电话:
+86 (0512) 65829739
传真:
+86 (010) 6788 5057
电子邮件:
orders@antibodies-online.cn

TMEM255B 抗体 (AA 196-240)

The 兔 多克隆 anti-TMEM255B antibody is suitable to detect TMEM255B in samples from 小鼠 和 大鼠. It has been validated for ELISA, IHC 和 WB.
产品编号 ABIN7600444
发货至: 中国
Contact our Customer Service for availability and price in your country. Contact Info

Our Local Distributor

中国
北京 101111
No. 88 KeChuang 6th Street
Beijing Economic Technological Development Area
Room 801-803
4A Biotech Co.,Ltd.
Tel +86 (0512) 65829739 传真 +86 (010) 6788 5057

Quick Overview for TMEM255B 抗体 (AA 196-240) (ABIN7600444)

抗原

TMEM255B (Transmembrane Protein 255B (TMEM255B))

适用

小鼠, 大鼠

宿主

  • 5

克隆类型

  • 5
多克隆

标记

  • 2
  • 1
  • 1
  • 1
This TMEM255B antibody is un-conjugated

应用范围

ELISA, Immunohistochemistry (IHC), Western Blotting (WB)
  • 抗原表位

    AA 196-240

    原理

    Anti-Tmem255b Antibody

    交叉反应 (详细)

    No cross-reactivity with other proteins.

    产品特性

    Anti-Tmem255b Antibody (ABIN7600444). Tested in ELISA, IHC, WB applications. This antibody reacts with Mouse, Rat. This is a premium antibody that guarantees superior quality, high affinity, and strong signals with minimal background in Western blot applications.

    纯化方法

    Immunogen affinity purified.

    免疫原

    E.coli-derived mouse Tmem255b recombinant protein (Position: Q196-L240).

    亚型

    IgG
  • 应用备注

    Western blot, 0.25-0.5 μg/mL, Mouse
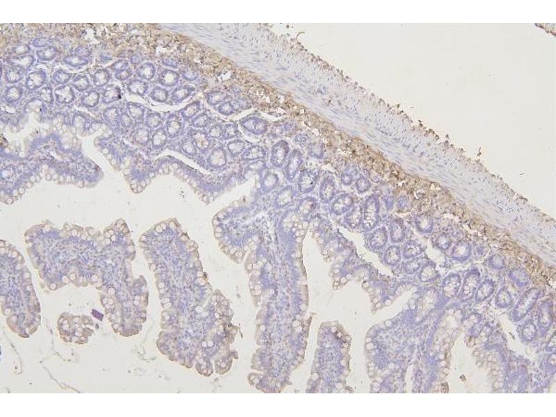
    Immunohistochemistry (Paraffin-embedded Section), 0.5-1 μg/mL, Rat
    ELISA, 0.1-0.5 μg/mL, -

    限制

    仅限研究用
  • 状态

    Lyophilized

    溶解方式

    Add 0.2 mL of distilled water will yield a concentration of 500 μg/mL.

    浓度

    500 μg/mL

    缓冲液

    Each vial contains 4 mg Trehalose, 0.9 mg NaCl, 0.2 mg Na2HPO4, 0.01 mg Sodium azide.

    储存液

    Sodium azide

    注意事项

    This product contains Sodium azide: a POISONOUS AND HAZARDOUS SUBSTANCE which should be handled by trained staff only.

    储存条件

    4 °C,-20 °C

    储存方法

    Store at -20°C for one year from date of receipt. After reconstitution, at 4°C for one month.
    It can also be aliquotted and stored frozen at -20°C for six months. Avoid repeated freeze-thaw cycles.
  • 抗原

    TMEM255B (Transmembrane Protein 255B (TMEM255B))

    别名

    Tmem255b

    背景

    Synonyms: Placenta-specific protein 9, PLAC9

    Tissue Specificity: Detected in liver, skeletal muscle, kidney, pancreas, spleen, thyroid, testis, ovary, small intestine and colon.

    Background: FAM70B (family with sequence similarity 70, member B) is a 326 amino acid membrane protein that belongs to the FAM70 family. The gene that encodes FAM70B maps to human chromosome 13, which contains around 114 million base pairs and encodes roughly 400 genes. Key tumor suppressor genes on chromosome 13 include the breast cancer susceptibility gene, BRCA2, and the RB1 (retinoblastoma) gene. RB1 encodes a crucial tumor suppressor protein which, when defective, leads to malignant growth in the retina and has been implicated in a variety of other cancers. The gene SLITRK1, which is associated with Tourette syndrome, is on chromosome 13. As with most chromosomes, polysomy of part or all of chromosome 13 is deleterious to development and decreases the odds of survival. Trisomy 13, also known as Patau syndrome, is quite deadly and the few who survive past one year suffer from permanent neurologic defects, difficulty eating and vulnerability to serious respiratory infections.

    分子量

    45 kDa

    基因ID

    272465
You are here: