电话:
+86 (0512) 65829739
传真:
+86 (010) 6788 5057
电子邮件:
orders@antibodies-online.cn

DLX2 抗体 (AA 13-310)

The 兔 多克隆 anti-DLX2 antibody is suitable to detect DLX2 in samples from 人, 小鼠 和 大鼠. It has been validated for WB, ELISA, IHC 和 FACS.
产品编号 ABIN7599936
发货至: 中国
Contact our Customer Service for availability and price in your country. Contact Info

Our Local Distributor

中国
北京 101111
No. 88 KeChuang 6th Street
Beijing Economic Technological Development Area
Room 801-803
4A Biotech Co.,Ltd.
Tel +86 (0512) 65829739 传真 +86 (010) 6788 5057

Quick Overview for DLX2 抗体 (AA 13-310) (ABIN7599936)

抗原

See all DLX2 抗体
DLX2 (Distal-Less Homeobox Protein 2 (DLX2))

适用

  • 34
  • 16
  • 14
  • 4
  • 4
  • 4
  • 1
  • 1
  • 1
人, 小鼠, 大鼠

宿主

  • 28
  • 6
  • 1

克隆类型

  • 29
  • 6
多克隆

标记

  • 23
  • 2
  • 1
  • 1
  • 1
  • 1
  • 1
  • 1
  • 1
  • 1
  • 1
  • 1
This DLX2 antibody is un-conjugated

应用范围

  • 27
  • 17
  • 9
  • 7
  • 2
  • 2
  • 2
  • 1
Western Blotting (WB), ELISA, Immunohistochemistry (IHC), Flow Cytometry (FACS)
  • 抗原表位

    • 7
    • 2
    • 2
    • 2
    • 2
    • 2
    • 1
    • 1
    • 1
    • 1
    • 1
    AA 13-310

    原理

    Anti-DLX2 Antibody

    交叉反应 (详细)

    No cross-reactivity with other proteins.

    产品特性

    Anti-DLX2 Antibody (ABIN7599936). Tested in ELISA, Flow Cytometry, IHC, WB applications. This antibody reacts with Human, Mouse, Rat. This is a premium antibody that guarantees superior quality, high affinity, and strong signals with minimal background in Western blot applications.

    纯化方法

    Immunogen affinity purified.

    免疫原

    E.coli-derived human DLX2 recombinant protein (Position: H13-H310).

    亚型

    IgG
  • 应用备注

    Western blot, 0.25-0.5 μg/mL, Mouse, Rat
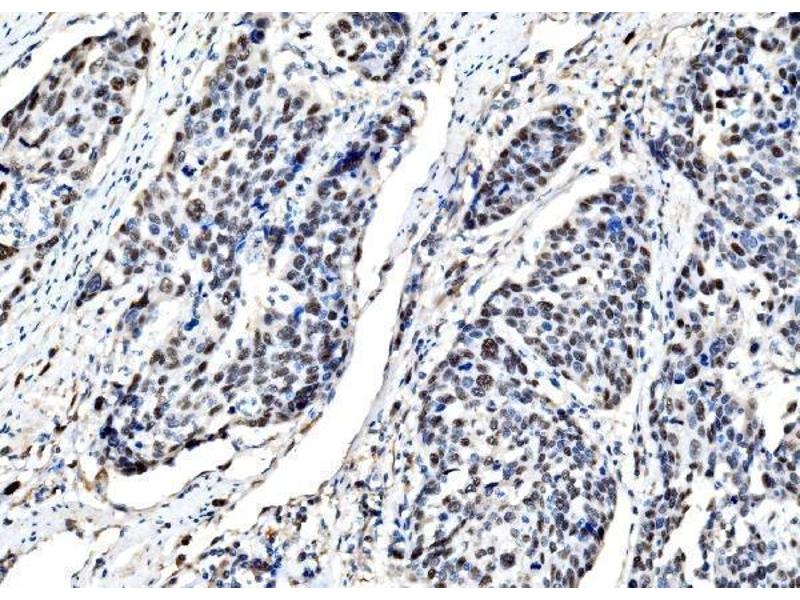
    Immunohistochemistry(Paraffin-embedded Section), 2-5 μg/mL, Human
    Flow Cytometry (Fixed), 1-3 μg/1x106 cells, Human
    ELISA, 0.1-0.5 μg/mL, -

    限制

    仅限研究用
  • 状态

    Lyophilized

    溶解方式

    Adding 0.2 mL of distilled water will yield a concentration of 500 μg/mL.

    浓度

    500 μg/mL

    缓冲液

    Each vial contains 4 mg Trehalose, 0.9 mg NaCl, 0.2 mg Na2HPO4.

    储存条件

    4 °C,-20 °C

    储存方法

    At -20°C for one year from date of receipt. After reconstitution, at 4°C for one month.
    It can also be aliquotted and stored frozen at -20°C for six months. Avoid repeated freezing and thawing.
  • 抗原

    DLX2 (Distal-Less Homeobox Protein 2 (DLX2))

    别名

    DLX2

    背景

    Synonyms: Protocadherin-15, PCDH15, USH1F

    Tissue Specificity: Expressed in brain, lung, kidney, spleen and testis. Found also in the inner and outer synaptic layers, and the nerve fiber layer in adult and fetal retinas. Found in the supporting cells, outer sulcus cells and spiral ganglion of fetal cochlea. Expressed in cytotoxic tumor-derived T- and NK-cell lines as well as biopsies of nasal NK/T-cell lymphomas. Not detected in normal or in vitro activated peripheral blood cells, CD4 or CD8 lymphocytes or NK cells. Isoform 3 is expressed in brain, heart, cerebellum and kidney. CD1 isoforms, such as isoform 1, have a limited pattern of expression and is detected in testis, retina and cochlea. CD2 isoforms, such as isoforms 4 and 5, are expressed in heart, kidney, thymus, spleen, testis, retina and cochlea. CD3 isoforms, such as isoform 6, are widely expressed.

    Background: Homeobox protein DLX-2 is a protein that in humans is encoded by the DLX2 gene. Many vertebrate homeo box-containing genes have been identified on the basis of their sequence similarity with Drosophila developmental genes. Members of the Dlx gene family contain a homeobox that is related to that of Distal-less (Dll), a gene expressed in the head and limbs of the developing fruit fly. The Distal-less (Dlx) family of genes comprises at least 6 different members, DLX1-DLX6. The DLX proteins are postulated to play a role in forebrain and craniofacial development. This gene is located in a tail-to-tail configuration with another member of the gene family on the long arm of chromosome 2.

    分子量

    37 kDa

    基因ID

    1746

    UniProt

    Q07687
You are here: