电话:
+86 (0512) 65829739
传真:
+86 (010) 6788 5057
电子邮件:
orders@antibodies-online.cn

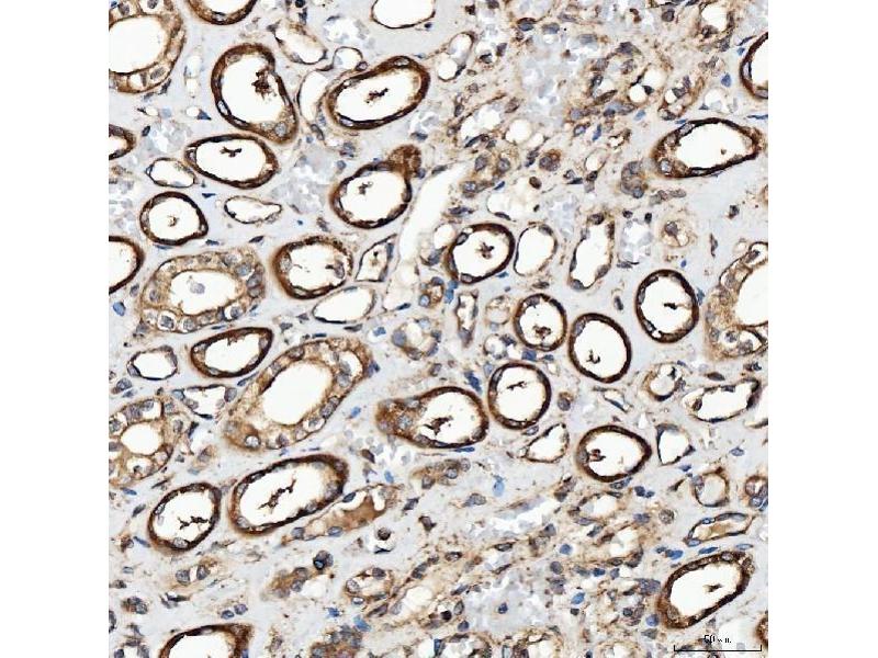
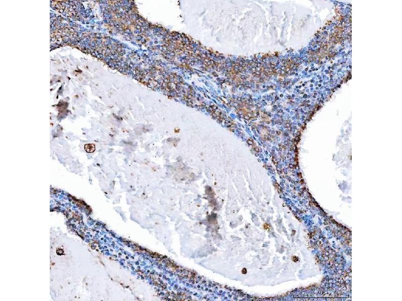
SH2D4A 抗体 (AA 42-454)

The 兔 多克隆 anti-SH2D4A antibody is suitable to detect SH2D4A in samples from 人 和 大鼠. It has been validated for WB, ELISA, IHC, IF, FACS 和 ICC.
产品编号 ABIN7601695
发货至: 中国
Contact our Customer Service for availability and price in your country. Contact Info

Our Local Distributor

中国
北京 101111
No. 88 KeChuang 6th Street
Beijing Economic Technological Development Area
Room 801-803
4A Biotech Co.,Ltd.
Tel +86 (0512) 65829739 传真 +86 (010) 6788 5057

Quick Overview for SH2D4A 抗体 (AA 42-454) (ABIN7601695)

抗原

See all SH2D4A 抗体
SH2D4A (SH2 Domain Containing 4A (SH2D4A))

适用

  • 22
  • 1
  • 1
人, 大鼠

宿主

  • 18
  • 3
  • 1

克隆类型

  • 21
  • 1
多克隆

标记

  • 17
  • 1
  • 1
  • 1
  • 1
  • 1
This SH2D4A antibody is un-conjugated

应用范围

  • 19
  • 13
  • 12
  • 6
  • 1
  • 1
  • 1
Western Blotting (WB), ELISA, Immunohistochemistry (IHC), Immunofluorescence (IF), Flow Cytometry (FACS), Immunocytochemistry (ICC)
  • 抗原表位

    • 8
    • 4
    • 3
    • 3
    • 2
    • 1
    • 1
    • 1
    • 1
    AA 42-454

    原理

    Anti-SH2D4A Antibody

    交叉反应 (详细)

    No cross-reactivity with other proteins.

    产品特性

    Anti-SH2D4A Antibody (ABIN7601695). Tested in ELISA, Flow Cytometry, IF, IHC, ICC, WB applications. This antibody reacts with Human, Rat. This is a premium antibody that guarantees superior quality, high affinity, and strong signals with minimal background in Western blot applications.

    纯化方法

    Immunogen affinity purified.

    免疫原

    E.coli-derived human SH2D4A recombinant protein (Position: R42-E454).

    亚型

    IgG
  • 应用备注

    Western blot, 0.25-0.5 μg/mL, Human, Rat
    Immunohistochemistry(Paraffin-embedded Section), 2-5 μg/mL, Human, Rat
    Immunocytochemistry/Immunofluorescence, 5 μg/mL, Human
    Flow Cytometry (Fixed), 1-3 μg/1x106 cells, Human
    ELISA, 0.1-0.5 μg/mL, -

    限制

    仅限研究用
  • 状态

    Lyophilized

    溶解方式

    Adding 0.2 mL of distilled water will yield a concentration of 500 μg/mL.

    浓度

    500 μg/mL

    缓冲液

    Each vial contains 4 mg Trehalose, 0.9 mg NaCl, 0.2 mg Na2HPO4.

    储存条件

    4 °C,-20 °C

    储存方法

    At -20°C for one year from date of receipt. After reconstitution, at 4°C for one month.
    It can also be aliquotted and stored frozen at -20°C for six months. Avoid repeated freezing and thawing.
  • 抗原

    SH2D4A (SH2 Domain Containing 4A (SH2D4A))

    别名

    SH2D4A

    背景

    Synonyms: Tudor domain-containing protein 3, TDRD3

    Tissue Specificity: Detected in heart, brain, placenta, lung, liver, skeletal muscle, kidney and pancreas.

    Background: SH2 domain-containing protein 4A is a protein that in humans is encoded by the SH2D4A gene. Using exon trapping and exon linking at chromosome 8p22 cloned SH2D4A, which they called SH2A. The deduced 454-amino acid protein contains a single SH2 domain. RT-PCR and Northern blot analysis detected ubiquitous expression of 3 SH2A transcripts, as well as aberrant expression in some cancer cell lines. Dai et al. (2002) concluded that SH2A is a docking protein that may be involved in signal transduction.

    分子量

    50 kDa

    基因ID

    63898

    UniProt

    Q9H788
You are here: