilled water will yield a concentration of 500 μg/mL.

    浓度

    500 μg/mL

    缓冲液

    Each vial contains 4 mg Trehalose, 0.9 mg NaCl, 0.2 mg Na2HPO4.

    储存条件

    4 °C,-20 °C

    储存方法

    At -20°C for one year from date of receipt. After reconstitution, at 4°C for one month.
    It can also be aliquotted and stored frozen at -20°C for six months. Avoid repeated freezing and thawing.
  • 抗原

    RPL11 (Ribosomal Protein L11 (RPL11))

    别名

    RPL11

    背景

    Synonyms: Exportin-5,Exp5,Ran-binding protein 21,XPO5,KIAA1291, RANBP21,

    Tissue Specificity: Expressed in heart, brain, placenta, lung, skeletal muscle, kidney and pancreas. .

    Background: 60S ribosomal protein L11 is a protein that in humans is encoded by the RPL11 gene. Ribosomes, the organelles that catalyze protein synthesis, consist of a small 40S subunit and a large 60S subunit. Together these subunits are composed of 4 RNA species and approximately 80 structurally distinct proteins. This gene encodes a ribosomal protein that is a component of the 60S subunit. The protein belongs to the L5P family of ribosomal proteins. It is located in the cytoplasm. The protein probably associates with the 5S rRNA. Alternatively spliced transcript variants encoding different isoforms have been found for this gene. As is typical for genes encoding ribosomal proteins, there are multiple processed pseudogenes of this gene dispersed through the genome.

    分子量

    18 kDa

    基因ID

    6135

    UniProt

    P62913
You are here: