电话:
+86 (0512) 65829739
传真:
+86 (010) 6788 5057
电子邮件:
orders@antibodies-online.cn

SNRNP40 抗体 (AA 43-357)

The 兔 多克隆 anti-SNRNP40 antibody is suitable to detect SNRNP40 in samples from 人, 小鼠 和 大鼠. It has been validated for WB, ELISA, IHC, FACS, ICC 和 IF.
产品编号 ABIN7601719
发货至: 中国
Contact our Customer Service for availability and price in your country. Contact Info

Our Local Distributor

中国
北京 101111
No. 88 KeChuang 6th Street
Beijing Economic Technological Development Area
Room 801-803
4A Biotech Co.,Ltd.
Tel +86 (0512) 65829739 传真 +86 (010) 6788 5057

Quick Overview for SNRNP40 抗体 (AA 43-357) (ABIN7601719)

抗原

See all SNRNP40 抗体
SNRNP40 (Small Nuclear Ribonucleoprotein 40kDa (U5) (SNRNP40))

适用

  • 20
  • 2
  • 2
  • 2
  • 2
  • 2
  • 2
  • 1
  • 1
  • 1
  • 1
  • 1
  • 1
人, 小鼠, 大鼠

宿主

  • 20

克隆类型

  • 20
多克隆

标记

  • 9
  • 3
  • 3
  • 3
  • 1
  • 1
This SNRNP40 antibody is un-conjugated

应用范围

Western Blotting (WB), ELISA, Immunohistochemistry (IHC), Flow Cytometry (FACS), Immunocytochemistry (ICC), Immunofluorescence (IF)
  • 抗原表位

    • 8
    • 7
    • 1
    • 1
    • 1
    • 1
    • 1
    AA 43-357

    原理

    Anti-SNRNP40 Antibody

    交叉反应 (详细)

    No cross-reactivity with other proteins

    产品特性

    Anti-SNRNP40 Antibody (ABIN7601719). Tested in ELISA, Flow Cytometry, IF, IHC, ICC, WB applications. This antibody reacts with Human, Mouse, Rat. This is a premium antibody that guarantees superior quality, high affinity, and strong signals with minimal background in Western blot applications.

    纯化方法

    Immunogen affinity purified.

    免疫原

    E.coli-derived human SNRNP40 recombinant protein (Position: A43-Q357).

    亚型

    IgG
  • 应用备注

    Western blot, 0.25-0.5 μg/mL, Human, Mouse, Rat
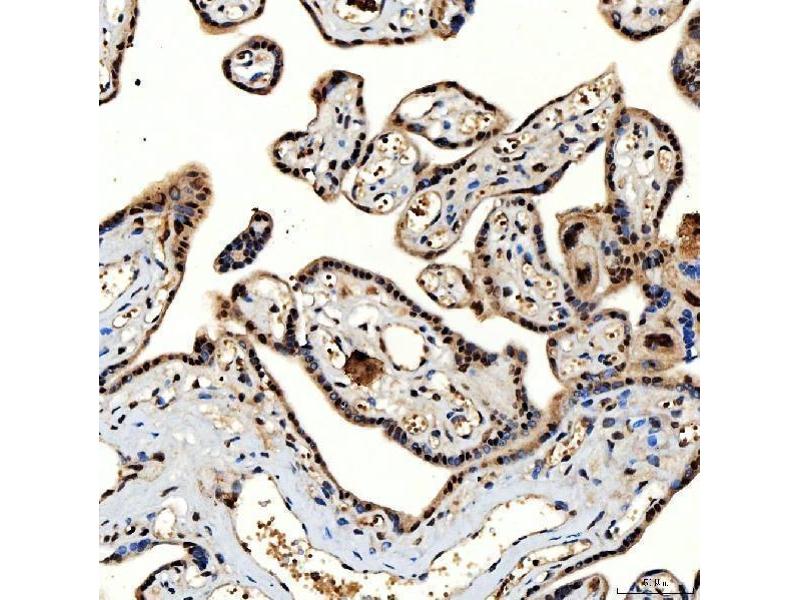
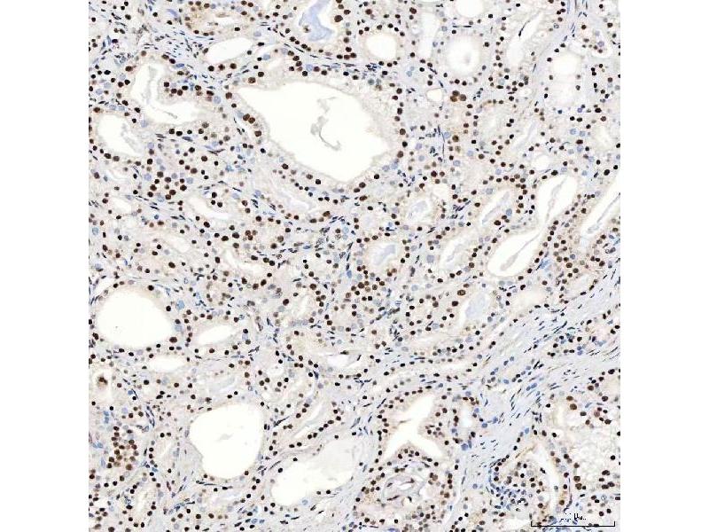
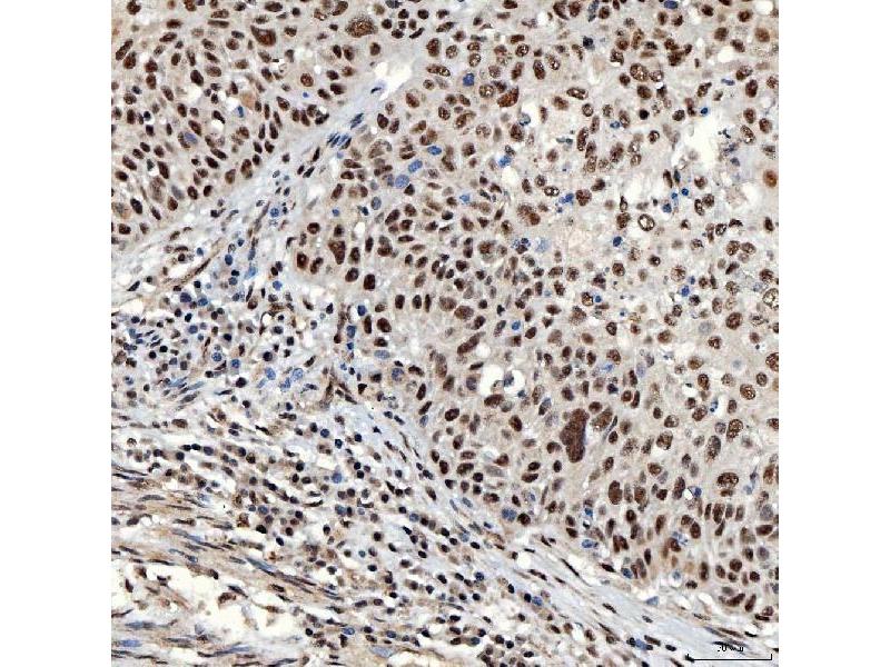
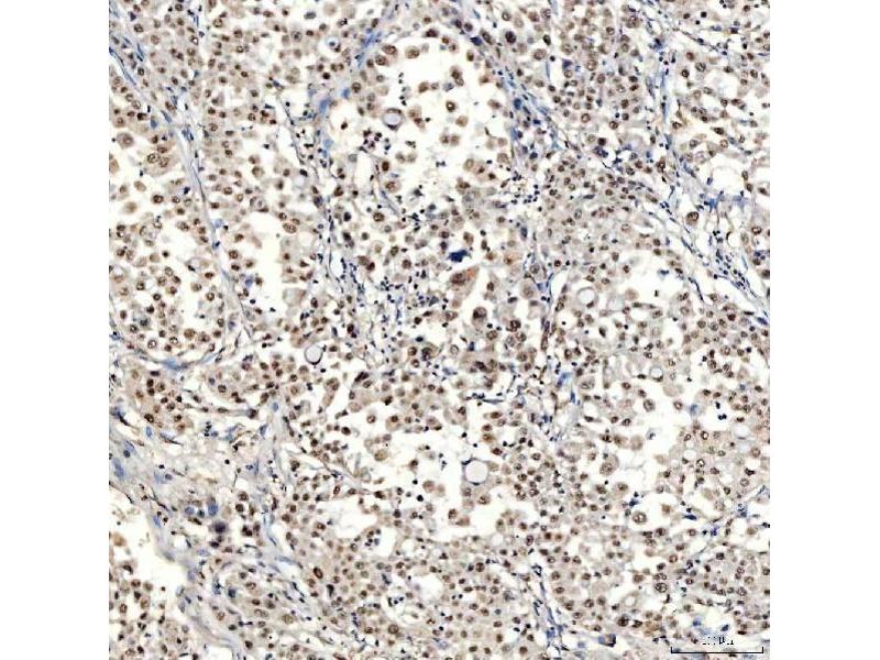
    Immunohistochemistry(Paraffin-embedded Section), 2-5 μg/mL, Human, Mouse, Rat
    Immunocytochemistry/Immunofluorescence, 5 μg/mL, Human
    Immunofluorescence, 5 μg/mL, Human
    Flow Cytometry (Fixed), 1-3 μg/1x106 cells, Human
    ELISA, 0.1-0.5 μg/mL, -

    限制

    仅限研究用
  • 状态

    Lyophilized

    溶解方式

    Adding 0.2 mL of distilled water will yield a concentration of 500 μg/mL.

    浓度

    500 μg/mL

    缓冲液

    Each vial contains 4 mg Trehalose, 0.9 mg NaCl, 0.2 mg Na2HPO4.

    储存条件

    4 °C,-20 °C

    储存方法

    At -20°C for one year from date of receipt. After reconstitution, at 4°C for one month.
    It can also be aliquotted and stored frozen at -20°C for six months. Avoid repeated freezing and thawing.
  • 抗原

    SNRNP40 (Small Nuclear Ribonucleoprotein 40kDa (U5) (SNRNP40))

    别名

    SNRNP40

    背景

    Synonyms: Alpha-amylase 1,3.2.1.1,1,4-alpha-D-glucan glucanohydrolase 1,Salivary alpha-amylase,AMY1A,AMY1,AMY1B,AMY1,AMY1C,AMY1,

    Tissue Specificity: Highly expressed in the kidney, brain and testis and to a lower extent in heart, liver and small intestine. Expressed in the lens, cornea and retina. Strongly expressed in the distal tips of the retinal neuroepithelium that form the iris and ciliary body.

    Background: This gene encodes a component of the U5 small nuclear ribonucleoprotein (snRNP) particle. The U5 snRNP is part of the spliceosome, a multiprotein complex that catalyzes the removal of introns from pre-messenger RNAs.

    分子量

    37 kDa

    基因ID

    9410
You are here: