电话:
+86 (0512) 65829739
传真:
+86 (010) 6788 5057
电子邮件:
orders@antibodies-online.cn

SUCLG1 抗体 (AA 25-346)

The 兔 多克隆 anti-SUCLG1 antibody is suitable to detect SUCLG1 in samples from 人 和 大鼠. It has been validated for WB, ELISA, IHC, IF, ICC 和 FACS.
产品编号 ABIN7600906
发货至: 中国
Contact our Customer Service for availability and price in your country. Contact Info

Our Local Distributor

中国
北京 101111
No. 88 KeChuang 6th Street
Beijing Economic Technological Development Area
Room 801-803
4A Biotech Co.,Ltd.
Tel +86 (0512) 65829739 传真 +86 (010) 6788 5057

Quick Overview for SUCLG1 抗体 (AA 25-346) (ABIN7600906)

抗原

See all SUCLG1 抗体
SUCLG1 (Succinate-CoA Ligase, alpha Subunit (SUCLG1))

适用

  • 23
  • 10
  • 8
  • 4
  • 4
  • 3
  • 3
  • 3
  • 3
  • 2
  • 2
  • 2
  • 1
人, 大鼠

宿主

  • 25
  • 1

克隆类型

  • 25
  • 1
多克隆

标记

  • 22
  • 2
  • 1
  • 1
This SUCLG1 antibody is un-conjugated

应用范围

  • 21
  • 8
  • 7
  • 7
  • 5
  • 3
  • 3
  • 2
  • 2
  • 2
  • 2
  • 1
  • 1
Western Blotting (WB), ELISA, Immunohistochemistry (IHC), Immunofluorescence (IF), Immunocytochemistry (ICC), Flow Cytometry (FACS)
  • 抗原表位

    • 4
    • 3
    • 2
    • 2
    • 1
    • 1
    • 1
    • 1
    • 1
    • 1
    • 1
    AA 25-346

    原理

    Anti-SUCLG1 Antibody

    交叉反应 (详细)

    No cross-reactivity with other proteins.

    产品特性

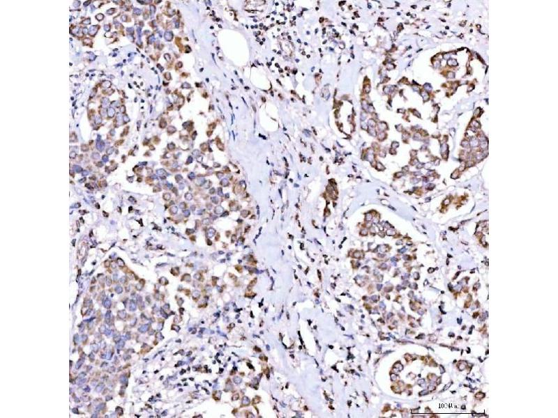
    Anti-SUCLG1 Antibody (ABIN7600906). Tested in ELISA, Flow Cytometry, IF, IHC, ICC, WB applications. This antibody reacts with Human, Rat. This is a premium antibody that guarantees superior quality, high affinity, and strong signals with minimal background in Western blot applications.

    纯化方法

    Immunogen affinity purified.

    免疫原

    E.coli-derived human SUCLG1 recombinant protein (Position: R25-K346).

    亚型

    IgG
  • 应用备注

    Western blot, 0.25-0.5 μg/mL, Human, Rat
    Immunohistochemistry(Paraffin-embedded Section), 2-5 μg/mL, Human, Rat
    Immunocytochemistry/Immunofluorescence, 5 μg/mL, Human
    Immunofluorescence, 5 μg/mL, Human
    Flow Cytometry (Fixed), 1-3 μg/1x106 cells, Human
    ELISA, 0.1-0.5 μg/mL, -

    限制

    仅限研究用
  • 状态

    Lyophilized

    溶解方式

    Adding 0.2 mL of distilled water will yield a concentration of 500 μg/mL.

    浓度

    500 μg/mL

    缓冲液

    Each vial contains 4 mg Trehalose, 0.9 mg NaCl, 0.2 mg Na2HPO4.

    储存条件

    4 °C,-20 °C

    储存方法

    At -20°C for one year from date of receipt. After reconstitution, at 4°C for one month.
    It can also be aliquotted and stored frozen at -20°C for six months. Avoid repeated freezing and thawing.
  • 抗原

    SUCLG1 (Succinate-CoA Ligase, alpha Subunit (SUCLG1))

    别名

    SUCLG1

    背景

    Synonyms: ELAV-like protein 2, ELAV-like neuronal protein 1, Hu-antigen B, HuB, Nervous system-specific RNA-binding protein Hel-N1, ELAVL2, HUB

    Tissue Specificity: Brain, neural-specific.

    Background: Succinyl-CoA ligase [GDP-forming] subunit alpha, mitochondrial is an enzyme that in humans is encoded by the SUCLG1 gene. This gene encodes the alpha subunit of the heterodimeric enzyme succinate coenzyme A ligase. This enzyme is targeted to the mitochondria and catalyzes the conversion of succinyl CoA and ADP or GDP to succinate and ATP or GTP. Mutations in this gene are the cause of the metabolic disorder fatal infantile lactic acidosis and mitochondrial DNA depletion.

    分子量

    35 kDa

    基因ID

    8802

    UniProt

    P53597
You are here: