电话:
+86 (0512) 65829739
传真:
+86 (010) 6788 5057
电子邮件:
orders@antibodies-online.cn

NAA38 抗体 (AA 1-96)

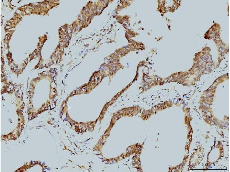
The 小鼠 单克隆 anti-NAA38 antibody is suitable to detect NAA38 in samples from 人, 小鼠 和 大鼠. It has been validated for WB, IHC, IF, ICC 和 FACS.
产品编号 ABIN7599578
发货至: 中国
Contact our Customer Service for availability and price in your country. Contact Info

Our Local Distributor

中国
北京 101111
No. 88 KeChuang 6th Street
Beijing Economic Technological Development Area
Room 801-803
4A Biotech Co.,Ltd.
Tel +86 (0512) 65829739 传真 +86 (010) 6788 5057

Quick Overview for NAA38 抗体 (AA 1-96) (ABIN7599578)

抗原

See all NAA38 抗体
NAA38 (N(alpha)-Acetyltransferase 38, NatC Auxiliary Subunit (NAA38))

适用

  • 20
  • 6
  • 5
  • 3
  • 3
  • 3
  • 3
  • 3
  • 2
  • 1
  • 1
  • 1
  • 1
  • 1
人, 小鼠, 大鼠

宿主

  • 16
  • 4
小鼠

克隆类型

  • 16
  • 4
单克隆

标记

  • 13
  • 3
  • 2
  • 2
This NAA38 antibody is un-conjugated

应用范围

  • 10
  • 9
  • 4
  • 3
  • 3
  • 2
  • 1
  • 1
Western Blotting (WB), Immunohistochemistry (IHC), Immunofluorescence (IF), Immunocytochemistry (ICC), Flow Cytometry (FACS)

克隆位点

6B11
  • 抗原表位

    • 5
    • 4
    • 2
    • 1
    • 1
    • 1
    AA 1-96

    原理

    Anti-LSM8 Antibody (monoclonal, 6B11)

    交叉反应 (详细)

    No cross-reactivity with other proteins.

    产品特性

    Anti-LSM8 Antibody (monoclonal, 6B11) (ABIN7599578). Tested in Flow Cytometry, IF, IHC, ICC, WB applications. This antibody reacts with Human, Mouse, Rat. This is a premium antibody that guarantees superior quality, high affinity, and strong signals with minimal background in Western blot applications.

    纯化方法

    Immunogen affinity purified.

    免疫原

    E.coli-derived human LSM8 recombinant protein (Position: M1-H96).

    亚型

    IgG2a
  • 应用备注

    Western blot, 0.25-0.5 μg/mL, Human, Mouse, Rat
    Immunohistochemistry(Paraffin-embedded Section), 2-5 μg/mL, Human
    Immunocytochemistry/Immunofluorescence, 5 μg/mL, Human
    Flow Cytometry (Fixed), 1-3 μg/1x106 cells, Human, Mouse, Rat

    限制

    仅限研究用
  • 状态

    Lyophilized

    溶解方式

    Adding 0.2 mL of distilled water will yield a concentration of 500 μg/mL.

    浓度

    500 μg/mL

    缓冲液

    Each vial contains 4 mg Trehalose, 0.9 mg NaCl and 0.2 mg Na2HPO4.

    储存条件

    4 °C,-20 °C

    储存方法

    At -20°C for one year from date of receipt. After reconstitution, at 4°C for one month.
    It can also be aliquotted and stored frozen at -20°C for six months. Avoid repeated freezing and thawing.
  • 抗原

    NAA38 (N(alpha)-Acetyltransferase 38, NatC Auxiliary Subunit (NAA38))

    别名

    LSM8

    背景

    Synonyms: ATP synthase D chain mitochondrial antibody|ATP synthase H+ transporting mitochondrial F1F0 subunit antibody|ATP synthase H+ transporting mitochondrial F1F0 subunit d antibody|ATP synthase subunit d antibody|ATP synthase subunit d, mitochondrial antibody|ATP synthase, H+ transporting, mitochondrial F0 complex, subunit d antibody|ATP5H antibody|ATP5H_HUMAN antibody|ATP5JD antibody|ATPase subunit d antibody|ATPQ antibody|mitochondrial antibody|My032 protein antibody

    Tissue Specificity: Ubiquitously expressed with highest levels in spleen, thymus and immature brain.

    Background: U6 snRNA-associated Sm-like protein LSm8 is a protein that in humans is encoded by the LSM8 gene. This gene encodes a member of the like-Sm family of proteins. The encoded protein consists of a closed barrel shape, made up of five anti-parallel beta strands and an alpha helix. This protein partners with six paralogs to form a heteroheptameric ring which transiently binds U6 small nuclear RNAs and is involved in the general maturation of RNA in the nucleus.

    分子量

    16 kDa

    基因ID

    51691

    UniProt

    O95777
You are here: