电话:
+86 (0512) 65829739
传真:
+86 (010) 6788 5057
电子邮件:
orders@antibodies-online.cn

TFG 抗体 (AA 121-400)

This 兔 多克隆 antibody specifically detects TFG in WB, IHC, ELISA, ICC 和 IF. It exhibits reactivity toward 人, 小鼠 和 大鼠.
产品编号 ABIN7599839
发货至: 中国
Contact our Customer Service for availability and price in your country. Contact Info

Our Local Distributor

中国
北京 101111
No. 88 KeChuang 6th Street
Beijing Economic Technological Development Area
Room 801-803
4A Biotech Co.,Ltd.
Tel +86 (0512) 65829739 传真 +86 (010) 6788 5057

Quick Overview for TFG 抗体 (AA 121-400) (ABIN7599839)

抗原

See all TFG 抗体
TFG (Trk-Fused Gene (TFG))

适用

人, 小鼠, 大鼠

宿主

  • 48
  • 8

克隆类型

  • 31
  • 25
多克隆

标记

  • 30
  • 4
  • 2
  • 2
  • 2
  • 2
  • 2
  • 2
  • 2
  • 2
  • 2
  • 2
  • 1
  • 1
This TFG antibody is un-conjugated

应用范围

  • 47
  • 19
  • 19
  • 17
  • 12
  • 11
  • 2
  • 1
  • 1
  • 1
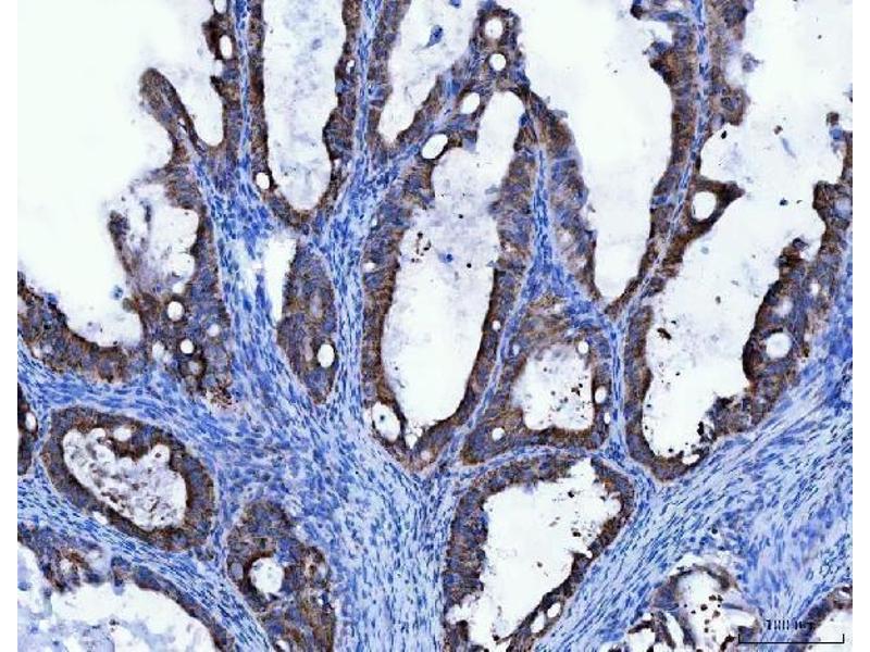
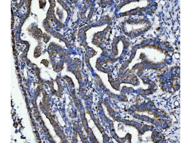
Western Blotting (WB), Immunohistochemistry (IHC), ELISA, Immunocytochemistry (ICC), Immunofluorescence (IF)
  • 抗原表位

    • 7
    • 7
    • 2
    • 2
    • 2
    • 2
    • 2
    • 1
    • 1
    • 1
    • 1
    • 1
    • 1
    • 1
    • 1
    AA 121-400

    原理

    Anti-TRK fused gene/TFG Antibody

    交叉反应 (详细)

    No cross-reactivity with other proteins.

    产品特性

    Anti-TRK fused gene/TFG Antibody (ABIN7599839). Tested in ELISA, IF, IHC, ICC, WB applications. This antibody reacts with Human, Mouse, Rat. This is a premium antibody that guarantees superior quality, high affinity, and strong signals with minimal background in Western blot applications.

    纯化方法

    Immunogen affinity purified.

    免疫原

    E.coli-derived human TRK fused gene/TFG recombinant protein (Position: D121-R400).

    亚型

    IgG
  • 应用备注

    Western blot, 0.1-0.25 μg/mL, Human, Mouse, Rat
    Immunohistochemistry(Paraffin-embedded Section), 2-5 μg/mL, Human, Rat
    Immunocytochemistry/Immunofluorescence, 5 μg/mL, Human
    Immunofluorescence, 5 μg/mL, Human
    ELISA, 0.1-0.5 μg/mL, -

    限制

    仅限研究用
  • 状态

    Lyophilized

    溶解方式

    Adding 0.2 mL of distilled water will yield a concentration of 500 μg/mL.

    浓度

    500 μg/mL

    缓冲液

    Each vial contains 4 mg Trehalose, 0.9 mg NaCl, 0.2 mg Na2HPO4.

    储存条件

    4 °C,-20 °C

    储存方法

    At -20°C for one year from date of receipt. After reconstitution, at 4°C for one month.
    It can also be aliquotted and stored frozen at -20°C for six months. Avoid repeated freezing and thawing.
  • 抗原

    TFG (Trk-Fused Gene (TFG))

    别名

    TFG

    背景

    Synonyms: Tumor necrosis factor receptor superfamily member 13C, B-cell maturation defect, B-cell-activating factor receptor, BAFF receptor, BAFF-R, BLyS receptor 3, CD268, Tnfrsf13c, Baffr, Bcmd, Br3

    Tissue Specificity: Highly expressed in spleen and testis, detected at lower levels in lung and thymus.

    Background: Protein TFG is a protein that in humans is encoded by the TFG gene. There are several documented fusion oncoproteins encoded partially by this gene. This gene also participates in several oncogenic rearrangements resulting in anaplastic lymphoma and mixoid chondrosarcoma, and may play a role in the NF-kappaB pathway. Multiple transcript variants have been found for this gene.

    分子量

    60 kDa

    基因ID

    10342

    UniProt

    Q92734
You are here: