电话:
+86 (0512) 65829739
传真:
+86 (010) 6788 5057
电子邮件:
orders@antibodies-online.cn

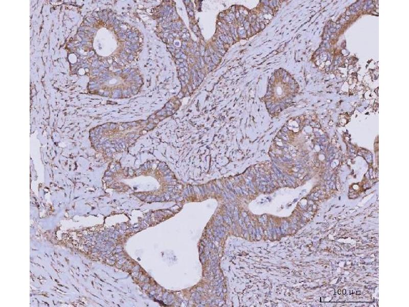
CLASP1 抗体 (AA 1-243)

The 兔 多克隆 anti-CLASP1 antibody (ABIN7599144) specifically detects CLASP1 in WB, IHC, ELISA 和 IF. The antibody is reactive with 人 和 大鼠 samples.
产品编号 ABIN7599144
发货至: 中国
Contact our Customer Service for availability and price in your country. Contact Info

Our Local Distributor

中国
北京 101111
No. 88 KeChuang 6th Street
Beijing Economic Technological Development Area
Room 801-803
4A Biotech Co.,Ltd.
Tel +86 (0512) 65829739 传真 +86 (010) 6788 5057

Quick Overview for CLASP1 抗体 (AA 1-243) (ABIN7599144)

抗原

See all CLASP1 抗体
CLASP1 (Cytoplasmic Linker Associated Protein 1 (CLASP1))

适用

  • 46
  • 23
  • 16
  • 1
  • 1
  • 1
  • 1
  • 1
  • 1
人, 大鼠

宿主

  • 41
  • 5
  • 3

克隆类型

  • 30
  • 19
多克隆

标记

  • 28
  • 3
  • 2
  • 2
  • 2
  • 2
  • 2
  • 2
  • 1
  • 1
  • 1
  • 1
  • 1
  • 1
This CLASP1 antibody is un-conjugated

应用范围

  • 33
  • 25
  • 21
  • 17
  • 13
  • 5
  • 3
  • 2
  • 1
  • 1
  • 1
  • 1
Western Blotting (WB), Immunohistochemistry (IHC), ELISA, Immunofluorescence (IF)
  • 抗原表位

    • 10
    • 2
    • 2
    • 2
    • 2
    • 2
    • 1
    • 1
    • 1
    • 1
    • 1
    • 1
    AA 1-243

    原理

    Anti-CLASP1 Antibody

    交叉反应 (详细)

    No cross-reactivity with other proteins.

    产品特性

    Anti-CLASP1 Antibody (ABIN7599144). Tested in ELISA, IF, IHC, WB applications. This antibody reacts with Human, Rat. This is a premium antibody that guarantees superior quality, high affinity, and strong signals with minimal background in Western blot applications.

    纯化方法

    Immunogen affinity purified.

    免疫原

    E.coli-derived human CLASP1 recombinant protein (Position: M1-D243).

    亚型

    IgG
  • 应用备注

    Western blot, 0.25-0.5 μg/mL/mL, Human, Rat
    Immunohistochemistry(Paraffin-embedded Section), 2-5 μg/mL/mL, Human, Rat
    Immunofluorescence, 5 μg/mL, Human
    ELISA, 0.1-0.5 μg/mL/mL, Human

    限制

    仅限研究用
  • 状态

    Lyophilized

    溶解方式

    Adding 0.2 mL of distilled water will yield a concentration of 500 μg/mL.

    浓度

    500 μg/mL

    缓冲液

    Each vial contains 4 mg Trehalose, 0.9 mg NaCl, 0.2 mg Na2HPO4.

    储存条件

    4 °C,-20 °C

    储存方法

    At -20°C for one year from date of receipt. After reconstitution, at 4°C for one month.
    It can also be aliquotted and stored frozen at -20°C for six months. Avoid repeated freezing and thawing.
  • 抗原

    CLASP1 (Cytoplasmic Linker Associated Protein 1 (CLASP1))

    别名

    CLASP1

    背景

    Synonyms: Mediator of RNA polymerase II transcription subunit 14, Activator-recruited cofactor 150 kDa component, ARC150, Cofactor required for Sp1 transcriptional activation subunit 2, CRSP complex subunit 2, Mediator complex subunit 14, RGR1 homolog, hRGR1, Thyroid hormone receptor-associated protein complex 170 kDa component, Trap170, Transcriptional coactivator CRSP150, Vitamin D3 receptor-interacting protein complex 150 kDa component, DRIP150, MED14, ARC150, CRSP2, CXorf4, DRIP150, EXLM1, RGR1, TRAP170,

    Tissue Specificity: Ubiquitous.

    Background: Cytoplasmic linker associated protein 1, also known as CLASP1, is a protein which in humans is encoded by the CLASP1 gene. CLASPs, such as CLASP1, are nonmotor microtubule-associated proteins that interact with CLIPs (e.g., CLIP170, MIM 179838). CLASP1 is involved in the regulation of microtubule dynamics at the kinetochore and throughout the spindle.

    分子量

    150 kDa

    基因ID

    23332

    UniProt

    Q7Z460

    途径

    Microtubule Dynamics, M Phase, Maintenance of Protein Location
You are here: