电话:
+86 (0512) 65829739
传真:
+86 (010) 6788 5057
电子邮件:
orders@antibodies-online.cn

SWAP70 抗体 (AA 161-292)

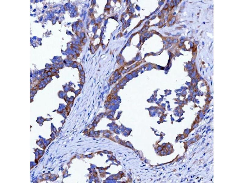
The 兔 多克隆 anti-SWAP70 antibody is suitable to detect SWAP70 in samples from 人. It has been validated for WB, ELISA, IHC, IF 和 FACS.
产品编号 ABIN7600201
发货至: 中国
Contact our Customer Service for availability and price in your country. Contact Info

Our Local Distributor

中国
北京 101111
No. 88 KeChuang 6th Street
Beijing Economic Technological Development Area
Room 801-803
4A Biotech Co.,Ltd.
Tel +86 (0512) 65829739 传真 +86 (010) 6788 5057

Quick Overview for SWAP70 抗体 (AA 161-292) (ABIN7600201)

抗原

See all SWAP70 抗体
SWAP70 (SWAP Switching B-Cell Complex 70kDa Subunit (SWAP70))

适用

  • 78
  • 13
  • 10
  • 3
  • 2
  • 2
  • 2
  • 2
  • 2
  • 2
  • 2
  • 1
  • 1

宿主

  • 56
  • 21
  • 1

克隆类型

  • 59
  • 19
多克隆

标记

  • 42
  • 5
  • 5
  • 5
  • 2
  • 2
  • 1
  • 1
  • 1
  • 1
  • 1
  • 1
  • 1
  • 1
  • 1
  • 1
  • 1
  • 1
  • 1
  • 1
  • 1
  • 1
  • 1
This SWAP70 antibody is un-conjugated

应用范围

  • 62
  • 33
  • 13
  • 13
  • 7
  • 6
  • 5
  • 5
  • 3
  • 2
  • 1
  • 1
Western Blotting (WB), ELISA, Immunohistochemistry (IHC), Immunofluorescence (IF), Flow Cytometry (FACS)
  • 抗原表位

    • 15
    • 9
    • 7
    • 4
    • 3
    • 3
    • 2
    • 1
    • 1
    • 1
    • 1
    • 1
    • 1
    • 1
    • 1
    AA 161-292

    原理

    Anti-SWAP70 Antibody

    交叉反应 (详细)

    No cross-reactivity with other proteins.

    产品特性

    Anti-SWAP70 Antibody (ABIN7600201). Tested in ELISA, Flow Cytometry, IF, IHC, WB applications. This antibody reacts with Human. This is a premium antibody that guarantees superior quality, high affinity, and strong signals with minimal background in Western blot applications.

    纯化方法

    Immunogen affinity purified.

    免疫原

    E.coli-derived human SWAP70 recombinant protein (Position: H161-K292).

    亚型

    IgG
  • 应用备注

    Western blot, 0.5-1 μg/mL, Human
    Immunohistochemistry(Paraffin-embedded Section), 2-5 μg/mL, Human
    Immunofluorescence, 5 μg/mL, Human
    Flow Cytometry (Fixed), 1-3 μg/1x106 cells, Human
    ELISA, 0.1-0.5 μg/mL, -

    限制

    仅限研究用
  • 状态

    Lyophilized

    溶解方式

    Adding 0.2 mL of distilled water will yield a concentration of 500 μg/mL.

    浓度

    500 μg/mL

    缓冲液

    Each vial contains 4 mg Trehalose, 0.9 mg NaCl, 0.2 mg Na2HPO4.

    储存条件

    4 °C,-20 °C

    储存方法

    At -20°C for one year from date of receipt. After reconstitution, at 4°C for one month.
    It can also be aliquotted and stored frozen at -20°C for six months. Avoid repeated freezing and thawing.
  • 抗原

    SWAP70 (SWAP Switching B-Cell Complex 70kDa Subunit (SWAP70))

    别名

    SWAP70

    背景

    Synonyms: Aflatoxin B1 aldehyde reductase member 2, AFB1 aldehyde reductase 1, AFB1-AR 1, Aldoketoreductase 7, Succinic semialdehyde reductase, SSA reductase, AKR7A2, AFAR, AFAR1, AKR7

    Tissue Specificity: Expressed in basement membranes of lung and kidney. Muscle- and neuron-specific isoforms are found. Isoforms (y+) with the 4 AA insert and (z+8) isoforms with the 8 AA insert are all neuron-specific. Isoforms (z+11) are found in both neuronal and non-neuronal tissues.

    Background: SWAP70 (Switch-associated protein 70) is a 67-70 kDa intracellular protein that bears limited resemblance to members of the Dbl-family of GEFs for small Rho GTPases. It is expressed in mast cells, dendritic cells and B cells. In mast cells, it promotes the release of anaphylactic mediators, in dendritic cells, it regulates the appearance of MHC II, and in B cells, it forms a nuclear complex that initiates immunoglobulin class switching. Human SWAP70 is 585 amino acids (aa) in length. It contains one plextrin homology (PH) domain (aa 213-304) plus a coiled-coil region (aa 316-539). There are three potential splice variants. One contains an alternative start site at Met70, another shows a deletion of aa 81-138, and a third possesses a 38 aa substitution for aa 453-585. Over aa 386-585, human SWAP70 shares 96 % aa identity with mouse SWAP70.

    分子量

    69 kDa

    基因ID

    23075

    途径

    Production of Molecular Mediator of Immune Response
You are here: