电话:
+86 (0512) 65829739
传真:
+86 (010) 6788 5057
电子邮件:
orders@antibodies-online.cn

ACTN2 抗体 (AA 567-696)

The 兔 多克隆 anti-ACTN2 antibody is suitable to detect ACTN2 in samples from 人, 小鼠 和 大鼠. It has been validated for WB, IHC, ELISA 和 FACS.
产品编号 ABIN7602055
发货至: 中国
Contact our Customer Service for availability and price in your country. Contact Info

Our Local Distributor

中国
北京 101111
No. 88 KeChuang 6th Street
Beijing Economic Technological Development Area
Room 801-803
4A Biotech Co.,Ltd.
Tel +86 (0512) 65829739 传真 +86 (010) 6788 5057

Quick Overview for ACTN2 抗体 (AA 567-696) (ABIN7602055)

抗原

See all ACTN2 抗体
ACTN2 (Actinin, alpha 2 (ACTN2))

适用

  • 105
  • 79
  • 55
  • 8
  • 6
  • 4
  • 4
  • 4
  • 4
  • 4
  • 3
  • 2
  • 2
  • 2
人, 小鼠, 大鼠

宿主

  • 97
  • 38

克隆类型

  • 70
  • 65
多克隆

标记

  • 53
  • 12
  • 5
  • 4
  • 4
  • 4
  • 4
  • 4
  • 4
  • 3
  • 3
  • 3
  • 3
  • 3
  • 3
  • 3
  • 3
  • 2
  • 2
  • 1
  • 1
  • 1
  • 1
  • 1
  • 1
  • 1
  • 1
  • 1
  • 1
  • 1
  • 1
  • 1
This ACTN2 antibody is un-conjugated

应用范围

  • 105
  • 72
  • 28
  • 24
  • 17
  • 14
  • 13
  • 13
  • 13
  • 11
  • 4
  • 3
  • 3
  • 1
  • 1
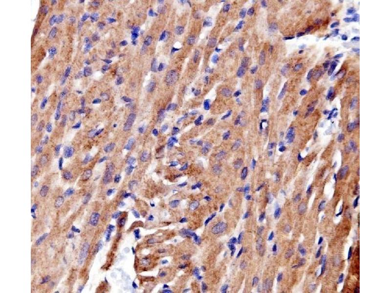
Western Blotting (WB), Immunohistochemistry (IHC), ELISA, Flow Cytometry (FACS)
  • 抗原表位

    • 35
    • 15
    • 9
    • 9
    • 7
    • 4
    • 4
    • 2
    • 2
    • 1
    • 1
    • 1
    • 1
    AA 567-696

    原理

    Anti-ACTN2 Antibody

    交叉反应 (详细)

    No cross-reactivity with other proteins.

    产品特性

    Anti-ACTN2 Antibody (ABIN7602055). Tested in ELISA, Flow Cytometry, IHC, WB applications. This antibody reacts with Human, Mouse, Rat. This is a premium antibody that guarantees superior quality, high affinity, and strong signals with minimal background in Western blot applications.

    纯化方法

    Immunogen affinity purified.

    免疫原

    E.coli-derived human ACTN2 recombinant protein (Position: E567-E696).

    亚型

    IgG
  • 应用备注

    Western blot, 0.25-0.5 μg/mL, Human, Mouse, Rat
    Immunohistochemistry(Paraffin-embedded Section), 2-5 μg/mL, Mouse, Rat
    Flow Cytometry (Fixed), 1-3 μg/1x106 cells, Human, Mouse
    ELISA, 0.1-0.5 μg/mL, -

    限制

    仅限研究用
  • 状态

    Lyophilized

    溶解方式

    Adding 0.2 mL of distilled water will yield a concentration of 500 μg/mL.

    浓度

    500 μg/mL

    缓冲液

    Each vial contains 4 mg Trehalose, 0.9 mg NaCl, 0.2 mg Na2HPO4.

    储存条件

    4 °C,-20 °C

    储存方法

    At -20°C for one year from date of receipt. After reconstitution, at 4°C for one month.
    It can also be aliquotted and stored frozen at -20°C for six months. Avoid repeated freezing and thawing.
  • 抗原

    ACTN2 (Actinin, alpha 2 (ACTN2))

    别名

    ACTN2

    背景

    Synonyms: Acetyl-CoA carboxylase 2, ACC-beta, Biotin carboxylase, ACACB, ACC2, ACCB

    Tissue Specificity: Widely expressed with highest levels in heart, skeletal muscle, liver, adipose tissue, mammary gland, adrenal gland and colon (PubMed:9099716). Isoform 3 is expressed in skeletal muscle, adipose tissue and liver (at protein level) (PubMed:19190759). Isoform 3 is detected at high levels in adipose tissue with lower levels in heart, liver, skeletal muscle and testis (PubMed:19190759).

    Background: Alpha-actinin 2 is a protein which in humans is encoded by the ACTN2 gene. Alpha actinins belong to the spectrin gene superfamily which represents a diverse group of cytoskeletal proteins, including the alpha and beta spectrins and dystrophins. Alpha actinin is an actin-binding protein with multiple roles in different cell types. In nonmuscle cells, the cytoskeletal isoform is found along microfilament bundles and adherens-type junctions, where it is involved in binding actin to the membrane. In contrast, skeletal, cardiac, and smooth muscle isoforms are localized to the Z-disc and analogous dense bodies, where they help anchor the myofibrillar actin filaments. This gene encodes a muscle-specific, alpha actinin isoform that is expressed in both skeletal and cardiac muscles. Several transcript variants encoding different isoforms have been found for this gene.

    分子量

    104 kDa

    基因ID

    88

    UniProt

    P35609

    途径

    Cell-Cell Junction Organization, Skeletal Muscle Fiber Development, Negative Regulation of Transporter Activity
You are here: