电话:
+86 (0512) 65829739
传真:
+86 (010) 6788 5057
电子邮件:
orders@antibodies-online.cn

MFF 抗体 (AA 1-342)

This 兔 多克隆 antibody specifically detects MFF in WB, ELISA, IHC, ICC, IF 和 FACS. It exhibits reactivity toward 人, 小鼠 和 大鼠.
产品编号 ABIN7599292
发货至: 中国
Contact our Customer Service for availability and price in your country. Contact Info

Our Local Distributor

中国
北京 101111
No. 88 KeChuang 6th Street
Beijing Economic Technological Development Area
Room 801-803
4A Biotech Co.,Ltd.
Tel +86 (0512) 65829739 传真 +86 (010) 6788 5057

Quick Overview for MFF 抗体 (AA 1-342) (ABIN7599292)

抗原

See all MFF 抗体
MFF (Mitochondrial Fission Factor (MFF))

适用

  • 37
  • 17
  • 13
  • 13
  • 2
  • 2
  • 2
  • 2
  • 2
  • 1
  • 1
  • 1
  • 1
  • 1
人, 小鼠, 大鼠

宿主

  • 46
  • 7

克隆类型

  • 45
  • 8
多克隆

标记

  • 20
  • 4
  • 3
  • 3
  • 1
  • 1
  • 1
  • 1
  • 1
  • 1
  • 1
  • 1
  • 1
  • 1
  • 1
  • 1
  • 1
  • 1
  • 1
  • 1
  • 1
  • 1
  • 1
  • 1
  • 1
  • 1
  • 1
This MFF antibody is un-conjugated

应用范围

  • 38
  • 19
  • 13
  • 13
  • 12
  • 8
  • 3
  • 3
  • 3
  • 3
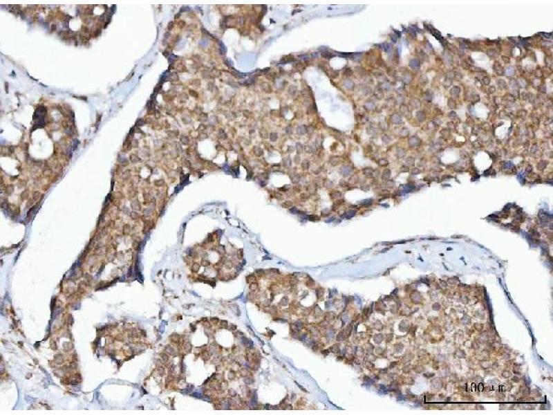
Western Blotting (WB), ELISA, Immunohistochemistry (IHC), Immunocytochemistry (ICC), Immunofluorescence (IF), Flow Cytometry (FACS)
  • 抗原表位

    • 15
    • 7
    • 6
    • 6
    • 6
    • 4
    • 3
    • 2
    • 1
    • 1
    • 1
    • 1
    • 1
    AA 1-342

    原理

    Anti-MFF Antibody

    交叉反应 (详细)

    No cross-reactivity with other proteins.

    产品特性

    Anti-MFF Antibody (ABIN7599292). Tested in ELISA, Flow Cytometry, IF, IHC, ICC, WB applications. This antibody reacts with Human, Mouse, Rat. This is a premium antibody that guarantees superior quality, high affinity, and strong signals with minimal background in Western blot applications.

    纯化方法

    Immunogen affinity purified.

    免疫原

    E.coli-derived human MFF recombinant protein (Position: M1-R342).

    亚型

    IgG
  • 应用备注

    Western blot, 0.25-0.5 μg/mL, Human, Mouse, Rat
    Immunohistochemistry(Paraffin-embedded Section), 2-5 μg/mL, Human, Mouse, Rat
    Immunocytochemistry/Immunofluorescence, 5 μg/mL, Human
    Immunofluorescence, 5 μg/mL, Human
    Flow Cytometry (Fixed), 1-3 μg/1x106 cells, Human
    ELISA, 0.1-0.5 μg/mL, -

    限制

    仅限研究用
  • 状态

    Lyophilized

    溶解方式

    Adding 0.2 mL of distilled water will yield a concentration of 500 μg/mL.

    浓度

    500 μg/mL

    缓冲液

    Each vial contains 4 mg Trehalose, 0.9 mg NaCl, 0.2 mg Na2HPO4.

    储存条件

    4 °C,-20 °C

    储存方法

    At -20°C for one year from date of receipt. After reconstitution, at 4°C for one month.
    It can also be aliquotted and stored frozen at -20°C for six months. Avoid repeated freezing and thawing.
  • 抗原

    MFF (Mitochondrial Fission Factor (MFF))

    别名

    MFF

    背景

    Synonyms: Tumor necrosis factor ligand superfamily member 4, OX40 ligand, OX40L, CD252, Tnfsf4, Ox40l, Txgp1l

    Tissue Specificity: Macrophages, peripheral blood leukocytes, lung, spleen and liver.

    Background: Mitochondrial fission factor (Mff) is a protein that in humans is encoded by the MFF gene. This is a nuclear gene encoding a protein that functions in mitochondrial and peroxisomal fission. The encoded protein recruits dynamin-1-like protein (DNM1L) to mitochondria. There are multiple pseudogenes for this gene on chromosomes 1, 5, and X. Alternative splicing results in multiple transcript variants.

    分子量

    26 kDa

    基因ID

    56947
You are here: