电话:
+86 (0512) 65829739
传真:
+86 (010) 6788 5057
电子邮件:
orders@antibodies-online.cn

Splicing Factor 1 抗体 (AA 160-266)

This 小鼠 单克隆 antibody specifically detects Splicing Factor 1 in WB, IHC, IF, ICC 和 FACS. It exhibits reactivity toward 人, 小鼠 和 大鼠.
产品编号 ABIN7600193
发货至: 中国
Contact our Customer Service for availability and price in your country. Contact Info

Our Local Distributor

中国
北京 101111
No. 88 KeChuang 6th Street
Beijing Economic Technological Development Area
Room 801-803
4A Biotech Co.,Ltd.
Tel +86 (0512) 65829739 传真 +86 (010) 6788 5057

Quick Overview for Splicing Factor 1 抗体 (AA 160-266) (ABIN7600193)

抗原

See all Splicing Factor 1 (SF1) 抗体
Splicing Factor 1 (SF1)

适用

  • 59
  • 51
  • 18
  • 12
  • 10
  • 10
  • 8
  • 7
  • 7
  • 7
  • 5
  • 5
  • 3
  • 2
  • 1
  • 1
人, 小鼠, 大鼠

宿主

  • 71
  • 4
小鼠

克隆类型

  • 71
  • 4
单克隆

标记

  • 49
  • 3
  • 2
  • 2
  • 1
  • 1
  • 1
  • 1
  • 1
  • 1
  • 1
  • 1
  • 1
  • 1
  • 1
  • 1
  • 1
  • 1
  • 1
  • 1
  • 1
  • 1
  • 1
This Splicing Factor 1 antibody is un-conjugated

应用范围

  • 65
  • 30
  • 25
  • 18
  • 13
  • 13
  • 12
  • 8
  • 7
  • 5
  • 4
  • 2
  • 1
  • 1
Western Blotting (WB), Immunohistochemistry (IHC), Immunofluorescence (IF), Immunocytochemistry (ICC), Flow Cytometry (FACS)

克隆位点

2F5D10
  • 抗原表位

    • 29
    • 9
    • 7
    • 3
    • 3
    • 2
    • 2
    • 2
    • 2
    • 2
    • 1
    • 1
    • 1
    • 1
    • 1
    • 1
    • 1
    • 1
    • 1
    • 1
    • 1
    • 1
    • 1
    AA 160-266

    原理

    Anti-splicing factor 1 Antibody (monoclonal, 2F5D10)

    交叉反应 (详细)

    No cross-reactivity with other proteins.

    产品特性

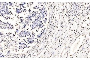
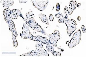
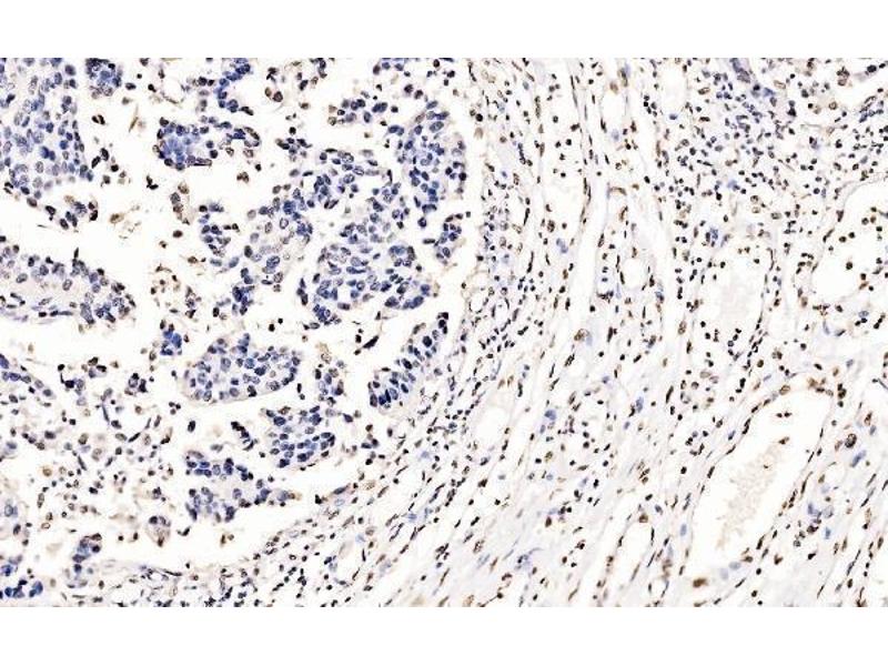
    Anti-splicing factor 1 Antibody (monoclonal, 2F5D10) (ABIN7600193). Tested in Flow Cytometry, IF, IHC, ICC, WB applications. This antibody reacts with Human, Mouse, Rat. This is a premium antibody that guarantees superior quality, high affinity, and strong signals with minimal background in Western blot applications.

    纯化方法

    Immunogen affinity purified.

    免疫原

    E. coli-derived human splicing factor 1 recombinant protein (Position: R160-Q266).

    亚型

    IgG2a
  • 应用备注

    Western blot, 0.25-0.5 μg/mL, Human, Mouse, Rat
    Immunohistochemistry(Paraffin-embedded Section), 2-5 μg/mL, Human, Mouse, Rat
    Immunocytochemistry/Immunofluorescence, 5 μg/mL, Human
    Flow Cytometry (Fixed), 1-3 μg/1x106 cells, Human, Mouse, Rat

    限制

    仅限研究用
  • 状态

    Lyophilized

    溶解方式

    Adding 0.2 mL of distilled water will yield a concentration of 500 μg/mL.

    浓度

    500 μg/mL

    缓冲液

    Each vial contains 4 mg Trehalose, 0.9 mg NaCl and 0.2 mg Na2HPO4.

    储存条件

    4 °C,-20 °C

    储存方法

    At -20°C for one year from date of receipt. After reconstitution, at 4°C for one month.
    It can also be aliquotted and stored frozen at -20°C for six months. Avoid repeated freezing and thawing.
  • 抗原

    Splicing Factor 1 (SF1)

    别名

    SF1

    背景

    Synonyms: ATP-dependent Clp protease ATP-binding subunit clpX-like, mitochondrial, CLPX

    Tissue Specificity: Higher expression in skeletal muscle and heart and to a lesser extent in liver, brain, placenta, lung, kidney and pancreas.

    Background: Splicing factor 1 also known as zinc finger protein 162 (ZFM162) is a protein that in humans is encoded by the SF1 gene. This gene encodes a nuclear pre-mRNA splicing factor. The encoded protein specifically recognizes the intron branch point sequence at the 3' splice site, together with the large subunit of U2 auxiliary factor (U2AF), and is required for the early stages of spliceosome assembly. It also plays a role in nuclear pre-mRNA retention and transcriptional repression. The encoded protein contains an N-terminal U2AF ligand motif, a central hnRNP K homology motif and quaking 2 region which bind a key branch-site adenosine within the branch point sequence, a zinc knuckles domain, and a C-terminal proline-rich domain. Alternative splicing results in multiple transcript variants.

    分子量

    68 kDa

    基因ID

    7536

    UniProt

    Q15637

    途径

    Nuclear Receptor Transcription Pathway, Steroid Hormone Mediated Signaling Pathway, Ribonucleoprotein Complex Subunit Organization, Maintenance of Protein Location
You are here: