电话:
+86 (0512) 65829739
传真:
+86 (010) 6788 5057
电子邮件:
orders@antibodies-online.cn

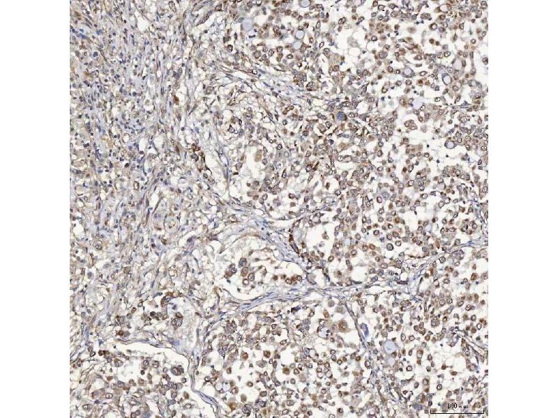
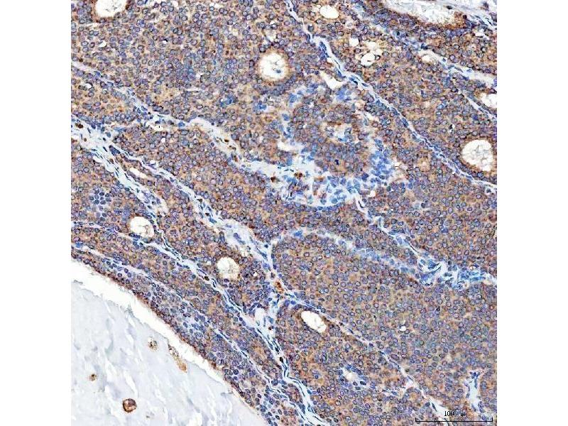
Sideroflexin 5 抗体 (AA 34-340)

This 兔 多克隆 antibody specifically detects Sideroflexin 5 in ELISA, WB, FACS 和 IHC. It exhibits reactivity toward 人, 小鼠 和 大鼠.
产品编号 ABIN7601388
发货至: 中国
Contact our Customer Service for availability and price in your country. Contact Info

Our Local Distributor

中国
北京 101111
No. 88 KeChuang 6th Street
Beijing Economic Technological Development Area
Room 801-803
4A Biotech Co.,Ltd.
Tel +86 (0512) 65829739 传真 +86 (010) 6788 5057

Quick Overview for Sideroflexin 5 抗体 (AA 34-340) (ABIN7601388)

抗原

Sideroflexin 5 (SFXN5)

适用

  • 9
  • 3
  • 3
  • 2
  • 2
  • 2
  • 2
  • 1
  • 1
  • 1
人, 小鼠, 大鼠

宿主

  • 9

克隆类型

  • 9
多克隆

标记

  • 5
  • 2
  • 1
  • 1
This Sideroflexin 5 antibody is un-conjugated

应用范围

ELISA, Western Blotting (WB), Flow Cytometry (FACS), Immunohistochemistry (IHC)
  • 抗原表位

    • 5
    • 1
    • 1
    • 1
    AA 34-340

    原理

    Anti-SFXN5 Antibody

    交叉反应 (详细)

    No cross-reactivity with other proteins.

    产品特性

    Anti-SFXN5 Antibody (ABIN7601388). Tested in ELISA, Flow Cytometry, IHC, WB applications. This antibody reacts with Human, Mouse, Rat. This is a premium antibody that guarantees superior quality, high affinity, and strong signals with minimal background in Western blot applications.

    纯化方法

    Immunogen affinity purified.

    免疫原

    E.coli-derived human SFXN5 recombinant protein (Position: Q34-L340).

    亚型

    IgG
  • 应用备注

    Western blot, 0.25-0.5 μg/mL, Mouse, Rat
    Immunohistochemistry(Paraffin-embedded Section), 2-5 μg/mL, Human, Mouse, Rat
    Flow Cytometry (Fixed), 1-3 μg/1x106 cells, Human
    ELISA, 0.1-0.5 μg/mL, -

    限制

    仅限研究用
  • 状态

    Lyophilized

    溶解方式

    Adding 0.2 mL of distilled water will yield a concentration of 500 μg/mL.

    浓度

    500 μg/mL

    缓冲液

    Each vial contains 4 mg Trehalose, 0.9 mg NaCl, 0.2 mg Na2HPO4.

    储存条件

    4 °C,-20 °C

    储存方法

    At -20°C for one year from date of receipt. After reconstitution, at 4°C for one month.
    It can also be aliquotted and stored frozen at -20°C for six months. Avoid repeated freezing and thawing.
  • 抗原

    Sideroflexin 5 (SFXN5)

    别名

    SFXN5

    背景

    Synonyms: Kelch repeat and BTB domain-containing protein 2, BTB and kelch domain-containing protein 1, KBTBD2, BKLHD1, KIAA1489

    Tissue Specificity: Detected in liver, skeletal muscle, kidney, pancreas, spleen, thyroid, testis, ovary, small intestine and colon.

    Background: Sideroflexin 5 gene (SFXN5) is located on human chromosome 2p13.2. SFXN5 protein is broadly expressed in brain, liver, kidney and other tissues. The SFXN5 (also known as BBG-TCC, SLC56A5) gene is conserved in chimpanzee, Rhesus monkey, dog, cow, mouse, rat, chicken, zebrafish, C.elegans, S.cerevisiae, etc. SFXN5 protein has cation transmembrane transporter activity and citrate transmembrane transporter activity. SFXN5 is associated with Parkinson Disease.An important paralog of this gene is SFXN3.

    分子量

    37 kDa

    基因ID

    94097
You are here: