电话:
+86 (0512) 65829739
传真:
+86 (010) 6788 5057
电子邮件:
orders@antibodies-online.cn

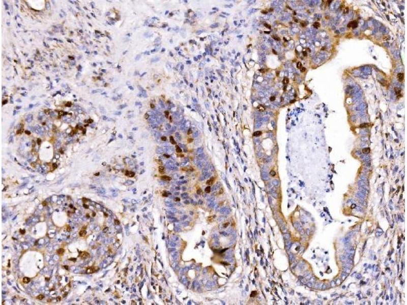
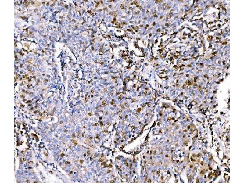
Geminin 抗体 (AA 21-196)

The 兔 多克隆 anti-Geminin antibody (ABIN7600598) specifically detects Geminin in WB, IHC, ELISA, IF, ICC 和 FACS. The antibody is reactive with 人 和 小鼠 samples.
产品编号 ABIN7600598
发货至: 中国
Contact our Customer Service for availability and price in your country. Contact Info

Our Local Distributor

中国
北京 101111
No. 88 KeChuang 6th Street
Beijing Economic Technological Development Area
Room 801-803
4A Biotech Co.,Ltd.
Tel +86 (0512) 65829739 传真 +86 (010) 6788 5057

Quick Overview for Geminin 抗体 (AA 21-196) (ABIN7600598)

抗原

See all Geminin (GMNN) 抗体
Geminin (GMNN) (Geminin, DNA Replication Inhibitor (GMNN))

适用

  • 76
  • 12
  • 11
人, 小鼠

宿主

  • 55
  • 24

克隆类型

  • 41
  • 38
多克隆

标记

  • 39
  • 5
  • 5
  • 3
  • 3
  • 2
  • 2
  • 2
  • 2
  • 2
  • 2
  • 2
  • 1
  • 1
  • 1
  • 1
  • 1
  • 1
  • 1
  • 1
  • 1
  • 1
This Geminin antibody is un-conjugated

应用范围

  • 41
  • 36
  • 32
  • 21
  • 19
  • 11
  • 10
  • 8
  • 3
  • 3
  • 2
  • 1
  • 1
  • 1
  • 1
Western Blotting (WB), Immunohistochemistry (IHC), ELISA, Immunofluorescence (IF), Immunocytochemistry (ICC), Flow Cytometry (FACS)
  • 抗原表位

    • 8
    • 7
    • 6
    • 3
    • 2
    • 2
    • 2
    • 1
    • 1
    • 1
    • 1
    • 1
    • 1
    • 1
    • 1
    • 1
    AA 21-196

    原理

    Anti-Geminin/GMNN Antibody

    交叉反应 (详细)

    No cross-reactivity with other proteins.

    产品特性

    Anti-Geminin/GMNN Antibody (ABIN7600598). Tested in ELISA, Flow Cytometry, IF, IHC, ICC, WB applications. This antibody reacts with Human, Mouse. This is a premium antibody that guarantees superior quality, high affinity, and strong signals with minimal background in Western blot applications.

    纯化方法

    Immunogen affinity purified.

    免疫原

    E.coli-derived human Geminin/GMNN recombinant protein (Position: V21-E196).

    亚型

    IgG
  • 应用备注

    Western blot, 0.1-0.25 μg/mL, Human, Mouse
    Immunohistochemistry(Paraffin-embedded Section), 2-5 μg/mL, Human
    Immunocytochemistry/Immunofluorescence, 5 μg/mL, Human
    Flow Cytometry (Fixed), 1-3 μg/1x106 cells, Human
    ELISA, 0.1-0.5 μg/mL, -

    限制

    仅限研究用
  • 状态

    Lyophilized

    溶解方式

    Adding 0.2 mL of distilled water will yield a concentration of 500 μg/mL.

    浓度

    500 μg/mL

    缓冲液

    Each vial contains 4 mg Trehalose, 0.9 mg NaCl, 0.2 mg Na2HPO4.

    储存条件

    4 °C,-20 °C

    储存方法

    At -20°C for one year from date of receipt. After reconstitution, at 4°C for one month.
    It can also be aliquotted and stored frozen at -20°C for six months. Avoid repeated freezing and thawing.
  • 抗原

    Geminin (GMNN) (Geminin, DNA Replication Inhibitor (GMNN))

    别名

    GMNN

    背景

    Synonyms: SWI/SNF-related matrix-associated actin-dependent regulator of chromatin subfamily A containing DEAD/H box 1, ATP-dependent helicase 1, hHEL1, SMARCAD1, KIAA1122

    Tissue Specificity: Isoform 1 is expressed ubiquitously. Isoform 3 is expressed mainly in skin, fibroblasts, keratinocytes and esophagus.

    Background: Geminin, DNA replication inhibitor, also known as GMNN, is a protein in humans encoded by the GMNN gene. This gene encodes a protein that plays a critical role in cell cycle regulation. The encoded protein inhibits DNA replication by binding to DNA replication factor Cdt1, preventing the incorporation of minichromosome maintenance proteins into the pre-replication complex. The encoded protein is expressed during the S and G2 phases of the cell cycle and is degraded by the anaphase-promoting complex during the metaphase-anaphase transition. Increased expression of this gene may play a role in several malignancies including colon, rectal and breast cancer. Alternatively spliced transcript variants have been observed for this gene, and two pseudogenes of this gene are located on the short arm of chromosome 16.

    分子量

    25 kDa

    基因ID

    51053

    UniProt

    O75496

    途径

    EGFR Signaling Pathway, DNA Replication
You are here: