电话:
+86 (0512) 65829739
传真:
+86 (010) 6788 5057
电子邮件:
orders@antibodies-online.cn

RPL29 抗体 (AA 27-153)

The 兔 多克隆 anti-RPL29 antibody is suitable to detect RPL29 in samples from 人, 小鼠, 大鼠 和 猴. It has been validated for WB, ELISA, IF, IHC, ICC 和 FACS.
产品编号 ABIN7600993
发货至: 中国
Contact our Customer Service for availability and price in your country. Contact Info

Our Local Distributor

中国
北京 101111
No. 88 KeChuang 6th Street
Beijing Economic Technological Development Area
Room 801-803
4A Biotech Co.,Ltd.
Tel +86 (0512) 65829739 传真 +86 (010) 6788 5057

Quick Overview for RPL29 抗体 (AA 27-153) (ABIN7600993)

抗原

RPL29 (Ribosomal Protein L29 (RPL29))

适用

人, 小鼠, 大鼠, 猴

宿主

  • 10
  • 4

克隆类型

  • 14
多克隆

标记

  • 14
This RPL29 antibody is un-conjugated

应用范围

  • 14
  • 5
  • 5
  • 3
  • 3
  • 2
  • 2
Western Blotting (WB), ELISA, Immunofluorescence (IF), Immunohistochemistry (IHC), Immunocytochemistry (ICC), Flow Cytometry (FACS)
  • 抗原表位

    • 2
    • 2
    • 2
    • 1
    • 1
    • 1
    • 1
    • 1
    AA 27-153

    原理

    Anti-RPL29 Antibody

    交叉反应 (详细)

    No cross-reactivity with other proteins.

    产品特性

    Anti-RPL29 Antibody (ABIN7600993). Tested in ELISA, Flow Cytometry, IF, IHC, ICC, WB applications. This antibody reacts with Human, Mouse, Rat, Monkey. This is a premium antibody that guarantees superior quality, high affinity, and strong signals with minimal background in Western blot applications.

    纯化方法

    Immunogen affinity purified.

    免疫原

    E.coli-derived human RPL29 recombinant protein (Position: Q27-A153).

    亚型

    IgG
  • 应用备注

    Western blot, 0.1-0.25 μg/mL, Human, Mouse, Rat, Monkey
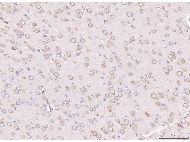
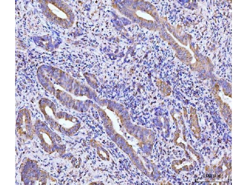
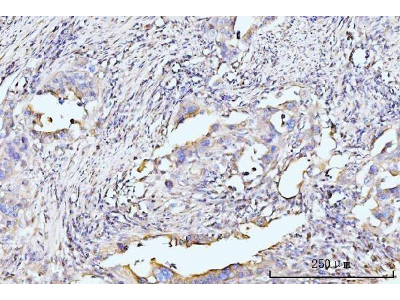
    Immunohistochemistry(Paraffin-embedded Section), 2-5 μg/mL, Human, Mouse, Rat
    Immunocytochemistry/Immunofluorescence, 5 μg/mL, Human
    Flow Cytometry (Fixed), 1-3 μg/1x106 cells, Human
    ELISA, 0.1-0.5 μg/mL, -

    限制

    仅限研究用
  • 状态

    Lyophilized

    溶解方式

    Adding 0.2 mL of distilled water will yield a concentration of 500 μg/mL.

    浓度

    500 μg/mL

    缓冲液

    Each vial contains 4 mg Trehalose, 0.9 mg NaCl, 0.2 mg Na2HPO4.

    储存条件

    4 °C,-20 °C

    储存方法

    At -20°C for one year from date of receipt. After reconstitution, at 4°C for one month.
    It can also be aliquotted and stored frozen at -20°C for six months. Avoid repeated freezing and thawing.
  • 抗原

    RPL29 (Ribosomal Protein L29 (RPL29))

    别名

    RPL29

    背景

    Synonyms: Long-chain-fatty-acid--CoA ligase 3,6.2.1.3,Long-chain acyl-CoA synthetase 3,LACS 3,ACSL3,ACS3, FACL3, LACS3,

    Tissue Specificity: Expressed in breast, ductal and invasive ductal carcinomas of the breast, sporadic colorectal adenomas and carcinomas (at protein level). Expressed in fetal brain. Expressed in lung, amygdala, eye, prostate, pancreatic and prostate cancers, head and neck tumors and embryonal tumor.

    Background: 60S ribosomal protein L29 is a protein that in humans is encoded by the RPL29 gene. Ribosomes, the organelles that catalyze protein synthesis, consist of a small 40S subunit and a large 60S subunit. Together these subunits are composed of 4 RNA species and approximately 80 structurally distinct proteins. This gene encodes a cytoplasmic ribosomal protein that is a component of the 60S subunit. The protein belongs to the L29E family of ribosomal proteins. The protein is also a peripheral membrane protein expressed on the cell surface that ly binds heparin. Although this gene was previously reported to map to 3q29-qter, it is believed that it is located at 3p21.3-p21.2. As is typical for genes encoding ribosomal proteins, there are multiple processed pseudogenes of this gene dispersed through the genome.

    分子量

    20 kDa

    基因ID

    6159

    UniProt

    P47914
You are here: