电话:
+86 (0512) 65829739
传真:
+86 (010) 6788 5057
电子邮件:
orders@antibodies-online.cn

SELENBP1 抗体 (AA 23-462)

This 兔 多克隆 antibody specifically detects SELENBP1 in WB, IHC, ELISA, IF 和 FACS. It exhibits reactivity toward 人, 小鼠 和 大鼠.
产品编号 ABIN7600755
发货至: 中国
Contact our Customer Service for availability and price in your country. Contact Info

Our Local Distributor

中国
北京 101111
No. 88 KeChuang 6th Street
Beijing Economic Technological Development Area
Room 801-803
4A Biotech Co.,Ltd.
Tel +86 (0512) 65829739 传真 +86 (010) 6788 5057

Quick Overview for SELENBP1 抗体 (AA 23-462) (ABIN7600755)

抗原

See all SELENBP1 抗体
SELENBP1 (Selenium Binding Protein 1 (SELENBP1))

适用

  • 58
  • 37
  • 31
  • 3
  • 3
  • 3
  • 3
  • 3
  • 2
  • 2
  • 2
  • 1
  • 1
人, 小鼠, 大鼠

宿主

  • 52
  • 6

克隆类型

  • 52
  • 6
多克隆

标记

  • 27
  • 3
  • 3
  • 3
  • 3
  • 2
  • 1
  • 1
  • 1
  • 1
  • 1
  • 1
  • 1
  • 1
  • 1
  • 1
  • 1
  • 1
  • 1
  • 1
  • 1
  • 1
  • 1
This SELENBP1 antibody is un-conjugated

应用范围

  • 51
  • 18
  • 14
  • 13
  • 13
  • 8
  • 4
  • 3
  • 3
  • 3
  • 2
  • 1
  • 1
Western Blotting (WB), Immunohistochemistry (IHC), ELISA, Immunofluorescence (IF), Flow Cytometry (FACS)
  • 抗原表位

    • 15
    • 7
    • 7
    • 5
    • 3
    • 3
    • 2
    • 1
    • 1
    AA 23-462

    原理

    Anti-SBP/SELENBP1 Antibody

    交叉反应 (详细)

    No cross-reactivity with other proteins.

    产品特性

    Anti-SBP/SELENBP1 Antibody (ABIN7600755). Tested in ELISA, Flow Cytometry, IF, IHC, WB applications. This antibody reacts with Human, Mouse, Rat. This is a premium antibody that guarantees superior quality, high affinity, and strong signals with minimal background in Western blot applications.

    纯化方法

    Immunogen affinity purified.

    免疫原

    E.coli-derived human SBP/SELENBP1 recombinant protein (Position: R23-P462).

    亚型

    IgG
  • 应用备注

    Western blot, 0.1-0.25 μg/mL, Human, Mouse, Rat
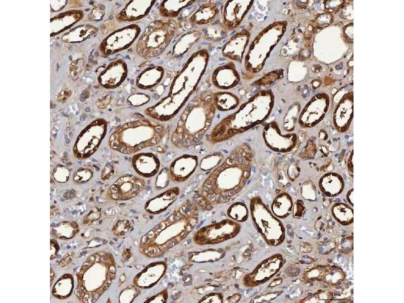
    Immunohistochemistry(Paraffin-embedded Section), 2-5 μg/mL, Human, Rat
    Immunofluorescence, 5 μg/mL, Human
    Flow Cytometry (Fixed), 1-3 μg/1x106 cells, Human
    ELISA, 0.1-0.5 μg/mL, -

    限制

    仅限研究用
  • 状态

    Lyophilized

    溶解方式

    Adding 0.2 mL of distilled water will yield a concentration of 500 μg/mL.

    浓度

    500 μg/mL

    缓冲液

    Each vial contains 4 mg Trehalose, 0.9 mg NaCl, 0.2 mg Na2HPO4.

    储存条件

    4 °C,-20 °C

    储存方法

    At -20°C for one year from date of receipt. After reconstitution, at 4°C for one month.
    It can also be aliquotted and stored frozen at -20°C for six months. Avoid repeated freezing and thawing.
  • 抗原

    SELENBP1 (Selenium Binding Protein 1 (SELENBP1))

    别名

    SELENBP1

    背景

    Synonyms: Interleukin-25, IL-25, Interleukin-17E, IL-17E, IL25, IL17E, UNQ3120/PRO10272

    Tissue Specificity: Expressed at low levels in several tissues, including brain, kidney, lung, prostate, testis, spinal cord, adrenal gland, and trachea.

    Background: Selenium-binding protein 1, also known as SELENBP1 or SBP is a protein that in humans is encoded by the SLELNBP1 gene. This gene is mapped to 1q21.3. This gene encodes a member of the selenium-binding protein family. Selenium is an essential nutrient that exhibits potent anticarcinogenic properties, and deficiency of selenium may cause certain neurologic diseases. The effects of selenium in preventing cancer and neurologic diseases may be mediated by selenium-binding proteins, and decreased expression of this gene may be associated with several types of cancer. The encoded protein may play a selenium-dependent role in ubiquitination/deubiquitination-mediated protein degradation.

    分子量

    52-56 kDa

    基因ID

    8991

    UniProt

    Q13228

    途径

    Brown Fat Cell Differentiation
You are here: