电话:
+86 (0512) 65829739
传真:
+86 (010) 6788 5057
电子邮件:
orders@antibodies-online.cn

TST 抗体 (AA 1-220)

The 兔 多克隆 anti-TST antibody (ABIN7599105) specifically detects TST in WB, IHC, ELISA, ICC 和 IF. The antibody is reactive with 人, 小鼠 和 大鼠 samples.
产品编号 ABIN7599105
发货至: 中国
Contact our Customer Service for availability and price in your country. Contact Info

Our Local Distributor

中国
北京 101111
No. 88 KeChuang 6th Street
Beijing Economic Technological Development Area
Room 801-803
4A Biotech Co.,Ltd.
Tel +86 (0512) 65829739 传真 +86 (010) 6788 5057

Quick Overview for TST 抗体 (AA 1-220) (ABIN7599105)

抗原

See all TST 抗体
TST (Thiosulfate Sulfurtransferase (Rhodanese) (TST))

适用

  • 22
  • 10
  • 9
  • 4
  • 2
  • 2
  • 2
  • 1
  • 1
  • 1
  • 1
人, 小鼠, 大鼠

宿主

  • 21
  • 2

克隆类型

  • 22
  • 1
多克隆

标记

  • 19
  • 2
  • 1
  • 1
This TST antibody is un-conjugated

应用范围

  • 18
  • 13
  • 8
  • 4
  • 3
  • 1
  • 1
  • 1
Western Blotting (WB), Immunohistochemistry (IHC), ELISA, Immunocytochemistry (ICC), Immunofluorescence (IF)
  • 抗原表位

    • 7
    • 1
    • 1
    • 1
    • 1
    • 1
    • 1
    • 1
    AA 1-220

    原理

    Anti-TST Antibody

    交叉反应 (详细)

    No cross-reactivity with other proteins.

    产品特性

    Anti-TST Antibody (ABIN7599105). Tested in ELISA, IF, IHC, ICC, WB applications. This antibody reacts with Human, Mouse, Rat. This is a premium antibody that guarantees superior quality, high affinity, and strong signals with minimal background in Western blot applications.

    纯化方法

    Immunogen affinity purified.

    免疫原

    E.coli-derived human TST recombinant protein (Position: M1-D220).

    亚型

    IgG
  • 应用备注

    Western blot, 0.25-0.5 μg/mL, Human, Mouse, Rat
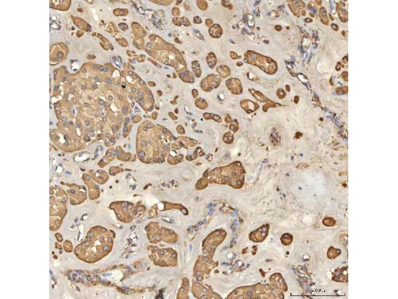
    Immunohistochemistry(Paraffin-embedded Section), 2-5 μg/mL, Human
    Immunocytochemistry/Immunofluorescence, 5 μg/mL, Human
    Immunofluorescence, 5 μg/mL, Human
    ELISA, 0.1-0.5 μg/mL, -

    限制

    仅限研究用
  • 状态

    Lyophilized

    溶解方式

    Adding 0.2 mL of distilled water will yield a concentration of 500 μg/mL.

    浓度

    500 μg/mL

    缓冲液

    Each vial contains 4 mg Trehalose, 0.9 mg NaCl, 0.2 mg Na2HPO4.

    储存条件

    4 °C,-20 °C

    储存方法

    At -20°C for one year from date of receipt. After reconstitution, at 4°C for one month.
    It can also be aliquotted and stored frozen at -20°C for six months. Avoid repeated freezing and thawing.
  • 抗原

    TST (Thiosulfate Sulfurtransferase (Rhodanese) (TST))

    别名

    TST

    背景

    Synonyms: Interleukin-22, IL-22, IL-10-related T-cell-derived-inducible factor, IL-TIF, IL-TIF alpha, Interleukin-22a, IL-22a, Il22, Il22a, Iltif, Iltifa

    Background: This is one of two neighboring genes encoding similar proteins that each contain two rhodanese domains. The encoded protein is localized to the mitochondria and catalyzes the conversion of thiosulfate and cyanide to thiocyanate and sulfite. In addition, the protein interacts with 5S ribosomal RNA and facilitates its import into the mitochondria. Alternative splicing results in multiple transcript variants.

    分子量

    34 kDa

    基因ID

    7263

    UniProt

    Q16762
You are here: