电话:
+86 (0512) 65829739
传真:
+86 (010) 6788 5057
电子邮件:
orders@antibodies-online.cn

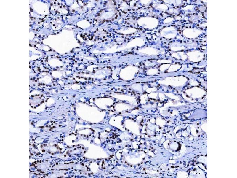
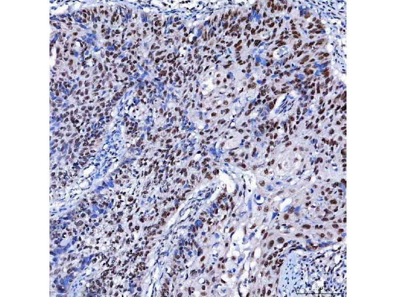
SF3A1 抗体 (AA 20-556)

The 兔 多克隆 anti-SF3A1 antibody (ABIN7600556) specifically detects SF3A1 in WB, IHC, IF, ELISA, IP 和 ICC. The antibody is reactive with 人, 小鼠 和 大鼠 samples.
产品编号 ABIN7600556
发货至: 中国
Contact our Customer Service for availability and price in your country. Contact Info

Our Local Distributor

中国
北京 101111
No. 88 KeChuang 6th Street
Beijing Economic Technological Development Area
Room 801-803
4A Biotech Co.,Ltd.
Tel +86 (0512) 65829739 传真 +86 (010) 6788 5057

Quick Overview for SF3A1 抗体 (AA 20-556) (ABIN7600556)

抗原

See all SF3A1 抗体
SF3A1 (Splicing Factor 3a, Subunit 1 (SF3A1))

适用

  • 26
  • 16
  • 9
  • 6
  • 6
  • 5
  • 5
  • 4
  • 4
  • 4
  • 3
  • 3
  • 2
  • 2
  • 2
  • 1
  • 1
人, 小鼠, 大鼠

宿主

  • 21
  • 6

克隆类型

  • 22
  • 5
多克隆

标记

  • 27
This SF3A1 antibody is un-conjugated

应用范围

  • 25
  • 13
  • 9
  • 8
  • 7
  • 6
  • 3
  • 1
  • 1
Western Blotting (WB), Immunohistochemistry (IHC), Immunofluorescence (IF), ELISA, Immunoprecipitation (IP), Immunocytochemistry (ICC)
  • 抗原表位

    • 4
    • 3
    • 2
    • 2
    • 2
    • 2
    • 1
    • 1
    • 1
    • 1
    • 1
    • 1
    • 1
    • 1
    AA 20-556

    原理

    Anti-SF3A1 Antibody

    交叉反应 (详细)

    No cross-reactivity with other proteins.

    产品特性

    Anti-SF3A1 Antibody (ABIN7600556). Tested in ELISA, IF, IHC, ICC, WB applications. This antibody reacts with Human, Mouse, Rat. This is a premium antibody that guarantees superior quality, high affinity, and strong signals with minimal background in Western blot applications.

    纯化方法

    Immunogen affinity purified.

    免疫原

    E.coli-derived human SF3A1 recombinant protein (Position: K20-Q556).

    亚型

    IgG
  • 应用备注

    Western blot, 0.1-0.25 μg/mL, Human, Mouse, Rat
    Immunohistochemistry(Paraffin-embedded Section), 2-5 μg/mL, Human, Rat
    Immunocytochemistry/Immunofluorescence, 5 μg/mL, Human
    Immunofluorescence, 5 μg/mL, Human, Rat
    Immunoprecipitation, 0.5-2 μg/mL, Human
    ELISA, 0.1-0.5 μg/mL, -

    限制

    仅限研究用
  • 状态

    Lyophilized

    溶解方式

    Adding 0.2 mL of distilled water will yield a concentration of 500 μg/mL.

    浓度

    500 μg/mL

    缓冲液

    Each vial contains 4 mg Trehalose, 0.9 mg NaCl, 0.2 mg Na2HPO4.

    储存条件

    4 °C,-20 °C

    储存方法

    At -20°C for one year from date of receipt. After reconstitution, at 4°C for one month.
    It can also be aliquotted and stored frozen at -20°C for six months. Avoid repeated freezing and thawing.
  • 抗原

    SF3A1 (Splicing Factor 3a, Subunit 1 (SF3A1))

    别名

    SF3A1

    背景

    Synonyms: Serine protease HTRA3,3.4.21.-,High-temperature requirement factor A3,Pregnancy-related serine protease,HTRA3,PRSP,

    Tissue Specificity: Widely expressed, with highest levels in both adult and fetal heart, ovary, uterus placenta, and bladder. In the endometrium, expressed in epithelial glands and the stroma. Also present in leukocytes. Isoform 1 is predominant in heart and skeletal muscle, whereas isoform 2 is predominant in placenta and kidney. .

    Background: Splicing factor 3 subunit 1 is a protein that in humans is encoded by the SF3A1 gene. This gene encodes a subunit of the splicing factor 3a protein complex. The splicing factor 3a heterotrimer is a component of the mature U2 small nuclear ribonucleoprotein particle (snRNP). U2 small nuclear ribonucleoproteins play a critical role in spliceosome assembly and pre-mRNA splicing.

    分子量

    120-130 kDa

    基因ID

    10291

    UniProt

    Q15459

    途径

    Ribonucleoprotein Complex Subunit Organization
You are here: