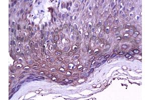
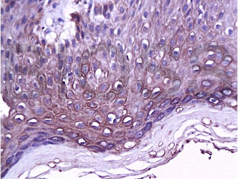
PPARD 抗体 (AA 2-100)
Our Local Distributor
北京 101111
Quick Overview for PPARD 抗体 (AA 2-100) (ABIN726845)
抗原
See all PPARD 抗体适用
宿主
克隆类型
标记
应用范围
-
-
抗原表位
- AA 2-100
-
交叉反应
- 人
-
预测反应
- Mouse,Rat
-
纯化方法
- Purified by Protein A.
-
免疫原
- KLH conjugated synthetic peptide derived from mouse PPAR-delta
-
亚型
- IgG
-
-
-
-
应用备注
-
WB 1:300-5000
ELISA 1:500-1000
FCM 1:20-100
IHC-P 1:200-400
IHC-F 1:100-500
IF(IHC-P) 1:50-200
IF(IHC-F) 1:50-200
IF(ICC) 1:50-200 -
限制
- 仅限研究用
-
-
-
状态
- Liquid
-
浓度
- 1 μg/μL
-
缓冲液
- 0.01M TBS( pH 7.4) with 1 % BSA, 0.02 % Proclin300 and 50 % Glycerol.
-
储存液
- ProClin
-
注意事项
- This product contains ProClin: a POISONOUS AND HAZARDOUS SUBSTANCE, which should be handled by trained staff only.
-
储存条件
- 4 °C,-20 °C
-
储存方法
- Shipped at 4°C. Store at -20°C for one year. Avoid repeated freeze/thaw cycles.
-
有效期
- 12 months
-
-
- PPARD (Peroxisome Proliferator-Activated Receptor delta (PPARD))
-
别名
- PPAR delta
-
背景
-
Synonyms: NUC1, NUC-1, Nr1c2, Pparb, PPAR[b], Pparb/d, PPAR-beta, PPARdelta, PPAR-delta, Peroxisome proliferator-activated receptor delta, Nuclear hormone receptor 1, Nuclear receptor subfamily 1 group C member 2, Peroxisome proliferator-activated receptor beta, Ppard
Background: Ligand-activated transcription factor. Receptor that binds peroxisome proliferators such as hypolipidemic drugs and fatty acids. Has a preference for poly-unsaturated fatty acids, such as gamma-linoleic acid and eicosapentanoic acid. Once activated by a ligand, the receptor binds to promoter elements of target genes. Regulates the peroxisomal beta-oxidation pathway of fatty acids. Functions as transcription activator for the acyl-CoA oxidase gene. Decreases expression of NPC1L1 once activated by a ligand (By similarity).
-
基因ID
- 19015
-
UniProt
- P35396
-
途径
- Nuclear Receptor Transcription Pathway, Positive Regulation of Peptide Hormone Secretion, Steroid Hormone Mediated Signaling Pathway, Monocarboxylic Acid Catabolic Process, Smooth Muscle Cell Migration, Positive Regulation of fat Cell Differentiation
抗原
-