电话:
+86 (0512) 65829739
传真:
+86 (010) 6788 5057
电子邮件:
orders@antibodies-online.cn

SLC27A3 抗体 (AA 192-683)

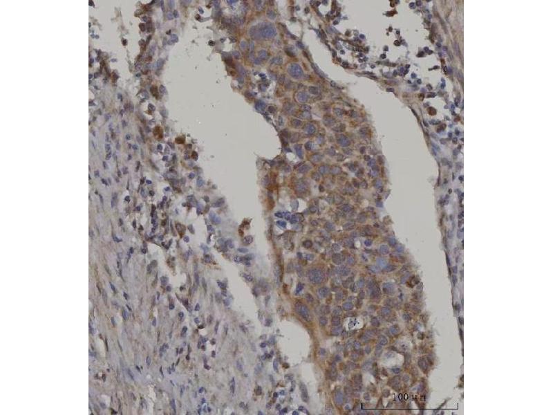
The 兔 多克隆 anti-SLC27A3 antibody is suitable to detect SLC27A3 in samples from 人 和 小鼠. It has been validated for WB, ELISA 和 IHC.
产品编号 ABIN7600438
发货至: 中国
Contact our Customer Service for availability and price in your country. Contact Info

Our Local Distributor

中国
北京 101111
No. 88 KeChuang 6th Street
Beijing Economic Technological Development Area
Room 801-803
4A Biotech Co.,Ltd.
Tel +86 (0512) 65829739 传真 +86 (010) 6788 5057

Quick Overview for SLC27A3 抗体 (AA 192-683) (ABIN7600438)

抗原

See all SLC27A3 (FATP3) 抗体
SLC27A3 (FATP3) (Fatty Acid Transport Protein 3 (FATP3))

适用

  • 20
  • 4
  • 2
  • 2
  • 2
  • 2
  • 2
  • 1
  • 1
  • 1
  • 1
  • 1
人, 小鼠

宿主

  • 17
  • 3

克隆类型

  • 18
  • 2
多克隆

标记

  • 14
  • 2
  • 1
  • 1
  • 1
  • 1
This SLC27A3 antibody is un-conjugated

应用范围

  • 16
  • 14
  • 10
  • 2
  • 1
Western Blotting (WB), ELISA, Immunohistochemistry (IHC)
  • 抗原表位

    • 8
    • 3
    • 2
    • 2
    • 1
    • 1
    • 1
    • 1
    • 1
    AA 192-683

    原理

    Anti-FATP3/SLC27A3 Antibody

    交叉反应 (详细)

    No cross-reactivity with other proteins.

    产品特性

    Anti-FATP3/SLC27A3 Antibody (ABIN7600438). Tested in ELISA, IHC, WB applications. This antibody reacts with Human, Mouse. This is a premium antibody that guarantees superior quality, high affinity, and strong signals with minimal background in Western blot applications.

    纯化方法

    Immunogen affinity purified.

    免疫原

    E.coli-derived human FATP3/SLC27A3 recombinant protein (Position: L192-I683).

    亚型

    IgG
  • 应用备注

    Western blot, 0.25-0.5 μg/mL, Human, Mouse
    Immunohistochemistry(Paraffin-embedded Section), 2-5 μg/mL, Human
    ELISA, 0.1-0.5 μg/mL, -

    限制

    仅限研究用
  • 状态

    Lyophilized

    溶解方式

    Adding 0.2 mL of distilled water will yield a concentration of 500 μg/mL.

    浓度

    500 μg/mL

    缓冲液

    Each vial contains 4 mg Trehalose, 0.9 mg NaCl, 0.2 mg Na2HPO4.

    储存条件

    4 °C,-20 °C

    储存方法

    At -20°C for one year from date of receipt. After reconstitution, at 4°C for one month.
    It can also be aliquotted and stored frozen at -20°C for six months. Avoid repeated freezing and thawing.
  • 抗原

    SLC27A3 (FATP3) (Fatty Acid Transport Protein 3 (FATP3))

    别名

    SLC27A3

    背景

    Synonyms: Mitochondrial import inner membrane translocase subunit Tim17-A, Inner membrane preprotein translocase Tim17a, TIMM17A, MIMT17, TIM17, TIM17A, TIMM17

    Background: Long-chain fatty acid transport protein 3 is a protein that in humans is encoded by the SLC27A3 gene. This gene belongs to a family of integral membrane proteins and encodes a protein that is involved in lipid metabolism. The increased expression of this gene in human neural stem cells derived from induced pluripotent stem cells suggests that it plays an important role in early brain development. Naturally occurring mutations in this gene are associated with autism spectrum disorders. Alternative splicing results in multiple transcript variants.

    分子量

    70-79 kDa

    基因ID

    11000

    UniProt

    Q5K4L6
You are here: