电话:
+86 (0512) 65829739
传真:
+86 (010) 6788 5057
电子邮件:
orders@antibodies-online.cn

FIP1L1 抗体 (AA 23-558)

This 兔 多克隆 antibody specifically detects FIP1L1 in WB, IHC, IF, ELISA, ICC 和 FACS. It exhibits reactivity toward 人, 小鼠 和 大鼠.
产品编号 ABIN7600761
发货至: 中国
Contact our Customer Service for availability and price in your country. Contact Info

Our Local Distributor

中国
北京 101111
No. 88 KeChuang 6th Street
Beijing Economic Technological Development Area
Room 801-803
4A Biotech Co.,Ltd.
Tel +86 (0512) 65829739 传真 +86 (010) 6788 5057

Quick Overview for FIP1L1 抗体 (AA 23-558) (ABIN7600761)

抗原

See all FIP1L1 抗体
FIP1L1 (FIP1 Like 1 (FIP1L1))

适用

  • 28
  • 7
  • 7
  • 4
  • 4
  • 3
  • 2
  • 2
  • 2
  • 1
  • 1
  • 1
人, 小鼠, 大鼠

宿主

  • 26
  • 2

克隆类型

  • 26
  • 2
多克隆

标记

  • 14
  • 1
  • 1
  • 1
  • 1
  • 1
  • 1
  • 1
  • 1
  • 1
  • 1
  • 1
  • 1
  • 1
  • 1
This FIP1L1 antibody is un-conjugated

应用范围

  • 28
  • 13
  • 13
  • 7
  • 7
  • 6
  • 5
  • 3
  • 2
  • 1
Western Blotting (WB), Immunohistochemistry (IHC), Immunofluorescence (IF), ELISA, Immunocytochemistry (ICC), Flow Cytometry (FACS)
  • 抗原表位

    • 15
    • 1
    • 1
    • 1
    • 1
    • 1
    • 1
    • 1
    • 1
    AA 23-558

    原理

    Anti-FIP1L1 Antibody

    交叉反应 (详细)

    No cross-reactivity with other proteins.

    产品特性

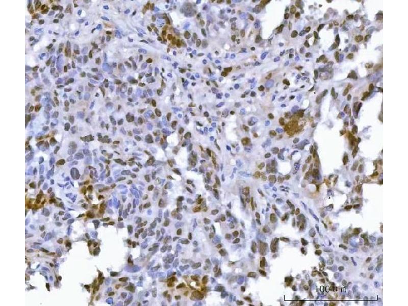
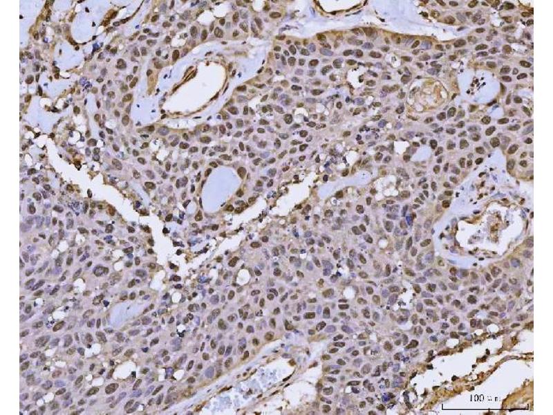
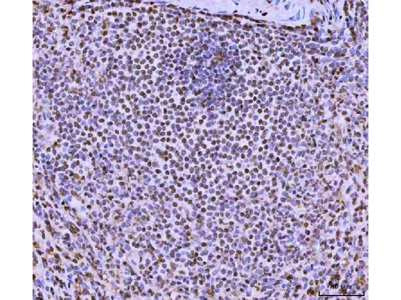
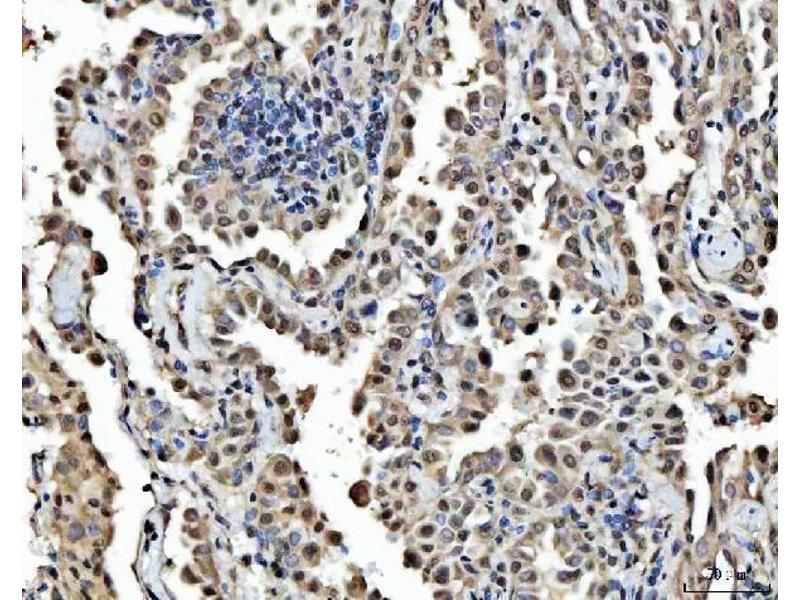
    Anti-FIP1L1 Antibody (ABIN7600761). Tested in ELISA, Flow Cytometry, IF, IHC, ICC, WB applications. This antibody reacts with Human, Mouse, Rat. This is a premium antibody that guarantees superior quality, high affinity, and strong signals with minimal background in Western blot applications.

    纯化方法

    Immunogen affinity purified.

    免疫原

    E.coli-derived human FIP1L1 recombinant protein (Position: E23-E558).

    亚型

    IgG
  • 应用备注

    Western blot, 0.25-0.5 μg/mL, Human, Mouse, Rat
    Immunohistochemistry(Paraffin-embedded Section), 2-5 μg/mL, Human
    Immunocytochemistry/Immunofluorescence, 5 μg/mL, Human
    Immunofluorescence, 5 μg/mL, Human
    Flow Cytometry (Fixed), 1-3 μg/1x106 cells, Human
    ELISA, 0.1-0.5 μg/mL, -

    限制

    仅限研究用
  • 状态

    Lyophilized

    溶解方式

    Adding 0.2 mL of distilled water will yield a concentration of 500 μg/mL.

    浓度

    500 μg/mL

    缓冲液

    Each vial contains 4 mg Trehalose, 0.9 mg NaCl, 0.2 mg Na2HPO4.

    储存条件

    4 °C,-20 °C

    储存方法

    At -20°C for one year from date of receipt. After reconstitution, at 4°C for one month.
    It can also be aliquotted and stored frozen at -20°C for six months. Avoid repeated freezing and thawing.
  • 抗原

    FIP1L1 (FIP1 Like 1 (FIP1L1))

    别名

    FIP1L1

    背景

    Synonyms: Probable ATP-dependent RNA helicase DDX4, DEAD box protein 4, Vasa homolog, DDX4, VASA

    Tissue Specificity: Expressed only in ovary and testis. Expressed in migratory primordial germ cells in the region of the gonadal ridge in both sexes.

    Background: Factor interacting with PAPOLA and CPSF1 (i.e, FIP1L1, also termed Pre-mRNA 3'-end-processing factor FIP1) is a protein that in humans is encoded by the FIP1L1 gene (also known as Rhe, FIP1, and hFip1). This gene encodes a subunit of the CPSF (cleavage and polyadenylation specificity factor) complex that polyadenylates the 3' end of mRNA precursors. This gene, the homolog of yeast Fip1 (factor interacting with PAP), binds to U-rich sequences of pre-mRNA and stimulates poly(A) polymerase activity. Its N-terminus contains a PAP-binding site and its C-terminus an RNA-binding domain. An interstitial chromosomal deletion on 4q12 creates an in-frame fusion of human genes FIP1L1 and PDGFRA (platelet-derived growth factor receptor, alpha). The FIP1L1-PDGFRA fusion gene encodes a constitutively activated tyrosine kinase that joins the first 233 amino acids of FIP1L1 to the last 523 amino acids of PDGFRA. This gene fusion and chromosomal deletion is the cause of some forms of idiopathic hypereosinophilic syndrome (HES). This syndrome, recently reclassified as chronic eosinophilic leukemia (CEL), is responsive to treatment with tyrosine kinase inhibitors. Alternative splicing results in multiple transcript variants encoding distinct isoforms.

    分子量

    72 kDa

    基因ID

    81608
You are here: