电话:
+86 (0512) 65829739
传真:
+86 (010) 6788 5057
电子邮件:
orders@antibodies-online.cn

WDR44 抗体 (AA 188-913)

The 兔 多克隆 anti-WDR44 antibody (ABIN7600394) specifically detects WDR44 in WB, ELISA, FACS 和 IHC. The antibody is reactive with 人 samples.
产品编号 ABIN7600394
发货至: 中国
Contact our Customer Service for availability and price in your country. Contact Info

Our Local Distributor

中国
北京 101111
No. 88 KeChuang 6th Street
Beijing Economic Technological Development Area
Room 801-803
4A Biotech Co.,Ltd.
Tel +86 (0512) 65829739 传真 +86 (010) 6788 5057

Quick Overview for WDR44 抗体 (AA 188-913) (ABIN7600394)

抗原

See all WDR44 抗体
WDR44 (WD Repeat Domain 44 (WDR44))

适用

  • 6
  • 4
  • 4
  • 1

宿主

  • 6

克隆类型

  • 6
多克隆

标记

  • 6
This WDR44 antibody is un-conjugated

应用范围

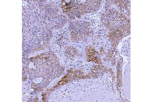
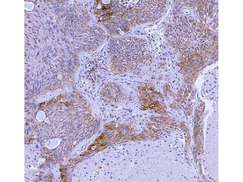
Western Blotting (WB), ELISA, Flow Cytometry (FACS), Immunohistochemistry (IHC)
  • 抗原表位

    • 2
    • 1
    • 1
    AA 188-913

    原理

    Anti-WDR44 Antibody

    交叉反应 (详细)

    No cross-reactivity with other proteins.

    产品特性

    Anti-WDR44 Antibody (ABIN7600394). Tested in ELISA, Flow Cytometry, IHC, WB applications. This antibody reacts with Human. This is a premium antibody that guarantees superior quality, high affinity, and strong signals with minimal background in Western blot applications.

    纯化方法

    Immunogen affinity purified.

    免疫原

    E.coli-derived human WDR44 recombinant protein (Position: D188-S913).

    亚型

    IgG
  • 应用备注

    Western blot, 0.25-0.5 μg/mL, Human
    Immunohistochemistry(Paraffin-embedded Section), 2-5 μg/mL, Human
    Flow Cytometry (Fixed), 1-3 μg/1x106 cells, Human
    ELISA, 0.1-0.5 μg/mL, -

    限制

    仅限研究用
  • 状态

    Lyophilized

    溶解方式

    Adding 0.2 mL of distilled water will yield a concentration of 500 μg/mL.

    浓度

    500 μg/mL

    缓冲液

    Each vial contains 4 mg Trehalose, 0.9 mg NaCl, 0.2 mg Na2HPO4.

    储存条件

    4 °C,-20 °C

    储存方法

    At -20°C for one year from date of receipt. After reconstitution, at 4°C for one month.
    It can also be aliquotted and stored frozen at -20°C for six months. Avoid repeated freezing and thawing.
  • 抗原

    WDR44 (WD Repeat Domain 44 (WDR44))

    别名

    WDR44

    背景

    Synonyms: Solute carrier family 2, facilitated glucose transporter member 6, Glucose transporter type 6, GLUT-6, Glucose transporter type 9, GLUT-9, SLC2A6, GLUT9

    Tissue Specificity: Highly expressed in brain, spleen and peripheral blood leukocytes.

    Background: WD repeat-containing protein 44 is a protein that in humans is encoded by the WDR44 gene. This gene encodes a protein that interacts with the small GTPase rab11. A similar protein in rat binds the GTP-containing active form of rab11. This protein may play a role in endosome recycling. Alternate splicing results in multiple transcript variants.

    分子量

    130 kDa

    基因ID

    54521
You are here: