电话:
+86 (0512) 65829739
传真:
+86 (010) 6788 5057
电子邮件:
orders@antibodies-online.cn

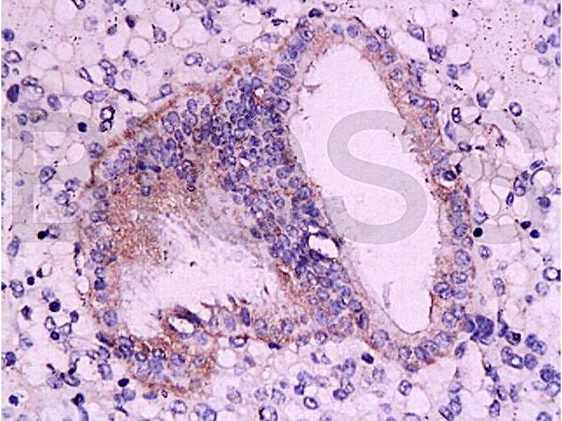
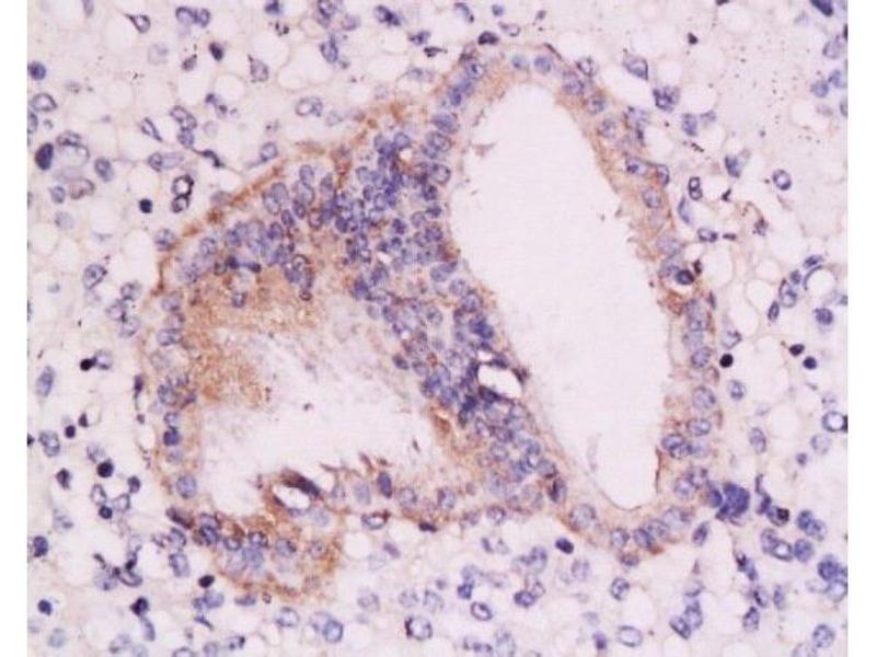
Retinoic Acid Receptor alpha 抗体 (AA 361-462)

The 兔 多克隆 anti-Retinoic Acid Receptor alpha antibody is suitable to detect Retinoic Acid Receptor alpha in samples from 人 和 大鼠. It has been validated for ELISA, IHC (p), IF (cc), IF (p) 和 IHC (fro).
产品编号 ABIN726860
发货至: 中国
Contact our Customer Service for availability and price in your country. Contact Info

Our Local Distributor

中国
北京 101111
No. 88 KeChuang 6th Street
Beijing Economic Technological Development Area
Room 801-803
4A Biotech Co.,Ltd.
Tel +86 (0512) 65829739 传真 +86 (010) 6788 5057

Quick Overview for Retinoic Acid Receptor alpha 抗体 (AA 361-462) (ABIN726860)

抗原

See all Retinoic Acid Receptor alpha (RARA) 抗体
Retinoic Acid Receptor alpha (RARA) (Retinoic Acid Receptor, alpha (RARA))

适用

  • 98
  • 49
  • 41
  • 5
  • 5
  • 4
  • 3
  • 2
  • 2
  • 1
  • 1
  • 1
人, 大鼠

宿主

  • 85
  • 17
  • 1

克隆类型

  • 68
  • 35
多克隆

标记

  • 57
  • 6
  • 3
  • 3
  • 3
  • 3
  • 3
  • 3
  • 3
  • 3
  • 2
  • 1
  • 1
  • 1
  • 1
  • 1
  • 1
  • 1
  • 1
  • 1
  • 1
  • 1
  • 1
  • 1
  • 1
This Retinoic Acid Receptor alpha antibody is un-conjugated

应用范围

  • 71
  • 39
  • 35
  • 22
  • 19
  • 13
  • 12
  • 12
  • 11
  • 9
  • 2
  • 2
  • 1
  • 1
  • 1
  • 1
  • 1
  • 1
ELISA, Immunohistochemistry (Paraffin-embedded Sections) (IHC (p)), Immunofluorescence (Cultured Cells) (IF (cc)), Immunofluorescence (Paraffin-embedded Sections) (IF (p)), Immunohistochemistry (Frozen Sections) (IHC (fro))
  • 抗原表位

    • 14
    • 12
    • 8
    • 8
    • 6
    • 4
    • 3
    • 3
    • 3
    • 2
    • 2
    • 2
    • 2
    • 2
    • 1
    • 1
    • 1
    • 1
    • 1
    • 1
    • 1
    • 1
    • 1
    AA 361-462

    交叉反应

    人, 大鼠

    预测反应

    Mouse

    纯化方法

    Purified by Protein A.

    免疫原

    OVA conjugated synthetic peptide derived from mouse Retinoic acid Receptor Alpha

    亚型

    IgG
  • 应用备注

    ELISA 1:500-1000
    IHC-P 1:200-400
    IHC-F 1:100-500
    IF(IHC-P) 1:50-200
    IF(IHC-F) 1:50-200
    IF(ICC) 1:50-200

    限制

    仅限研究用
  • 状态

    Liquid

    浓度

    1 μg/μL

    缓冲液

    0.01M TBS( pH 7.4) with 1 % BSA, 0.02 % Proclin300 and 50 % Glycerol.

    储存液

    ProClin

    注意事项

    This product contains ProClin: a POISONOUS AND HAZARDOUS SUBSTANCE, which should be handled by trained staff only.

    储存条件

    4 °C,-20 °C

    储存方法

    Shipped at 4°C. Store at -20°C for one year. Avoid repeated freeze/thaw cycles.

    有效期

    12 months
  • 抗原

    Retinoic Acid Receptor alpha (RARA) (Retinoic Acid Receptor, alpha (RARA))

    别名

    RAR alpha

    背景

    Synonyms: RAR, Nr1b1, RARalpha1, Retinoic acid receptor alpha, RAR-alpha, Nuclear receptor subfamily 1 group B member 1, Rara

    Background: Receptor for retinoic acid. Retinoic acid receptors bind as heterodimers to their target response elements in response to their ligands, all-trans or 9-cis retinoic acid, and regulate gene expression in various biological processes. The RXR/RAR heterodimers bind to the retinoic acid response elements (RARE) composed of tandem 5'-AGGTCA-3' sites known as DR1-DR5. In the absence of ligand, the RXR-RAR heterodimers associate with a multiprotein complex containing transcription corepressors that induce histone acetylation, chromatin condensation and transcriptional suppression. On ligand binding, the corepressors dissociate from the receptors and associate with the coactivators leading to transcriptional activation. Regulates expression of target genes in a ligand-dependent manner by recruiting chromatin complexes containing KMT2E/MLL5. Mediates retinoic acid-induced granulopoiesis. RARA plays an essential role in the regulation of retinoic acid-induced germ cell development during spermatogenesis. Has a role in the survival of early spermatocytes at the beginning prophase of meiosis. In Sertoli cells, may promote the survival and development of early meiotic prophase spermatocytes. In concert with RARG, required for skeletal growth, matrix homeostasis and growth plate function.

    基因ID

    19401

    UniProt

    P11416

    途径

    Nuclear Receptor Transcription Pathway, Retinoic Acid Receptor Signaling Pathway, Intracellular Steroid Hormone Receptor Signaling Pathway, Steroid Hormone Mediated Signaling Pathway, Cellular Response to Molecule of Bacterial Origin, Positive Regulation of Immune Effector Process, S100 Proteins
You are here: