电话:
+86 (0512) 65829739
传真:
+86 (010) 6788 5057
电子邮件:
orders@antibodies-online.cn

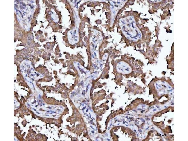
MRPS22 抗体 (AA 21-329)

The 兔 多克隆 anti-MRPS22 antibody (ABIN7600613) specifically detects MRPS22 in WB, ELISA, IHC, IF, ICC 和 FACS. The antibody is reactive with 人 samples.
产品编号 ABIN7600613
发货至: 中国
Contact our Customer Service for availability and price in your country. Contact Info

Our Local Distributor

中国
北京 101111
No. 88 KeChuang 6th Street
Beijing Economic Technological Development Area
Room 801-803
4A Biotech Co.,Ltd.
Tel +86 (0512) 65829739 传真 +86 (010) 6788 5057

Quick Overview for MRPS22 抗体 (AA 21-329) (ABIN7600613)

抗原

See all MRPS22 抗体
MRPS22 (Mitochondrial Ribosomal Protein S22 (MRPS22))

适用

  • 37
  • 7
  • 3
  • 3
  • 2
  • 1

宿主

  • 36
  • 2

克隆类型

  • 36
  • 2
多克隆

标记

  • 18
  • 1
  • 1
  • 1
  • 1
  • 1
  • 1
  • 1
  • 1
  • 1
  • 1
  • 1
  • 1
  • 1
  • 1
  • 1
  • 1
  • 1
  • 1
  • 1
  • 1
This MRPS22 antibody is un-conjugated

应用范围

  • 29
  • 16
  • 13
  • 13
  • 11
  • 6
  • 4
  • 3
  • 2
  • 1
Western Blotting (WB), ELISA, Immunohistochemistry (IHC), Immunofluorescence (IF), Immunocytochemistry (ICC), Flow Cytometry (FACS)
  • 抗原表位

    • 15
    • 4
    • 1
    • 1
    • 1
    • 1
    • 1
    • 1
    • 1
    • 1
    AA 21-329

    原理

    Anti-MRPS22 Antibody

    交叉反应 (详细)

    No cross-reactivity with other proteins.

    产品特性

    Anti-MRPS22 Antibody (ABIN7600613). Tested in ELISA, Flow Cytometry, IF, IHC, ICC, WB applications. This antibody reacts with Human. This is a premium antibody that guarantees superior quality, high affinity, and strong signals with minimal background in Western blot applications.

    纯化方法

    Immunogen affinity purified.

    免疫原

    E.coli-derived human MRPS22 recombinant protein (Position: E21-K329).

    亚型

    IgG
  • 应用备注

    Western blot, 0.25-0.5 μg/mL, Human
    Immunohistochemistry(Paraffin-embedded Section), 2-5 μg/mL, Human
    Immunocytochemistry/Immunofluorescence, 5 μg/mL, Human
    Flow Cytometry (Fixed), 1-3 μg/1x10^6 cells, Human
    ELISA, 0.1-0.5 μg/mL, -

    限制

    仅限研究用
  • 状态

    Lyophilized

    溶解方式

    Adding 0.2 mL of distilled water will yield a concentration of 500 μg/mL.

    浓度

    500 μg/mL

    缓冲液

    Each vial contains 4 mg Trehalose, 0.9 mg NaCl, 0.2 mg Na2HPO4.

    储存条件

    4 °C,-20 °C

    储存方法

    At -20°C for one year from date of receipt. After reconstitution, at 4°C for one month.
    It can also be aliquotted and stored frozen at -20°C for six months. Avoid repeated freezing and thawing.
  • 抗原

    MRPS22 (Mitochondrial Ribosomal Protein S22 (MRPS22))

    别名

    MRPS22

    背景

    Synonyms: Pre T-cell antigen receptor alpha, pT-alpha, pTa, pT-alpha-TCR, PTCRA

    Tissue Specificity: Expressed in immature but not mature T-cells. Also found in CD34+ cells from peripheral blood, CD34+ precursors from umbilical cord blood and adult bone marrow.

    Background: 28S ribosomal protein S22, mitochondrial is a protein that in humans is encoded by the MRPS22 gene. Mammalian mitochondrial ribosomal proteins are encoded by nuclear genes and help in protein synthesis within the mitochondrion. Mitochondrial ribosomes (mitoribosomes) consist of a small 28S subunit and a large 39S subunit. They have an estimated 75 % protein to rRNA composition compared to prokaryotic ribosomes, where this ratio is reversed. Another difference between mammalian mitoribosomes and prokaryotic ribosomes is that the latter contain a 5S rRNA. Among different species, the proteins comprising the mitoribosome differ greatly in sequence, and sometimes in biochemical properties, which prevents easy recognition by sequence homology. This gene encodes a 28S subunit protein that does not seem to have a counterpart in prokaryotic and fungal-mitochondrial ribosomes. This gene lies telomeric of and is transcribed in the opposite ion from the forkhead box L2 gene. A pseudogene corresponding to this gene is found on chromosome Xq.

    分子量

    38 kDa

    基因ID

    56945

    UniProt

    P82650
You are here: